Telefon:
+49 (0)241 95 163 153
Fax:
+49 (0)241 95 163 155
E-Mail:
orders@antikoerper-online.de

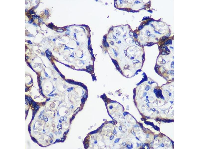
PARP8 Antikörper (AA 1-300)

Dieser Kaninchen Polyklonal Antikörper detektiert spezifisch PARP8 in WB und IHC. Es zeigt Reaktivität gegenüber Proben von Human.
Produktnummer ABIN6145242
320,00 €
Zzgl. Versandkosten 20,00 € und MwSt
Lieferung nach: Deutschland
Lieferung in 7 bis 9 Werktagen

Kurzübersicht für PARP8 Antikörper (AA 1-300) (ABIN6145242)

Target

PARP8 (Poly (ADP-Ribose) Polymerase Family, Member 8 (PARP8))

Reaktivität

  • 29
  • 18
  • 7
  • 4
  • 4
  • 4
  • 4
  • 4
  • 4
  • 2
  • 2
  • 2
  • 1
  • 1
Human

Wirt

  • 31
Kaninchen

Klonalität

  • 31
Polyklonal

Konjugat

  • 16
  • 3
  • 2
  • 2
  • 1
  • 1
  • 1
  • 1
  • 1
  • 1
  • 1
  • 1
Dieser PARP8 Antikörper ist unkonjugiert

Applikation

  • 19
  • 14
  • 3
  • 1
Western Blotting (WB), Immunohistochemistry (IHC)
  • Bindungsspezifität

    • 7
    • 4
    • 2
    • 2
    • 2
    • 1
    • 1
    • 1
    • 1
    • 1
    • 1
    AA 1-300

    Sequenz

    MGMCSRQERI QKDIDVVIQK SRAEKDCLFA DFRYSDSTFT FTYVGGPRSV SYSVHVSEDY PDNTYVSSSE NDEDVLVTTE PIPVIFHRIA TELRKTNDIN CCLSIKSKLQ KENGEESRQN STVEEDSEGD NDSEEFYYGG QVNYDGELHK HPQLEADLSA VREIYGPHAV SLREYGAIDD VDIDLHIDVS FLDEEIAVAW EVIRTEPIIV RLHCSLTQYL NGPVPTVDVF QISTKERFGL GHQLKKIMQT FVTQQWKQSK EKSNCLHNKK LSEKKVKSPL HLFSTLRRSP SYPPPGCGKS

    Kreuzreaktivität

    Human, Maus, Ratte

    Produktmerkmale

    Polyclonal Antibodies

    Immunogen

    Recombinant fusion protein containing a sequence corresponding to amino acids 1-300 of human PARP8 (NP_001171527.1).

    Isotyp

    IgG
  • Applikationshinweise

    WB,1:500 - 1:2000,IHC,1:50 - 1:200

    Kommentare

    HIGH QUALITY

    Beschränkungen

    Nur für Forschungszwecke einsetzbar
  • Format

    Liquid

    Buffer

    PBS with 0.02 % sodium azide,50 % glycerol, pH 7.3.

    Konservierungsmittel

    Sodium azide

    Vorsichtsmaßnahmen

    This product contains Sodium azide: a POISONOUS AND HAZARDOUS SUBSTANCE which should be handled by trained staff only.

    Lagerung

    -20 °C

    Informationen zur Lagerung

    Store at -20°C. Avoid freeze / thaw cycles.
  • Target

    PARP8 (Poly (ADP-Ribose) Polymerase Family, Member 8 (PARP8))

    Andere Bezeichnung

    PARP8

    Hintergrund

    Mono-ADP-ribosyltransferase that mediates mono-ADP-ribosylation of target proteins.,PARP8,ARTD16,pART16,Epigenetics & Nuclear Signaling,PARP8

    Molekulargewicht

    91 kDa/95 kDa

    Gen-ID

    79668

    UniProt

    Q8N3A8
Sie sind hier:
Chat with us!