Telefon:
+49 (0)241 95 163 153
Fax:
+49 (0)241 95 163 155
E-Mail:
orders@antikoerper-online.de

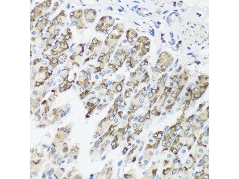
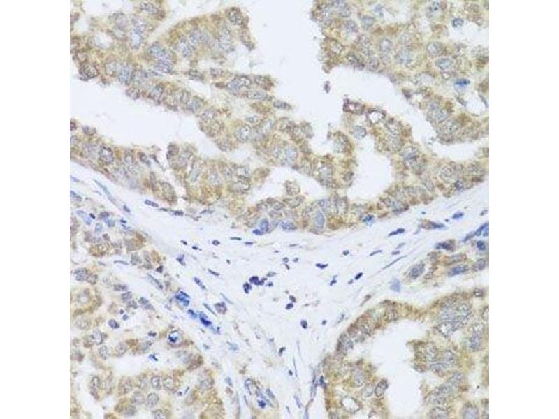
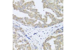
TIMM10B Antikörper (AA 1-103)

Der Kaninchen Polyklonal anti-TIMM10B Antikörper wird verwendet zum Nachweis von TIMM10B in Proben von Human. Er wurde validiert für WB und IHC.
Produktnummer ABIN6149158
320,00 €
Zzgl. Versandkosten 20,00 € und MwSt
Lieferung nach: Deutschland
Lieferung in 7 bis 9 Werktagen

Kurzübersicht für TIMM10B Antikörper (AA 1-103) (ABIN6149158)

Target

Alle TIMM10B (FXC1) Antikörper anzeigen
TIMM10B (FXC1) (Fracture Callus 1 Homolog (FXC1))

Reaktivität

  • 18
  • 3
  • 2
Human

Wirt

  • 14
  • 4
Kaninchen

Klonalität

  • 16
  • 2
Polyklonal

Konjugat

  • 12
  • 2
  • 2
  • 2
Dieser TIMM10B Antikörper ist unkonjugiert

Applikation

  • 13
  • 9
  • 6
  • 1
  • 1
Western Blotting (WB), Immunohistochemistry (IHC)
  • Bindungsspezifität

    • 13
    • 1
    • 1
    • 1
    • 1
    AA 1-103

    Sequenz

    MERQQQQQQQ LRNLRDFLLV YNRMTELCFQ RCVPSLHHRA LDAEEEACLH SCAGKLIHSN HRLMAAYVQL MPALVQRRIA DYEAASAVPG VAAEQPGVSP SGS

    Kreuzreaktivität

    Human, Maus

    Produktmerkmale

    Polyclonal Antibodies

    Immunogen

    Recombinant fusion protein containing a sequence corresponding to amino acids 1-103 of human TIMM10B (NP_036324.1).

    Isotyp

    IgG
  • Applikationshinweise

    WB,1:500 - 1:2000,IHC,1:50 - 1:100

    Kommentare

    HIGH QUALITY

    Beschränkungen

    Nur für Forschungszwecke einsetzbar
  • Format

    Liquid

    Buffer

    PBS with 0.02 % sodium azide,50 % glycerol, pH 7.3.

    Konservierungsmittel

    Sodium azide

    Vorsichtsmaßnahmen

    This product contains Sodium azide: a POISONOUS AND HAZARDOUS SUBSTANCE which should be handled by trained staff only.

    Lagerung

    -20 °C

    Informationen zur Lagerung

    Store at -20°C. Avoid freeze / thaw cycles.
  • Target

    TIMM10B (FXC1) (Fracture Callus 1 Homolog (FXC1))

    Andere Bezeichnung

    TIMM10B

    Hintergrund

    FXC1, or TIMM10B, belongs to a family of evolutionarily conserved proteins that are organized in heterooligomeric complexes in the mitochondrial intermembrane space. These proteins mediate the import and insertion of hydrophobic membrane proteins into the mitochondrial inner membrane.[supplied by OMIM, Apr 2004],TIMM10B,FXC1,TIM10B,Tim9b,Signal Transduction,Endocrine & Metabolism,Mitochondrial metabolism,TIMM10B

    Molekulargewicht

    11 kDa

    Gen-ID

    26515

    UniProt

    Q9Y5J6

    Pathways

    SARS-CoV-2 Protein Interaktom
Sie sind hier:
Chat with us!