Telefon:
+49 (0)241 95 163 153
Fax:
+49 (0)241 95 163 155
E-Mail:
orders@antikoerper-online.de

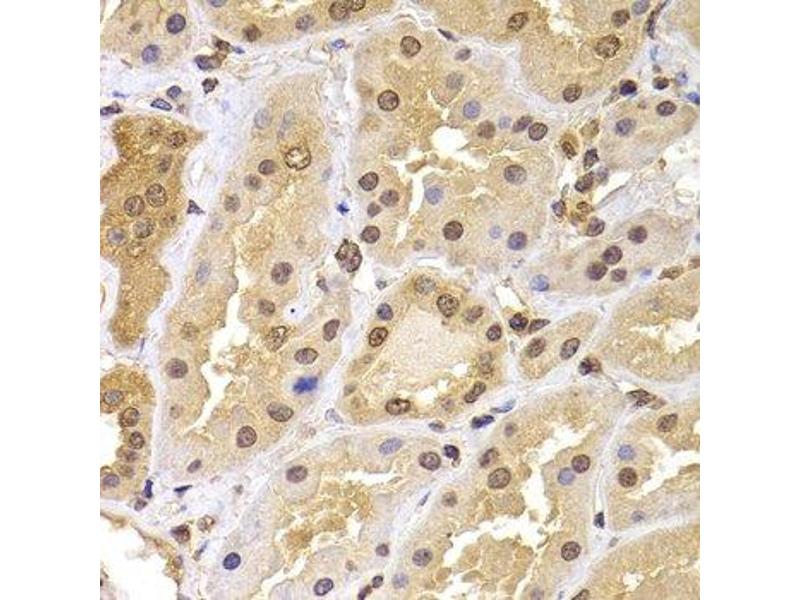
PHF21B Antikörper (AA 322-531)

Dieser Kaninchen Polyklonal Antikörper detektiert spezifisch PHF21B in WB. Es zeigt Reaktivität gegenüber Proben von Human.
Produktnummer ABIN6145545
320,00 €
Zzgl. Versandkosten 20,00 € und MwSt
Lieferung nach: Deutschland
Lieferung in 7 bis 9 Werktagen

Kurzübersicht für PHF21B Antikörper (AA 322-531) (ABIN6145545)

Target

PHF21B (PHD Finger Protein 21B (PHF21B))

Reaktivität

  • 8
  • 1
  • 1
Human

Wirt

  • 6
  • 2
Kaninchen

Klonalität

  • 4
  • 4
Polyklonal

Konjugat

  • 8
Dieser PHF21B Antikörper ist unkonjugiert

Applikation

  • 8
  • 6
  • 2
  • 2
  • 1
  • 1
  • 1
Western Blotting (WB)
  • Bindungsspezifität

    • 2
    • 1
    AA 322-531

    Sequenz

    KRLASNYLNN PLFLTARANE DPCWKNEITH DEHCAACKRG ANLQPCGTCP GAYHLSCLEP PLKTAPKGVW VCPRCQQKAL KKDEGVPWTG MLAIVHSYVT HKTVKEEEKQ KLLQRGSELQ NEHQQLEERD RRLASAVQKC LELKTSLLAR QRGTQSSLDR LRALLRLIQG EQLLQVTMTT TSPAPLLAGP WTKPSVAATH PTVQHPQGHN

    Kreuzreaktivität

    Human, Maus, Ratte

    Produktmerkmale

    Polyclonal Antibodies

    Immunogen

    Recombinant fusion protein containing a sequence corresponding to amino acids 322-531 of human PHF21B (NP_612424.1).

    Isotyp

    IgG
  • Applikationshinweise

    WB,1:500 - 1:2000

    Kommentare

    HIGH QUALITY

    Beschränkungen

    Nur für Forschungszwecke einsetzbar
  • Format

    Liquid

    Buffer

    PBS with 0.02 % sodium azide,50 % glycerol, pH 7.3.

    Konservierungsmittel

    Sodium azide

    Vorsichtsmaßnahmen

    This product contains Sodium azide: a POISONOUS AND HAZARDOUS SUBSTANCE which should be handled by trained staff only.

    Lagerung

    -20 °C

    Informationen zur Lagerung

    Store at -20°C. Avoid freeze / thaw cycles.
  • Target

    PHF21B (PHD Finger Protein 21B (PHF21B))

    Andere Bezeichnung

    PHF21B

    Hintergrund

    PHF21B,BHC80L,PHF4,Epigenetics & Nuclear Signaling,Cell Biology & Developmental Biology,PHF21B

    Molekulargewicht

    51 kDa/53 kDa/57 kDa

    Gen-ID

    112885

    UniProt

    Q96EK2
Sie sind hier:
Chat with us!