Telefon:
+49 (0)241 95 163 153
Fax:
+49 (0)241 95 163 155
E-Mail:
orders@antikoerper-online.de

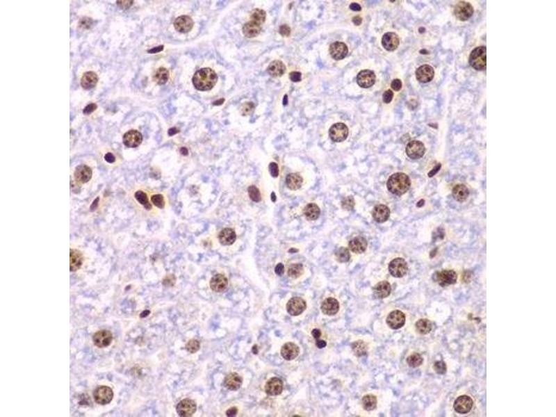
SSRP1 Antikörper (AA 1-300)

Dieser Kaninchen Polyklonal Antikörper detektiert spezifisch SSRP1 in WB, IHC und IF. Es zeigt Reaktivität gegenüber Proben von Human.
Produktnummer ABIN6148493
320,00 €
Zzgl. Versandkosten 20,00 € und MwSt
Lieferung nach: Deutschland
Lieferung in 7 bis 9 Werktagen

Kurzübersicht für SSRP1 Antikörper (AA 1-300) (ABIN6148493)

Target

Alle SSRP1 Antikörper anzeigen
SSRP1 (Structure Specific Recognition Protein 1 (SSRP1))

Reaktivität

  • 60
  • 20
  • 17
  • 7
  • 4
  • 4
  • 4
  • 3
  • 3
  • 1
  • 1
  • 1
  • 1
Human

Wirt

  • 54
  • 6
Kaninchen

Klonalität

  • 53
  • 7
Polyklonal

Konjugat

  • 38
  • 3
  • 3
  • 2
  • 2
  • 2
  • 2
  • 2
  • 2
  • 2
  • 1
  • 1
Dieser SSRP1 Antikörper ist unkonjugiert

Applikation

  • 40
  • 16
  • 12
  • 10
  • 9
  • 4
  • 3
  • 2
  • 2
  • 1
  • 1
  • 1
Western Blotting (WB), Immunohistochemistry (IHC), Immunofluorescence (IF)
  • Bindungsspezifität

    • 8
    • 7
    • 3
    • 3
    • 2
    • 2
    • 2
    • 1
    • 1
    • 1
    • 1
    • 1
    • 1
    • 1
    • 1
    • 1
    AA 1-300

    Sequenz

    MAETLEFNDV YQEVKGSMND GRLRLSRQGI IFKNSKTGKV DNIQAGELTE GIWRRVALGH GLKLLTKNGH VYKYDGFRES EFEKLSDFFK THYRLELMEK DLCVKGWNWG TVKFGGQLLS FDIGDQPVFE IPLSNVSQCT TGKNEVTLEF HQNDDAEVSL MEVRFYVPPT QEDGVDPVEA FAQNVLSKAD VIQATGDAIC IFRELQCLTP RGRYDIRIYP TFLHLHGKTF DYKIPYTTVL RLFLLPHKDQ RQMFFVISLD PPIKQGQTRY HFLILLFSKD EDISLTLNMN EEEVEKRFEG

    Kreuzreaktivität

    Human, Maus

    Produktmerkmale

    Polyclonal Antibodies

    Immunogen

    Recombinant fusion protein containing a sequence corresponding to amino acids 1-300 of human SSRP1 (NP_003137.1).

    Isotyp

    IgG
  • Applikationshinweise

    WB,1:500 - 1:2000,IHC,1:50 - 1:200,IF,1:10 - 1:100

    Kommentare

    HIGH QUALITY

    Beschränkungen

    Nur für Forschungszwecke einsetzbar
  • Format

    Liquid

    Buffer

    PBS with 0.02 % sodium azide,50 % glycerol, pH 7.3.

    Konservierungsmittel

    Sodium azide

    Vorsichtsmaßnahmen

    This product contains Sodium azide: a POISONOUS AND HAZARDOUS SUBSTANCE which should be handled by trained staff only.

    Lagerung

    -20 °C

    Informationen zur Lagerung

    Store at -20°C. Avoid freeze / thaw cycles.
  • Target

    SSRP1 (Structure Specific Recognition Protein 1 (SSRP1))

    Andere Bezeichnung

    SSRP1

    Hintergrund

    The protein encoded by this gene is a subunit of a heterodimer that, along with SUPT16H, forms chromatin transcriptional elongation factor FACT. FACT interacts specifically with histones H2A/H2B to effect nucleosome disassembly and transcription elongation. FACT and cisplatin-damaged DNA may be crucial to the anticancer mechanism of cisplatin. This encoded protein contains a high mobility group box which most likely constitutes the structure recognition element for cisplatin-modified DNA. This protein also functions as a co-activator of the transcriptional activator p63. An alternatively spliced transcript variant of this gene has been described, but its full-length nature is not known.,SSRP1,FACT,FACT80,T160,Epigenetics & Nuclear Signaling,Transcription Factors,RNA Binding,SSRP1

    Molekulargewicht

    81 kDa

    Gen-ID

    6749

    UniProt

    Q08945

    Pathways

    Chromatin Binding
Sie sind hier:
Chat with us!