Telefon:
+49 (0)241 95 163 153
Fax:
+49 (0)241 95 163 155
E-Mail:
orders@antikoerper-online.de

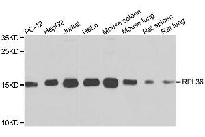
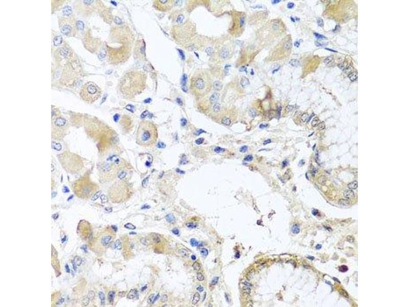
RPL36 Antikörper (AA 1-105)

Dieser Kaninchen Polyklonal Antikörper detektiert spezifisch RPL36 in WB, IHC und IF. Es zeigt Reaktivität gegenüber Proben von Human.
Produktnummer ABIN6147141
320,00 €
Zzgl. Versandkosten 20,00 € und MwSt
Lieferung nach: Deutschland
Lieferung in 7 bis 9 Werktagen

Kurzübersicht für RPL36 Antikörper (AA 1-105) (ABIN6147141)

Target

Alle RPL36 Antikörper anzeigen
RPL36 (Ribosomal Protein L36 (RPL36))

Reaktivität

  • 35
  • 15
  • 13
  • 3
  • 2
  • 2
  • 2
  • 2
  • 1
  • 1
  • 1
Human

Wirt

  • 34
  • 1
Kaninchen

Klonalität

  • 35
Polyklonal

Konjugat

  • 23
  • 2
  • 1
  • 1
  • 1
  • 1
  • 1
  • 1
  • 1
  • 1
  • 1
  • 1
Dieser RPL36 Antikörper ist unkonjugiert

Applikation

  • 28
  • 15
  • 12
  • 10
  • 3
  • 2
  • 1
  • 1
  • 1
Western Blotting (WB), Immunohistochemistry (IHC), Immunofluorescence (IF)
  • Bindungsspezifität

    • 8
    • 4
    • 3
    • 2
    • 2
    • 2
    • 1
    • 1
    • 1
    • 1
    • 1
    • 1
    • 1
    • 1
    AA 1-105

    Sequenz

    MALRYPMAVG LNKGHKVTKN VSKPRHSRRR GRLTKHTKFV RDMIREVCGF APYERRAMEL LKVSKDKRAL KFIKKRVGTH IRAKRKREEL SNVLAAMRKA AAKKD

    Kreuzreaktivität

    Human, Maus, Ratte

    Produktmerkmale

    Polyclonal Antibodies

    Immunogen

    Recombinant fusion protein containing a sequence corresponding to amino acids 1-105 of human RPL36 (NP_056229.2).

    Isotyp

    IgG
  • Applikationshinweise

    WB,1:500 - 1:2000,IHC,1:50 - 1:200,IF,1:50 - 1:200

    Kommentare

    HIGH QUALITY

    Beschränkungen

    Nur für Forschungszwecke einsetzbar
  • Format

    Liquid

    Buffer

    PBS with 0.02 % sodium azide,50 % glycerol, pH 7.3.

    Konservierungsmittel

    Sodium azide

    Vorsichtsmaßnahmen

    This product contains Sodium azide: a POISONOUS AND HAZARDOUS SUBSTANCE which should be handled by trained staff only.

    Lagerung

    -20 °C

    Informationen zur Lagerung

    Store at -20°C. Avoid freeze / thaw cycles.
  • Target

    RPL36 (Ribosomal Protein L36 (RPL36))

    Andere Bezeichnung

    RPL36

    Hintergrund

    Ribosomes, the organelles that catalyze protein synthesis, consist of a small 40S subunit and a large 60S subunit. Together these subunits are composed of 4 RNA species and approximately 80 structurally distinct proteins. This gene encodes a ribosomal protein that is a component of the 60S subunit. The protein belongs to the L36E family of ribosomal proteins. It is located in the cytoplasm. Transcript variants derived from alternative splicing exist, they encode the same protein. As is typical for genes encoding ribosomal proteins, there are multiple processed pseudogenes of this gene dispersed through the genome.,RPL36,L36,Epigenetics & Nuclear Signaling,RNA Binding,RPL36

    Molekulargewicht

    12 kDa

    Gen-ID

    25873

    UniProt

    Q9Y3U8

    Pathways

    SARS-CoV-2 Protein Interaktom
Sie sind hier:
Chat with us!