Telefon:
+49 (0)241 95 163 153
Fax:
+49 (0)241 95 163 155
E-Mail:
orders@antikoerper-online.de

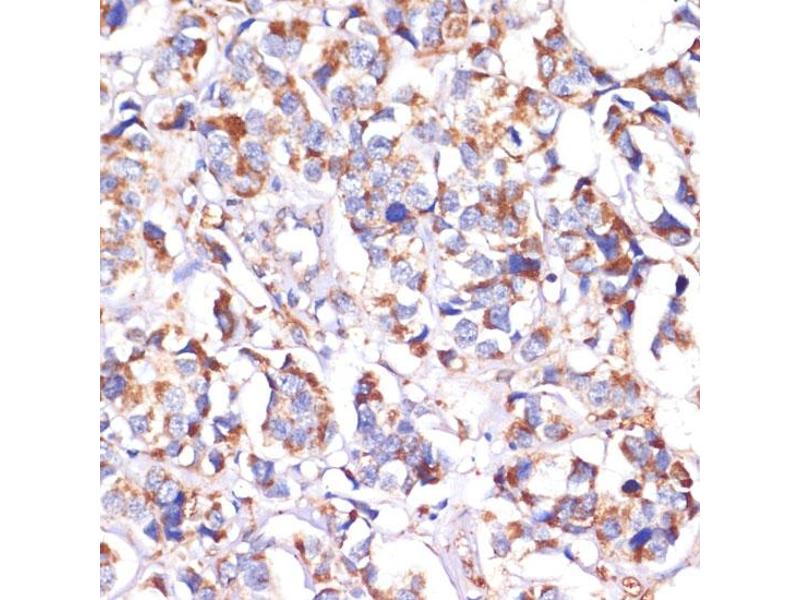
STOML2 Antikörper (AA 29-356)

Der Kaninchen Polyklonal anti-STOML2 Antikörper (ABIN6148629) detektiert spezifisch STOML2 in WB und IHC. Dieser Antikörper reagiert spezifisch mit Proben aus Human.
Produktnummer ABIN6148629
320,00 €
Zzgl. Versandkosten 20,00 € und MwSt
Lieferung nach: Deutschland
Lieferung in 7 bis 9 Werktagen

Kurzübersicht für STOML2 Antikörper (AA 29-356) (ABIN6148629)

Target

Alle STOML2 Antikörper anzeigen
STOML2 (Stomatin (EPB72)-Like 2 (STOML2))

Reaktivität

  • 45
  • 24
  • 24
  • 1
  • 1
  • 1
  • 1
  • 1
  • 1
Human

Wirt

  • 41
  • 5
  • 1
Kaninchen

Klonalität

  • 41
  • 6
Polyklonal

Konjugat

  • 28
  • 2
  • 2
  • 2
  • 1
  • 1
  • 1
  • 1
  • 1
  • 1
  • 1
  • 1
  • 1
  • 1
  • 1
  • 1
  • 1
Dieser STOML2 Antikörper ist unkonjugiert

Applikation

  • 45
  • 14
  • 14
  • 10
  • 7
  • 4
  • 3
  • 3
  • 2
  • 1
Western Blotting (WB), Immunohistochemistry (IHC)
  • Bindungsspezifität

    • 7
    • 4
    • 2
    • 2
    • 1
    • 1
    • 1
    • 1
    • 1
    • 1
    • 1
    • 1
    AA 29-356

    Sequenz

    SSGLPRNTVV LFVPQQEAWV VERMGRFHRI LEPGLNILIP VLDRIRYVQS LKEIVINVPE QSAVTLDNVT LQIDGVLYLR IMDPYKASYG VEDPEYAVTQ LAQTTMRSEL GKLSLDKVFR ERESLNASIV DAINQAADCW GIRCLRYEIK DIHVPPRVKE SMQMQVEAER RKRATVLESE GTRESAINVA EGKKQAQILA SEAEKAEQIN QAAGEASAVL AKAKAKAEAI RILAAALTQH NGDAAASLTV AEQYVSAFSK LAKDSNTILL PSNPGDVTSM VAQAMGVYGA LTKAPVPGTP DSLSSGSSRD VQGTDASLDE ELDRVKMS

    Kreuzreaktivität

    Human, Maus, Ratte

    Produktmerkmale

    Polyclonal Antibodies

    Immunogen

    Recombinant fusion protein containing a sequence corresponding to amino acids 29-356 of human STOML2 (NP_038470.1).

    Isotyp

    IgG
  • Applikationshinweise

    WB,1:500 - 1:2000,IHC,1:50 - 1:200

    Kommentare

    HIGH QUALITY

    Beschränkungen

    Nur für Forschungszwecke einsetzbar
  • Format

    Liquid

    Buffer

    PBS with 0.02 % sodium azide,50 % glycerol, pH 7.3.

    Konservierungsmittel

    Sodium azide

    Vorsichtsmaßnahmen

    This product contains Sodium azide: a POISONOUS AND HAZARDOUS SUBSTANCE which should be handled by trained staff only.

    Lagerung

    -20 °C

    Informationen zur Lagerung

    Store at -20°C. Avoid freeze / thaw cycles.
  • Target

    STOML2 (Stomatin (EPB72)-Like 2 (STOML2))

    Andere Bezeichnung

    STOML2

    Hintergrund

    Mitochondrial protein that probably regulates the biogenesis and the activity of mitochondria. Stimulates cardiolipin biosynthesis, binds cardiolipin-enriched membranes where it recruits and stabilizes some proteins including prohibitin and may therefore act in the organization of functional microdomains in mitochondrial membranes. Through regulation of the mitochondrial function may play a role into several biological processes including cell migration, cell proliferation, T-cell activation, calcium homeostasis and cellular response to stress. May play a role in calcium homeostasis through negative regulation of calcium efflux from mitochondria. Required for mitochondrial hyperfusion a pro-survival cellular response to stress which results in increased ATP production by mitochondria. May also regulate the organization of functional domains at the plasma membrane and play a role in T-cell activation through association with the T-cell receptor signaling complex and its regulation.,STOML2,HSPC108,SLP-2,Cancer,STOML2

    Molekulargewicht

    33 kDa/38 kDa

    Gen-ID

    30968

    UniProt

    Q9UJZ1

    Pathways

    SARS-CoV-2 Protein Interaktom, Phosphorylierungen bei SARS-CoV-2 Infektion
Sie sind hier:
Chat with us!