Telefon:
+49 (0)241 95 163 153
Fax:
+49 (0)241 95 163 155
E-Mail:
orders@antikoerper-online.de

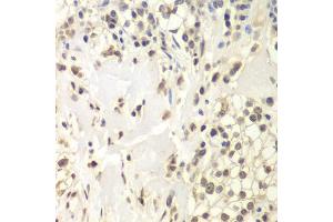
USP7 Antikörper (AA 206-1102)

Der Kaninchen Polyklonal anti-USP7 Antikörper (ABIN6150031) detektiert spezifisch USP7 in WB, IHC und IF. Dieser Antikörper reagiert spezifisch mit Proben aus Human.
Produktnummer ABIN6150031
320,00 €
Zzgl. Versandkosten 20,00 € und MwSt
Lieferung nach: Deutschland
Lieferung in 7 bis 9 Werktagen

Kurzübersicht für USP7 Antikörper (AA 206-1102) (ABIN6150031)

Target

Alle USP7 Antikörper anzeigen
USP7 (Ubiquitin Specific Peptidase 7 (Herpes Virus-Associated) (USP7))

Reaktivität

  • 110
  • 56
  • 51
  • 8
  • 6
  • 5
  • 4
  • 3
  • 3
  • 3
  • 3
  • 2
  • 2
  • 1
  • 1
Human

Wirt

  • 98
  • 11
  • 2
Kaninchen

Klonalität

  • 69
  • 42
Polyklonal

Konjugat

  • 50
  • 8
  • 5
  • 5
  • 4
  • 4
  • 4
  • 4
  • 4
  • 4
  • 2
  • 2
  • 2
  • 2
  • 1
  • 1
  • 1
  • 1
  • 1
  • 1
  • 1
  • 1
  • 1
  • 1
  • 1
Dieser USP7 Antikörper ist unkonjugiert

Applikation

  • 91
  • 46
  • 27
  • 24
  • 22
  • 14
  • 13
  • 11
  • 10
  • 10
  • 3
  • 3
  • 2
  • 2
  • 1
Western Blotting (WB), Immunohistochemistry (IHC), Immunofluorescence (IF)
  • Bindungsspezifität

    • 15
    • 8
    • 8
    • 7
    • 6
    • 4
    • 4
    • 2
    • 2
    • 2
    • 2
    • 2
    • 2
    • 2
    • 1
    • 1
    • 1
    • 1
    • 1
    • 1
    • 1
    • 1
    AA 206-1102

    Sequenz

    DSKKHTGYVG LKNQGATCYM NSLLQTLFFT NQLRKAVYMM PTEGDDSSKS VPLALQRVFY ELQHSDKPVG TKKLTKSFGW ETLDSFMQHD VQELCRVLLD NVENKMKGTC VEGTIPKLFR GKMVSYIQCK EVDYRSDRRE DYYDIQLSIK GKKNIFESFV DYVAVEQLDG DNKYDAGEHG LQEAEKGVKF LTLPPVLHLQ LMRFMYDPQT DQNIKINDRF EFPEQLPLDE FLQKTDPKDP ANYILHAVLV HSGDNHGGHY VVYLNPKGDG KWCKFDDDVV SRCTKEEAIE HNYGGHDDDL SVRHCTNAYM LVYIRESKLS EVLQAVTDHD IPQQLVERLQ EEKRIEAQKR KERQEAHLYM QVQIVAEDQF CGHQGNDMYD EEKVKYTVFK VLKNSSLAEF VQSLSQTMGF PQDQIRLWPM QARSNGTKRP AMLDNEADGN KTMIELSDNE NPWTIFLETV DPELAASGAT LPKFDKDHDV MLFLKMYDPK TRSLNYCGHI YTPISCKIRD LLPVMCDRAG FIQDTSLILY EEVKPNLTER IQDYDVSLDK ALDELMDGDI IVFQKDDPEN DNSELPTAKE YFRDLYHRVD VIFCDKTIPN DPGFVVTLSN RMNYFQVAKT VAQRLNTDPM LLQFFKSQGY RDGPGNPLRH NYEGTLRDLL QFFKPRQPKK LYYQQLKMKI TDFENRRSFK CIWLNSQFRE EEITLYPDKH GCVRDLLEEC KKAVELGEKA SGKLRLLEIV SYKIIGVHQE DELLECLSPA TSRTFRIEEI PLDQVDIDKE NEMLVTVAHF HKEVFGTFGI PFLLRIHQGE HFREVMKRIQ SLLDIQEKEF EKFKFAIVMM GRHQYINEDE YEVNLKDFEP QPGNMSHPRP WLGLDHFNKA PKRSRYTYLE KAIKIHN

    Kreuzreaktivität

    Human, Maus, Ratte

    Produktmerkmale

    Polyclonal Antibodies

    Immunogen

    Recombinant fusion protein containing a sequence corresponding to amino acids 206-1102 of human USP7/HAUSP (NP_003461.2).

    Isotyp

    IgG
  • Applikationshinweise

    WB,1:500 - 1:2000,IHC,1:50 - 1:200,IF,1:50 - 1:200

    Beschränkungen

    Nur für Forschungszwecke einsetzbar
  • Format

    Liquid

    Buffer

    PBS with 0.02 % sodium azide,50 % glycerol, pH 7.3.

    Konservierungsmittel

    Sodium azide

    Vorsichtsmaßnahmen

    This product contains Sodium azide: a POISONOUS AND HAZARDOUS SUBSTANCE which should be handled by trained staff only.

    Lagerung

    -20 °C

    Informationen zur Lagerung

    Store at -20°C. Avoid freeze / thaw cycles.
  • Target

    USP7 (Ubiquitin Specific Peptidase 7 (Herpes Virus-Associated) (USP7))

    Andere Bezeichnung

    USP7

    Hintergrund

    The protein encoded by this gene belongs to the peptidase C19 family, which includes ubiquitinyl hydrolases. This protein deubiquitinates target proteins such as p53 (a tumor suppressor protein) and WASH (essential for endosomal protein recycling), and regulates their activities by counteracting the opposing ubiquitin ligase activity of proteins such as HDM2 and TRIM27, involved in the respective process. Mutations in this gene have been implicated in a neurodevelopmental disorder.,USP7,HAUSP,TEF1,Epigenetics & Nuclear Signaling,Cancer,Tumor suppressors,p53 pathway,Cell Biology & Developmental Biology,Cell Cycle,Cell cycle inhibitors,Ubiquitin,USP7

    Molekulargewicht

    126 kDa/128 kDa

    Gen-ID

    7874

    UniProt

    Q93009
Sie sind hier:
Chat with us!