Telefon:
+49 (0)241 95 163 153
Fax:
+49 (0)241 95 163 155
E-Mail:
orders@antikoerper-online.de

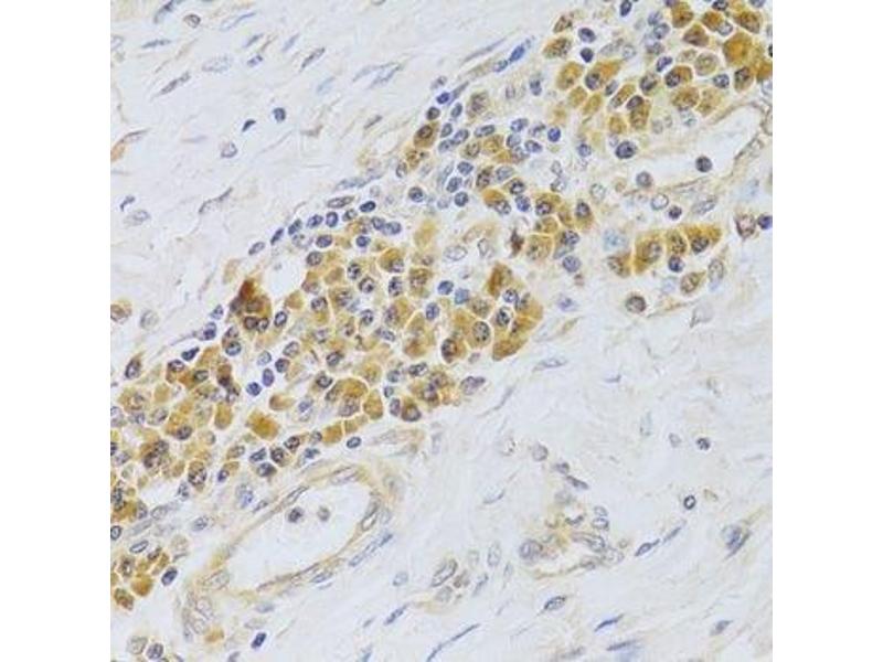
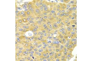
PA2G4 Antikörper (AA 1-394)

Dieser Kaninchen Polyklonal Antikörper detektiert spezifisch PA2G4 in WB und IHC. Es zeigt Reaktivität gegenüber Proben von Human.
Produktnummer ABIN6145146
320,00 €
Zzgl. Versandkosten 20,00 € und MwSt
Lieferung nach: Deutschland
Lieferung in 7 bis 9 Werktagen

Kurzübersicht für PA2G4 Antikörper (AA 1-394) (ABIN6145146)

Target

Alle PA2G4 Antikörper anzeigen
PA2G4 (Proliferation-Associated 2G4, 38kDa (PA2G4))

Reaktivität

  • 69
  • 49
  • 41
  • 10
  • 9
  • 8
  • 8
  • 8
  • 6
  • 4
  • 4
  • 4
  • 4
  • 2
Human

Wirt

  • 63
  • 6
Kaninchen

Klonalität

  • 53
  • 16
Polyklonal

Konjugat

  • 42
  • 3
  • 3
  • 2
  • 1
  • 1
  • 1
  • 1
  • 1
  • 1
  • 1
  • 1
  • 1
  • 1
  • 1
  • 1
  • 1
  • 1
  • 1
  • 1
  • 1
  • 1
  • 1
Dieser PA2G4 Antikörper ist unkonjugiert

Applikation

  • 63
  • 23
  • 23
  • 17
  • 16
  • 16
  • 16
  • 14
  • 13
  • 9
  • 3
  • 1
  • 1
  • 1
Western Blotting (WB), Immunohistochemistry (IHC)
  • Bindungsspezifität

    • 15
    • 6
    • 6
    • 6
    • 3
    • 2
    • 2
    • 2
    • 1
    • 1
    • 1
    • 1
    • 1
    • 1
    • 1
    • 1
    AA 1-394

    Sequenz

    MSGEDEQQEQ TIAEDLVVTK YKMGGDIANR VLRSLVEASS SGVSVLSLCE KGDAMIMEET GKIFKKEKEM KKGIAFPTSI SVNNCVCHFS PLKSDQDYIL KEGDLVKIDL GVHVDGFIAN VAHTFVVDVA QGTQVTGRKA DVIKAAHLCA EAALRLVKPG NQNTQVTEAW NKVAHSFNCT PIEGMLSHQL KQHVIDGEKT IIQNPTDQQK KDHEKAEFEV HEVYAVDVLV SSGEGKAKDA GQRTTIYKRD PSKQYGLKMK TSRAFFSEVE RRFDAMPFTL RAFEDEKKAR MGVVECAKHE LLQPFNVLYE KEGEFVAQFK FTVLLMPNGP MRITSGPFEP DLYKSEMEVQ DAELKALLQS SASRKTQKKK KKKASKTAEN ATSGETLEEN EAGD

    Kreuzreaktivität

    Human, Maus, Ratte

    Produktmerkmale

    Polyclonal Antibodies

    Aufreinigung

    Affinity purification

    Immunogen

    Recombinant fusion protein containing a sequence corresponding to amino acids 1-394 of human EBP1/PA2G4 (NP_006182.2).

    Isotyp

    IgG
  • Applikationshinweise

    WB,1:500 - 1:2000,IHC,1:50 - 1:200

    Kommentare

    HIGH QUALITY

    Beschränkungen

    Nur für Forschungszwecke einsetzbar
  • Format

    Liquid

    Buffer

    PBS with 0.02 % sodium azide,50 % glycerol, pH 7.3.

    Konservierungsmittel

    Sodium azide

    Vorsichtsmaßnahmen

    This product contains Sodium azide: a POISONOUS AND HAZARDOUS SUBSTANCE which should be handled by trained staff only.

    Lagerung

    -20 °C

    Informationen zur Lagerung

    Store at -20°C. Avoid freeze / thaw cycles.
  • Target

    PA2G4 (Proliferation-Associated 2G4, 38kDa (PA2G4))

    Andere Bezeichnung

    EBP1/PA2G4

    Hintergrund

    This gene encodes an RNA-binding protein that is involved in growth regulation. This protein is present in pre-ribosomal ribonucleoprotein complexes and may be involved in ribosome assembly and the regulation of intermediate and late steps of rRNA processing. This protein can interact with the cytoplasmic domain of the ErbB3 receptor and may contribute to transducing growth regulatory signals. This protein is also a transcriptional co-repressor of androgen receptor-regulated genes and other cell cycle regulatory genes through its interactions with histone deacetylases. This protein has been implicated in growth inhibition and the induction of differentiation of human cancer cells. Six pseudogenes, located on chromosomes 3, 6, 9, 18, 20 and X, have been identified.,PA2G4,EBP1,HG4-1,p38-2G4,Epigenetics & Nuclear Signaling,RNA Binding,Nuclear Receptor Signaling,EBP1/PA2G4

    Molekulargewicht

    38 kDa/43 kDa

    Gen-ID

    5036

    UniProt

    Q9UQ80

    Pathways

    Myometrial Relaxation and Contraction, Regulation of Carbohydrate Metabolic Process, Hepatitis C, Toll-Like Receptors Cascades
Sie sind hier:
Chat with us!