Telefon:
+49 (0)241 95 163 153
Fax:
+49 (0)241 95 163 155
E-Mail:
orders@antikoerper-online.de

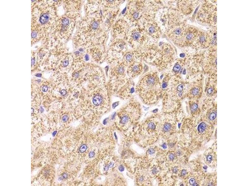
ST3GAL3 Antikörper (AA 30-375)

Der Kaninchen Polyklonal anti-ST3GAL3 Antikörper wird verwendet zum Nachweis von ST3GAL3 in Proben von Human. Er wurde validiert für WB, IF und IHC.
Produktnummer ABIN6148527
320,00 €
Zzgl. Versandkosten 20,00 € und MwSt
Lieferung nach: Deutschland
Lieferung in 7 bis 9 Werktagen

Kurzübersicht für ST3GAL3 Antikörper (AA 30-375) (ABIN6148527)

Target

Alle ST3GAL3 Antikörper anzeigen
ST3GAL3 (ST3 beta-Galactoside alpha-2,3-Sialyltransferase 3 (ST3GAL3))

Reaktivität

  • 34
  • 19
  • 18
  • 5
  • 5
  • 4
  • 4
  • 3
  • 2
  • 2
  • 1
  • 1
  • 1
Human

Wirt

  • 32
  • 2
Kaninchen

Klonalität

  • 34
Polyklonal

Konjugat

  • 17
  • 2
  • 2
  • 2
  • 2
  • 2
  • 2
  • 2
  • 2
  • 1
Dieser ST3GAL3 Antikörper ist unkonjugiert

Applikation

  • 16
  • 9
  • 3
  • 2
  • 1
  • 1
  • 1
Western Blotting (WB), Immunofluorescence (IF), Immunohistochemistry (IHC)
  • Bindungsspezifität

    • 6
    • 4
    • 3
    • 2
    • 1
    • 1
    • 1
    AA 30-375

    Sequenz

    LHLLQWEEDS NSVVLSFDSA GQTLGSEYDR LGFLLNLDSK LPAELATKYA NFSEGACKPG YASALMTAIF PRFSKPAPMF LDDSFRKWAR IREFVPPFGI KGQDNLIKAI LSVTKEYRLT PALDSLRCRR CIIVGNGGVL ANKSLGSRID DYDIVVRLNS APVKGFEKDV GSKTTLRITY PEGAMQRPEQ YERDSLFVLA GFKWQDFKWL KYIVYKERVS ASDGFWKSVA TRVPKEPPEI RILNPYFIQE AAFTLIGLPF NNGLMGRGNI PTLGSVAVTM ALHGCDEVAV AGFGYDMSTP NAPLHYYETV RMAAIKESWT HNIQREKEFL RKLVKARVIT DLSSGI

    Kreuzreaktivität

    Human, Maus, Ratte

    Produktmerkmale

    Polyclonal Antibodies

    Immunogen

    Recombinant fusion protein containing a sequence corresponding to amino acids 30-375 of human ST3GAL3 (NP_006270.1).

    Isotyp

    IgG
  • Applikationshinweise

    WB,1:500 - 1:2000,IHC,1:50 - 1:200,IF,1:50 - 1:200

    Kommentare

    HIGH QUALITY

    Beschränkungen

    Nur für Forschungszwecke einsetzbar
  • Format

    Liquid

    Buffer

    PBS with 0.02 % sodium azide,50 % glycerol, pH 7.3.

    Konservierungsmittel

    Sodium azide

    Vorsichtsmaßnahmen

    This product contains Sodium azide: a POISONOUS AND HAZARDOUS SUBSTANCE which should be handled by trained staff only.

    Lagerung

    -20 °C

    Informationen zur Lagerung

    Store at -20°C. Avoid freeze / thaw cycles.
  • Target

    ST3GAL3 (ST3 beta-Galactoside alpha-2,3-Sialyltransferase 3 (ST3GAL3))

    Andere Bezeichnung

    ST3GAL3

    Hintergrund

    The protein encoded by this gene is a type II membrane protein that catalyzes the transfer of sialic acid from CMP-sialic acid to galactose-containing substrates. The encoded protein is normally found in the Golgi apparatus but can be proteolytically processed to a soluble form. This protein is a member of glycosyltransferase family 29. Mutations in this gene have been associated with autosomal recessive nonsymdromic mental retardation-12 (MRT12). Multiple transcript variants encoding several different isoforms have been found for this gene.,ST3GAL3,EIEE15,MRT12,SIAT6,ST3GALII,ST3GalIII,ST3N,Signal Transduction,ST3GAL3

    Molekulargewicht

    5 kDa/8 kDa/11-49 kDa

    Gen-ID

    6487

    UniProt

    Q11203

    Pathways

    Glycosaminoglycan Metabolic Process
Sie sind hier:
Chat with us!