Telefon:
+49 (0)241 95 163 153
Fax:
+49 (0)241 95 163 155
E-Mail:
orders@antikoerper-online.de

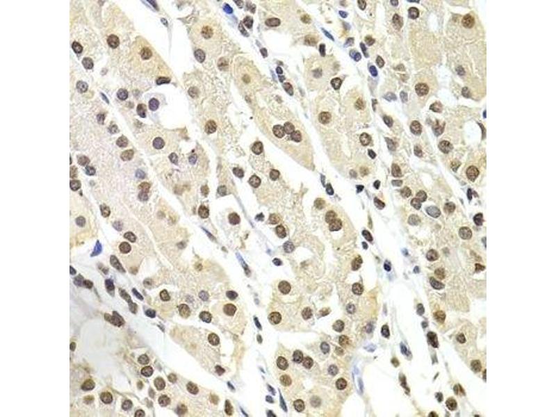
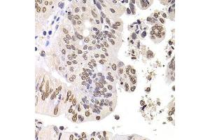
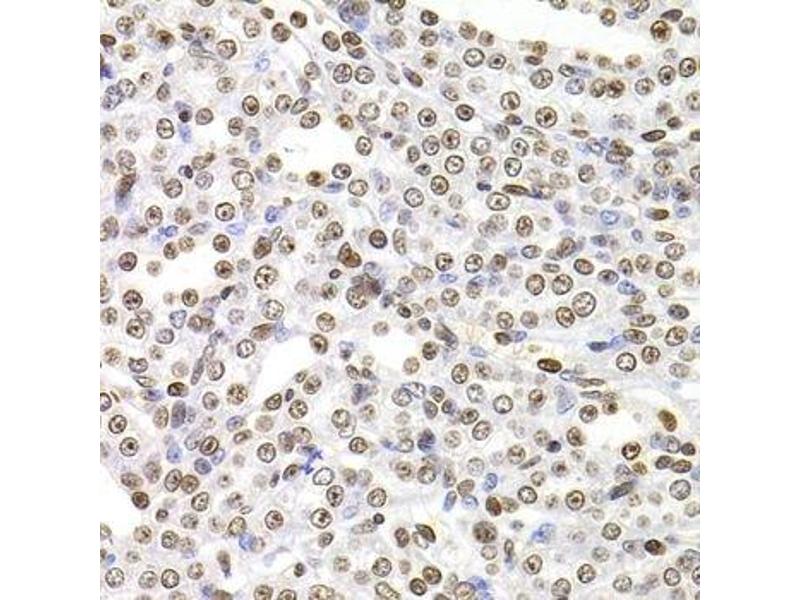
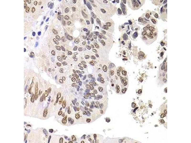
SOX5 Antikörper (AA 1-120)

Der Kaninchen Polyklonal anti-SOX5 Antikörper (ABIN6148303) detektiert spezifisch SOX5 in WB, IHC und IF. Dieser Antikörper reagiert spezifisch mit Proben aus Human.
Produktnummer ABIN6148303
320,00 €
Zzgl. Versandkosten 20,00 € und MwSt
Lieferung nach: Deutschland
Lieferung in 7 bis 9 Werktagen

Kurzübersicht für SOX5 Antikörper (AA 1-120) (ABIN6148303)

Target

Alle SOX5 Antikörper anzeigen
SOX5 (SRY (Sex Determining Region Y)-Box 5 (SOX5))

Reaktivität

  • 23
  • 11
  • 11
  • 4
  • 4
  • 4
  • 3
  • 3
  • 3
  • 2
  • 2
  • 1
Human

Wirt

  • 16
  • 7
Kaninchen

Klonalität

  • 16
  • 7
Polyklonal

Konjugat

  • 23
Dieser SOX5 Antikörper ist unkonjugiert

Applikation

  • 17
  • 7
  • 7
  • 5
  • 2
  • 2
  • 1
  • 1
Western Blotting (WB), Immunohistochemistry (IHC), Immunofluorescence (IF)
  • Bindungsspezifität

    • 4
    • 2
    • 2
    • 1
    • 1
    • 1
    • 1
    AA 1-120

    Sequenz

    MSSKRPASPY GEADGEVAMV TSRQKVEEEE SDGLPAFHLP LHVSFPNKPH SEEFQPVSLL TQETCGHRTP TSQHNTMEVD GNKVMSSFAP HNSSTSPQKA EEGGRQSGES LSSTALGTPE

    Kreuzreaktivität

    Human, Maus, Ratte

    Produktmerkmale

    Polyclonal Antibodies

    Immunogen

    Recombinant fusion protein containing a sequence corresponding to amino acids 1-120 of human SOX5 (NP_694534.1).

    Isotyp

    IgG
  • Applikationshinweise

    WB,1:500 - 1:2000,IHC,1:50 - 1:200,IF,1:50 - 1:100

    Kommentare

    HIGH QUALITY

    Beschränkungen

    Nur für Forschungszwecke einsetzbar
  • Format

    Liquid

    Buffer

    PBS with 0.02 % sodium azide,50 % glycerol, pH 7.3.

    Konservierungsmittel

    Sodium azide

    Vorsichtsmaßnahmen

    This product contains Sodium azide: a POISONOUS AND HAZARDOUS SUBSTANCE which should be handled by trained staff only.

    Lagerung

    -20 °C

    Informationen zur Lagerung

    Store at -20°C. Avoid freeze / thaw cycles.
  • Target

    SOX5 (SRY (Sex Determining Region Y)-Box 5 (SOX5))

    Andere Bezeichnung

    SOX5

    Hintergrund

    This gene encodes a member of the SOX (SRY-related HMG-box) family of transcription factors involved in the regulation of embryonic development and in the determination of the cell fate. The encoded protein may act as a transcriptional regulator after forming a protein complex with other proteins. The encoded protein may play a role in chondrogenesis. A pseudogene of this gene is located on chromosome 8. Multiple transcript variants encoding distinct isoforms have been identified for this gene.,SOX5,L-SOX5,L-SOX5B,L-SOX5F,LAMSHF,SRY-box 5,Epigenetics & Nuclear Signaling,Transcription Factors,SOX5

    Molekulargewicht

    41 kDa/71 kDa/82 kDa/84 kDa

    Gen-ID

    6660

    UniProt

    P35711
Sie sind hier:
Chat with us!