Telefon:
+49 (0)241 95 163 153
Fax:
+49 (0)241 95 163 155
E-Mail:
orders@antikoerper-online.de

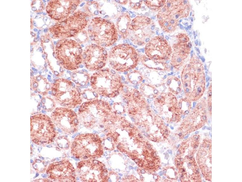
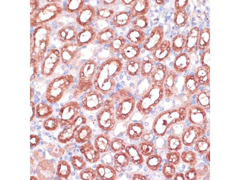
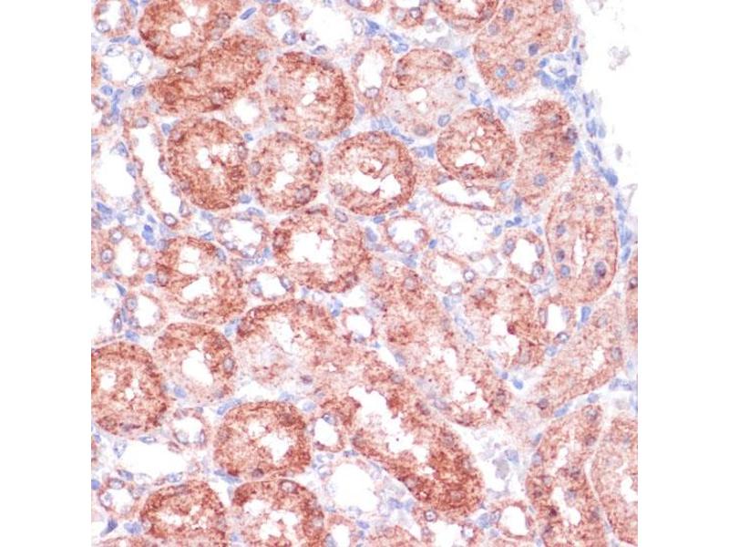
SHMT1 Antikörper (AA 285-444)

Der Kaninchen Polyklonal anti-SHMT1 Antikörper (ABIN6147744) detektiert spezifisch SHMT1 in WB, IHC und IF. Dieser Antikörper reagiert spezifisch mit Proben aus Human.
Produktnummer ABIN6147744
320,00 €
Zzgl. Versandkosten 20,00 € und MwSt
Lieferung nach: Deutschland
Lieferung in 7 bis 9 Werktagen

Kurzübersicht für SHMT1 Antikörper (AA 285-444) (ABIN6147744)

Target

Alle SHMT1 Antikörper anzeigen
SHMT1 (serine Hydroxymethyltransferase 1 (Soluble) (SHMT1))

Reaktivität

  • 43
  • 8
  • 6
  • 3
  • 3
  • 3
  • 2
  • 2
  • 2
  • 2
  • 2
  • 2
  • 1
  • 1
  • 1
  • 1
  • 1
  • 1
  • 1
  • 1
Human

Wirt

  • 38
  • 7
Kaninchen

Klonalität

  • 39
  • 6
Polyklonal

Konjugat

  • 26
  • 2
  • 2
  • 2
  • 1
  • 1
  • 1
  • 1
  • 1
  • 1
  • 1
  • 1
  • 1
  • 1
  • 1
  • 1
  • 1
Dieser SHMT1 Antikörper ist unkonjugiert

Applikation

  • 45
  • 18
  • 15
  • 13
  • 13
  • 8
  • 5
  • 4
  • 4
  • 3
  • 2
  • 1
Western Blotting (WB), Immunohistochemistry (IHC), Immunofluorescence (IF)
  • Bindungsspezifität

    • 15
    • 9
    • 4
    • 2
    • 2
    • 2
    • 2
    • 1
    • 1
    • 1
    • 1
    • 1
    AA 285-444

    Sequenz

    FKVYQHQVVA NCRALSEALT ELGYKIVTGG SDNHLILVDL RSKGTDGGRA EKVLEACSIA CNKNTCPGDR SALRPSGLRL GTPALTSRGL LEKDFQKVAH FIHRGIELTL QIQSDTGVRA TLKEFKERLA GDKYQAAVQA LREEVESFAS LFPLPGLPDF

    Kreuzreaktivität

    Human, Maus, Ratte

    Produktmerkmale

    Polyclonal Antibodies

    Immunogen

    Recombinant fusion protein containing a sequence corresponding to amino acids 285-444 of human SHMT1 (NP_683718.1).

    Isotyp

    IgG
  • Applikationshinweise

    WB,1:500 - 1:2000,IHC,1:50 - 1:200,IF,1:50 - 1:200

    Kommentare

    HIGH QUALITY

    Beschränkungen

    Nur für Forschungszwecke einsetzbar
  • Format

    Liquid

    Buffer

    PBS with 0.02 % sodium azide,50 % glycerol, pH 7.3.

    Konservierungsmittel

    Sodium azide

    Vorsichtsmaßnahmen

    This product contains Sodium azide: a POISONOUS AND HAZARDOUS SUBSTANCE which should be handled by trained staff only.

    Lagerung

    -20 °C

    Informationen zur Lagerung

    Store at -20°C. Avoid freeze / thaw cycles.
  • Target

    SHMT1 (serine Hydroxymethyltransferase 1 (Soluble) (SHMT1))

    Andere Bezeichnung

    SHMT1

    Hintergrund

    This gene encodes the cytosolic form of serine hydroxymethyltransferase, a pyridoxal phosphate-containing enzyme that catalyzes the reversible conversion of serine and tetrahydrofolate to glycine and 5,10-methylene tetrahydrofolate. This reaction provides one-carbon units for synthesis of methionine, thymidylate, and purines in the cytoplasm. This gene is located within the Smith-Magenis syndrome region on chromosome 17. A pseudogene of this gene is located on the short arm of chromosome 1. Alternative splicing results in multiple transcript variants.,SHMT1,CSHMT,SHMT,Signal Transduction,Endocrine & Metabolism,Amino acid metabolism,SHMT1

    Molekulargewicht

    37 kDa/44 kDa/49 kDa/53 kDa

    Gen-ID

    6470

    UniProt

    P34896
Sie sind hier:
Chat with us!