Telefon:
+49 (0)241 95 163 153
Fax:
+49 (0)241 95 163 155
E-Mail:
orders@antikoerper-online.de

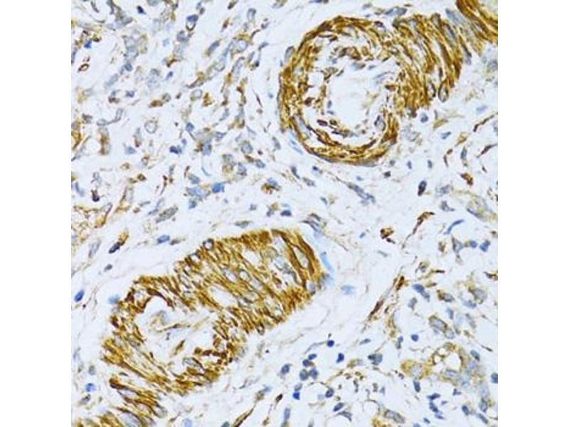
VAMP1 Antikörper (AA 1-96)

Der Kaninchen Polyklonal anti-VAMP1 Antikörper wird verwendet zum Nachweis von VAMP1 in Proben von Human. Er wurde validiert für WB, IHC und IF.
Produktnummer ABIN6150046
320,00 €
Zzgl. Versandkosten 20,00 € und MwSt
Lieferung nach: Deutschland
Lieferung in 7 bis 9 Werktagen

Kurzübersicht für VAMP1 Antikörper (AA 1-96) (ABIN6150046)

Target

Alle VAMP1 Antikörper anzeigen
VAMP1 (Vesicle-Associated Membrane Protein 1 (Synaptobrevin 1) (VAMP1))

Reaktivität

  • 64
  • 46
  • 45
  • 6
  • 6
  • 5
  • 5
  • 5
  • 4
  • 3
  • 2
  • 2
  • 2
  • 2
  • 1
Human

Wirt

  • 60
  • 4
  • 3
  • 1
Kaninchen

Klonalität

  • 46
  • 22
Polyklonal

Konjugat

  • 27
  • 4
  • 3
  • 3
  • 3
  • 3
  • 3
  • 3
  • 3
  • 2
  • 1
  • 1
  • 1
  • 1
  • 1
  • 1
  • 1
  • 1
  • 1
  • 1
  • 1
  • 1
  • 1
  • 1
Dieser VAMP1 Antikörper ist unkonjugiert

Applikation

  • 33
  • 22
  • 14
  • 14
  • 13
  • 13
  • 12
  • 10
  • 6
  • 4
  • 1
Western Blotting (WB), Immunohistochemistry (IHC), Immunofluorescence (IF)
  • Bindungsspezifität

    • 16
    • 7
    • 3
    • 1
    • 1
    • 1
    • 1
    • 1
    • 1
    • 1
    • 1
    • 1
    • 1
    • 1
    AA 1-96

    Sequenz

    MSAPAQPPAE GTEGTAPGGG PPGPPPNMTS NRRLQQTQAQ VEEVVDIIRV NVDKVLERDQ KLSELDDRAD ALQAGASQFE SSAAKLKRKY WWKNCK

    Kreuzreaktivität

    Human, Maus, Ratte

    Produktmerkmale

    Polyclonal Antibodies

    Immunogen

    Recombinant fusion protein containing a sequence corresponding to amino acids 1-96 of human VAMP1 (NP_954740.1).

    Isotyp

    IgG
  • Applikationshinweise

    WB,1:500 - 1:2000,IHC,1:50 - 1:100,IF,1:50 - 1:100

    Kommentare

    HIGH QUALITY

    Beschränkungen

    Nur für Forschungszwecke einsetzbar
  • Format

    Liquid

    Buffer

    PBS with 0.02 % sodium azide,50 % glycerol, pH 7.3.

    Konservierungsmittel

    Sodium azide

    Vorsichtsmaßnahmen

    This product contains Sodium azide: a POISONOUS AND HAZARDOUS SUBSTANCE which should be handled by trained staff only.

    Lagerung

    -20 °C

    Informationen zur Lagerung

    Store at -20°C. Avoid freeze / thaw cycles.
  • Target

    VAMP1 (Vesicle-Associated Membrane Protein 1 (Synaptobrevin 1) (VAMP1))

    Andere Bezeichnung

    VAMP1

    Hintergrund

    Synapotobrevins, syntaxins, and the synaptosomal-associated protein SNAP25 are the main components of a protein complex involved in the docking and/or fusion of synaptic vesicles with the presynaptic membrane. The protein encoded by this gene is a member of the vesicle-associated membrane protein (VAMP)/synaptobrevin family. Mutations in this gene are associated with autosomal dominant spastic ataxia 1. Multiple alternative splice variants have been described, but the full-length nature of some variants has not been defined.,VAMP1,SPAX1,SYB1,VAMP-1,Signal Transduction,Neuroscience,Cell Type Marker,Neuron marker,Synapse marker,VAMP1

    Molekulargewicht

    12 kDa

    Gen-ID

    6843

    UniProt

    P23763
Sie sind hier:
Chat with us!