Telefon:
+49 (0)241 95 163 153
Fax:
+49 (0)241 95 163 155
E-Mail:
orders@antikoerper-online.de

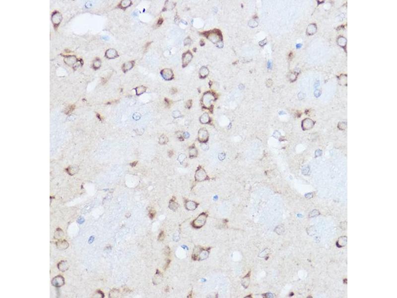
YTHDF3 Antikörper (AA 1-275)

Der Kaninchen Polyklonal anti-YTHDF3 Antikörper (ABIN6150345) detektiert spezifisch YTHDF3 in WB, IHC und IP. Dieser Antikörper reagiert spezifisch mit Proben aus Human.
Produktnummer ABIN6150345
320,00 €
Zzgl. Versandkosten 20,00 € und MwSt
Lieferung nach: Deutschland
Lieferung in 7 bis 9 Werktagen

Kurzübersicht für YTHDF3 Antikörper (AA 1-275) (ABIN6150345)

Target

Alle YTHDF3 Antikörper anzeigen
YTHDF3 (YTH Domain Family, Member 3 (YTHDF3))

Reaktivität

  • 22
  • 7
  • 6
  • 3
  • 3
  • 3
  • 3
  • 3
  • 2
  • 2
  • 2
  • 2
  • 1
  • 1
Human

Wirt

  • 22
Kaninchen

Klonalität

  • 22
Polyklonal

Konjugat

  • 13
  • 3
  • 2
  • 2
  • 1
  • 1
Dieser YTHDF3 Antikörper ist unkonjugiert

Applikation

  • 16
  • 12
  • 10
  • 2
  • 2
  • 1
Western Blotting (WB), Immunohistochemistry (IHC), Immunoprecipitation (IP)
  • Bindungsspezifität

    • 7
    • 5
    • 2
    • 2
    • 1
    • 1
    • 1
    • 1
    • 1
    AA 1-275

    Sequenz

    MSATSVDQRP KGQGNKVSVQ NGSIHQKDAV NDDDFEPYLS SQTNQSNSYP PMSDPYMPSY YAPSIGFPYS LGEAAWSTAG DQPMPYLTTY GQMSNGEHHY IPDGVFSQPG ALGNTPPFLG QHGFNFFPGN ADFSTWGTSG SQGQSTQSSA YSSSYGYPPS SLGRAITDGQ AGFGNDTLSK VPGISSIEQG MTGLKIGGDL TAAVTKTVGT ALSSSGMTSI ATNSVPPVSS AAPKPTSWAA IARKPAKPQP KLKPKGNVGI GGSAVPPPPI KHNMN

    Kreuzreaktivität

    Human, Maus, Ratte

    Produktmerkmale

    Polyclonal Antibodies

    Immunogen

    Recombinant fusion protein containing a sequence corresponding to amino acids 1-275 of human YTHDF3 (NP_689971.4).

    Isotyp

    IgG
  • Applikationshinweise

    WB,1:500 - 1:2000,IHC,1:50 - 1:100,IP,1:50 - 1:200

    Kommentare

    HIGH QUALITY

    Beschränkungen

    Nur für Forschungszwecke einsetzbar
  • Format

    Liquid

    Buffer

    PBS with 0.02 % sodium azide,50 % glycerol, pH 7.3.

    Konservierungsmittel

    Sodium azide

    Vorsichtsmaßnahmen

    This product contains Sodium azide: a POISONOUS AND HAZARDOUS SUBSTANCE which should be handled by trained staff only.

    Lagerung

    -20 °C

    Informationen zur Lagerung

    Store at -20°C. Avoid freeze / thaw cycles.
  • Target

    YTHDF3 (YTH Domain Family, Member 3 (YTHDF3))

    Andere Bezeichnung

    YTHDF3

    Hintergrund

    This gene encodes a member of the YTH (YT521-B homology) domain protein family. The YTH domain is common in eukaryotes, is often found in the middle of the protein sequence, and may function in binding to RNA. Alternative splicing results in multiple transcript variants.,YTHDF3,Epigenetics & Nuclear Signaling,RNA Binding,Cell Biology & Developmental Biology,YTHDF3

    Molekulargewicht

    63 kDa

    Gen-ID

    253943

    UniProt

    Q7Z739
Sie sind hier:
Chat with us!