Telefon:
+49 (0)241 95 163 153
Fax:
+49 (0)241 95 163 155
E-Mail:
orders@antikoerper-online.de

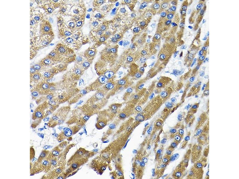
THUMPD3 Antikörper (AA 1-250)

Der Kaninchen Polyklonal anti-THUMPD3 Antikörper (ABIN6149133) detektiert spezifisch THUMPD3 in WB und IHC. Dieser Antikörper reagiert spezifisch mit Proben aus Human.
Produktnummer ABIN6149133
320,00 €
Zzgl. Versandkosten 20,00 € und MwSt
Lieferung nach: Deutschland
Lieferung in 7 bis 9 Werktagen

Kurzübersicht für THUMPD3 Antikörper (AA 1-250) (ABIN6149133)

Target

Alle THUMPD3 Antikörper anzeigen
THUMPD3 (THUMP Domain Containing 3 (THUMPD3))

Reaktivität

  • 16
  • 1
  • 1
  • 1
  • 1
Human

Wirt

  • 15
  • 1
Kaninchen

Klonalität

  • 16
Polyklonal

Konjugat

  • 11
  • 1
  • 1
  • 1
  • 1
  • 1
Dieser THUMPD3 Antikörper ist unkonjugiert

Applikation

  • 16
  • 10
  • 9
  • 3
  • 2
  • 1
  • 1
Western Blotting (WB), Immunohistochemistry (IHC)
  • Bindungsspezifität

    • 7
    • 2
    • 1
    • 1
    • 1
    • 1
    • 1
    • 1
    AA 1-250

    Sequenz

    MCDIEEATNQ LLDVNLHENQ KSVQVTESDL GSESELLVTI GATVPTGFEQ TAADEVREKL GSSCKISRDR GKIYFVISVE SLAQVHCLRS VDNLFVVVQE FQDYQFKQTK EEVLKDFEDL AGKLPWSNPL KVWKINASFK KKKAKRKKIN QNSSKEKINN GQEVKIDQRN VKKEFTSHAL DSHILDYYEN PAIKEDVSTL IGDDLASCKD ETDESSKEET EPQVLKFRVT CNRAGEKHCF TSNEAARDFG

    Kreuzreaktivität

    Human, Maus, Ratte

    Produktmerkmale

    Polyclonal Antibodies

    Immunogen

    Recombinant fusion protein containing a sequence corresponding to amino acids 1-250 of human THUMPD3 (NP_056268.2).

    Isotyp

    IgG
  • Applikationshinweise

    WB,1:500 - 1:2000,IHC,1:50 - 1:200

    Kommentare

    HIGH QUALITY

    Beschränkungen

    Nur für Forschungszwecke einsetzbar
  • Format

    Liquid

    Buffer

    PBS with 0.02 % sodium azide,50 % glycerol, pH 7.3.

    Konservierungsmittel

    Sodium azide

    Vorsichtsmaßnahmen

    This product contains Sodium azide: a POISONOUS AND HAZARDOUS SUBSTANCE which should be handled by trained staff only.

    Lagerung

    -20 °C

    Informationen zur Lagerung

    Store at -20°C. Avoid freeze / thaw cycles.
  • Target

    THUMPD3 (THUMP Domain Containing 3 (THUMPD3))

    Andere Bezeichnung

    THUMPD3

    Hintergrund

    THUMPD3,Epigenetics & Nuclear Signaling,Cell Biology & Developmental Biology,THUMPD3

    Molekulargewicht

    57 kDa

    Gen-ID

    25917

    UniProt

    Q9BV44
Sie sind hier:
Chat with us!