Telefon:
+49 (0)241 95 163 153
Fax:
+49 (0)241 95 163 155
E-Mail:
orders@antikoerper-online.de

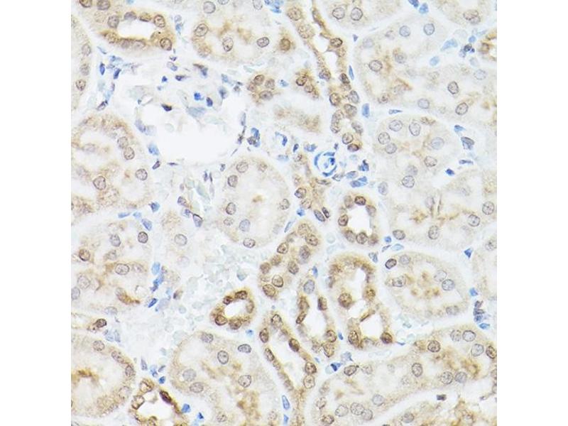
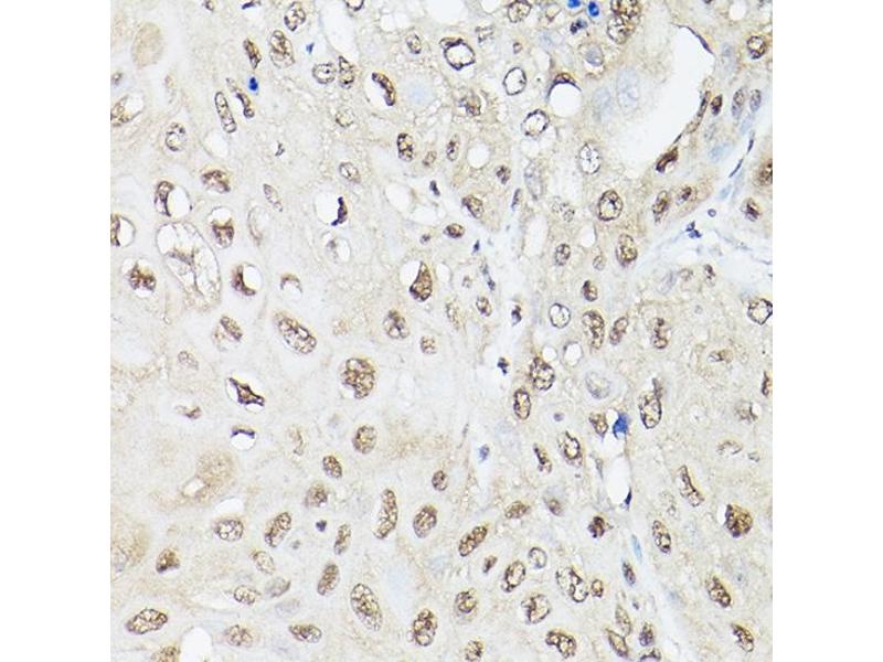
Ubiquilin 2 Antikörper (AA 1-150)

Dieser Kaninchen Polyklonal Antikörper detektiert spezifisch Ubiquilin 2 in WB, IF und IHC. Es zeigt Reaktivität gegenüber Proben von Human.
Produktnummer ABIN6149859
320,00 €
Zzgl. Versandkosten 20,00 € und MwSt
Lieferung nach: Deutschland
Lieferung in 7 bis 9 Werktagen

Kurzübersicht für Ubiquilin 2 Antikörper (AA 1-150) (ABIN6149859)

Target

Alle Ubiquilin 2 (UBQLN2) Antikörper anzeigen
Ubiquilin 2 (UBQLN2)

Reaktivität

  • 50
  • 12
  • 4
  • 2
  • 2
  • 2
  • 1
  • 1
Human

Wirt

  • 43
  • 7
Kaninchen

Klonalität

  • 44
  • 6
Polyklonal

Konjugat

  • 21
  • 6
  • 5
  • 4
  • 4
  • 3
  • 1
  • 1
  • 1
  • 1
  • 1
  • 1
  • 1
Dieser Ubiquilin 2 Antikörper ist unkonjugiert

Applikation

  • 31
  • 24
  • 14
  • 12
  • 7
  • 5
  • 4
  • 2
  • 2
  • 2
  • 1
Western Blotting (WB), Immunofluorescence (IF), Immunohistochemistry (IHC)
  • Bindungsspezifität

    • 6
    • 6
    • 6
    • 5
    • 5
    • 4
    • 2
    • 1
    • 1
    • 1
    • 1
    • 1
    • 1
    AA 1-150

    Sequenz

    MAENGESSGP PRPSRGPAAA QGSAAAPAEP KIIKVTVKTP KEKEEFAVPE NSSVQQFKEA ISKRFKSQTD QLVLIFAGKI LKDQDTLIQH GIHDGLTVHL VIKSQNRPQG QSTQPSNAAG TNTTSASTPR SNSTPISTNS NPFGLGSLGG

    Kreuzreaktivität

    Human, Maus

    Produktmerkmale

    Polyclonal Antibodies

    Immunogen

    Recombinant fusion protein containing a sequence corresponding to amino acids 1-150 of human UBQLN2 (NP_038472.2).

    Isotyp

    IgG
  • Applikationshinweise

    WB,1:200 - 1:2000,IHC,1:50 - 1:200,IF,1:50 - 1:200

    Kommentare

    HIGH QUALITY

    Beschränkungen

    Nur für Forschungszwecke einsetzbar
  • Format

    Liquid

    Buffer

    PBS with 0.02 % sodium azide,50 % glycerol, pH 7.3.

    Konservierungsmittel

    Sodium azide

    Vorsichtsmaßnahmen

    This product contains Sodium azide: a POISONOUS AND HAZARDOUS SUBSTANCE which should be handled by trained staff only.

    Lagerung

    -20 °C

    Informationen zur Lagerung

    Store at -20°C. Avoid freeze / thaw cycles.
  • Target

    Ubiquilin 2 (UBQLN2)

    Andere Bezeichnung

    UBQLN2

    Hintergrund

    This gene encodes an ubiquitin-like protein (ubiquilin) that shares high degree of similarity with related products in yeast, rat and frog. Ubiquilins contain a N-terminal ubiquitin-like domain and a C-terminal ubiquitin-associated domain. They physically associate with both proteasomes and ubiquitin ligases, and thus, are thought to functionally link the ubiquitination machinery to the proteasome to affect in vivo protein degradation. This ubiquilin has also been shown to bind the ATPase domain of the Hsp70-like Stch protein.,UBQLN2,ALS15,CHAP1,DSK2,HRIHFB2157,N4BP4,PLIC2,Cell Biology & Developmental Biology,Ubiquitin,UBQLN2

    Molekulargewicht

    65 kDa

    Gen-ID

    29978

    UniProt

    Q9UHD9
Sie sind hier:
Chat with us!