Telefon:
+49 (0)241 95 163 153
Fax:
+49 (0)241 95 163 155
E-Mail:
orders@antikoerper-online.de

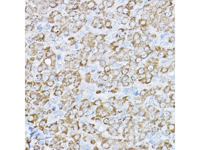
UBE2F Antikörper (AA 1-185)

Dieser Kaninchen Polyklonal Antikörper detektiert spezifisch UBE2F in WB, IHC und IF. Es zeigt Reaktivität gegenüber Proben von Human.
Produktnummer ABIN6149794
320,00 €
Zzgl. Versandkosten 20,00 € und MwSt
Lieferung nach: Deutschland
Lieferung in 7 bis 9 Werktagen

Kurzübersicht für UBE2F Antikörper (AA 1-185) (ABIN6149794)

Target

Alle UBE2F Antikörper anzeigen
UBE2F (Ubiquitin-Conjugating Enzyme E2F (UBE2F))

Reaktivität

  • 30
  • 16
  • 15
  • 4
  • 4
  • 4
  • 3
  • 3
  • 2
  • 2
  • 2
  • 2
  • 1
  • 1
  • 1
Human

Wirt

  • 29
  • 2
Kaninchen

Klonalität

  • 20
  • 11
Polyklonal

Konjugat

  • 15
  • 2
  • 2
  • 2
  • 2
  • 2
  • 2
  • 2
  • 1
  • 1
Dieser UBE2F Antikörper ist unkonjugiert

Applikation

  • 21
  • 16
  • 10
  • 7
  • 4
  • 2
  • 1
  • 1
  • 1
  • 1
Western Blotting (WB), Immunohistochemistry (IHC), Immunofluorescence (IF)
  • Bindungsspezifität

    • 3
    • 3
    • 2
    • 1
    • 1
    AA 1-185

    Sequenz

    MLTLASKLKR DDGLKGSRTA ATASDSTRRV SVRDKLLVKE VAELEANLPC TCKVHFPDPN KLHCFQLTVT PDEGYYQGGK FQFETEVPDA YNMVPPKVKC LTKIWHPNIT ETGEICLSLL REHSIDGTGW APTRTLKDVV WGLNSLFTDL LNFDDPLNIE AAEHHLRDKE DFRNKVDDYI KRYAR

    Kreuzreaktivität

    Human, Maus, Ratte

    Produktmerkmale

    Polyclonal Antibodies

    Immunogen

    Recombinant fusion protein containing a sequence corresponding to amino acids 1-185 of human UBE2F (NP_542409.1).

    Isotyp

    IgG
  • Applikationshinweise

    WB,1:500 - 1:2000,IHC,1:50 - 1:200,IF,1:50 - 1:200

    Kommentare

    HIGH QUALITY

    Beschränkungen

    Nur für Forschungszwecke einsetzbar
  • Format

    Liquid

    Buffer

    PBS with 0.02 % sodium azide,50 % glycerol, pH 7.3.

    Konservierungsmittel

    Sodium azide

    Vorsichtsmaßnahmen

    This product contains Sodium azide: a POISONOUS AND HAZARDOUS SUBSTANCE which should be handled by trained staff only.

    Lagerung

    -20 °C

    Informationen zur Lagerung

    Store at -20°C. Avoid freeze / thaw cycles.
  • Target

    UBE2F (Ubiquitin-Conjugating Enzyme E2F (UBE2F))

    Andere Bezeichnung

    UBE2F

    Hintergrund

    Ube2F is an E2 enzyme, which is part of the E1, E2, and E3 cascade responsible for conjugation of Nedd8 to protein substrates. Neddylation is initiated by activating Nedd8 by the Nedd8 activating enzyme APPBP1/UBA3. Cullin is a well-known substrate for Neddylation. When NEDD8 is covalently bonded to the CRL, it stimulates its E3 Ub ligase activity. A new approach to cancer therapy involves hindering the Nedd8 conjugation pathway through inhibition of the NAE1/UBA3 enzyme.,UBE2F,NCE2,Epigenetics & Nuclear Signaling,Cell Biology & Developmental Biology,Ubiquitin,Ubiquitin-Proteasome Signaling Pathway,UBE2F

    Molekulargewicht

    11 kDa/13 kDa/17 kDa/18 kDa/21 kDa/23 kDa

    Gen-ID

    140739

    UniProt

    Q969M7
Sie sind hier:
Chat with us!