Telefon:
+49 (0)241 95 163 153
Fax:
+49 (0)241 95 163 155
E-Mail:
orders@antikoerper-online.de

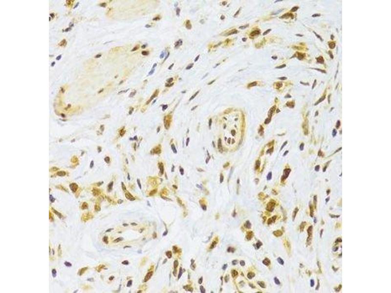
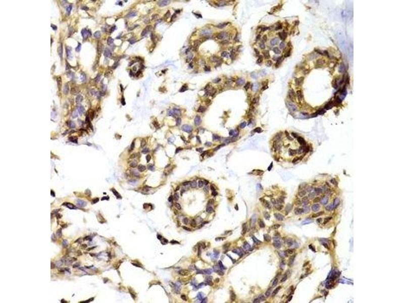
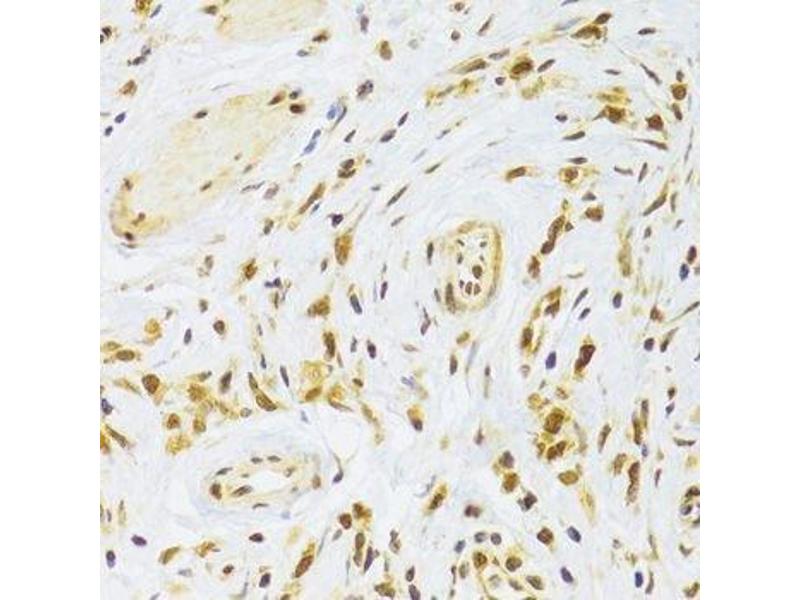
RPL13 Antikörper (AA 1-211)

Dieser Kaninchen Polyklonal Antikörper detektiert spezifisch RPL13 in WB, IHC und IF. Es zeigt Reaktivität gegenüber Proben von Human.
Produktnummer ABIN6147109
320,00 €
Zzgl. Versandkosten 20,00 € und MwSt
Lieferung nach: Deutschland
Lieferung in 7 bis 9 Werktagen

Kurzübersicht für RPL13 Antikörper (AA 1-211) (ABIN6147109)

Target

Alle RPL13 Antikörper anzeigen
RPL13 (Ribosomal Protein L13 (RPL13))

Reaktivität

  • 26
  • 20
  • 7
  • 5
  • 3
  • 3
  • 2
  • 2
  • 2
  • 2
  • 2
  • 2
  • 2
  • 1
Human

Wirt

  • 24
  • 2
Kaninchen

Klonalität

  • 15
  • 11
Polyklonal

Konjugat

  • 17
  • 1
  • 1
  • 1
  • 1
  • 1
  • 1
  • 1
  • 1
  • 1
Dieser RPL13 Antikörper ist unkonjugiert

Applikation

  • 26
  • 16
  • 14
  • 10
  • 5
  • 1
  • 1
Western Blotting (WB), Immunohistochemistry (IHC), Immunofluorescence (IF)
  • Bindungsspezifität

    • 4
    • 1
    • 1
    • 1
    • 1
    AA 1-211

    Sequenz

    MAPSRNGMVL KPHFHKDWQR RVATWFNQPA RKIRRRKARQ AKARRIAPRP ASGPIRPIVR CPTVRYHTKV RAGRGFSLEE LRVAGIHKKV ARTIGISVDP RRRNKSTESL QANVQRLKEY RSKLILFPRK PSAPKKGDSS AEELKLATQL TGPVMPVRNV YKKEKARVIT EEEKNFKAFA SLRMARANAR LFGIRAKRAK EAAEQDVEKK K

    Kreuzreaktivität

    Human, Maus, Ratte

    Produktmerkmale

    Polyclonal Antibodies

    Immunogen

    Recombinant fusion protein containing a sequence corresponding to amino acids 1-211 of human RPL13 (NP_150254.1).

    Isotyp

    IgG
  • Applikationshinweise

    WB,1:500 - 1:2000,IHC,1:50 - 1:200,IF,1:50 - 1:200

    Kommentare

    HIGH QUALITY

    Beschränkungen

    Nur für Forschungszwecke einsetzbar
  • Format

    Liquid

    Buffer

    PBS with 0.02 % sodium azide,50 % glycerol, pH 7.3.

    Konservierungsmittel

    Sodium azide

    Vorsichtsmaßnahmen

    This product contains Sodium azide: a POISONOUS AND HAZARDOUS SUBSTANCE which should be handled by trained staff only.

    Lagerung

    -20 °C

    Informationen zur Lagerung

    Store at -20°C. Avoid freeze / thaw cycles.
  • Target

    RPL13 (Ribosomal Protein L13 (RPL13))

    Andere Bezeichnung

    RPL13

    Hintergrund

    Ribosomes, the organelles that catalyze protein synthesis, consist of a small 40S subunit and a large 60S subunit. Together these subunits are composed of 4 RNA species and approximately 80 structurally distinct proteins. This gene encodes a ribosomal protein that is a component of the 60S subunit. The protein belongs to the L13E family of ribosomal proteins. It is located in the cytoplasm. This gene is expressed at significantly higher levels in benign breast lesions than in breast carcinomas. Alternatively spliced transcript variants encoding distinct isoforms have been found for this gene. As is typical for genes encoding ribosomal proteins, there are multiple processed pseudogenes of this gene dispersed through the genome.,RPL13,BBC1,D16S444E,D16S44E,L13,Epigenetics & Nuclear Signaling,RNA Binding,RPL13

    Molekulargewicht

    18 kDa/24 kDa

    Gen-ID

    6137

    UniProt

    P26373
Sie sind hier:
Chat with us!