Telefon:
+49 (0)241 95 163 153
Fax:
+49 (0)241 95 163 155
E-Mail:
orders@antikoerper-online.de

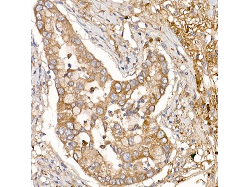
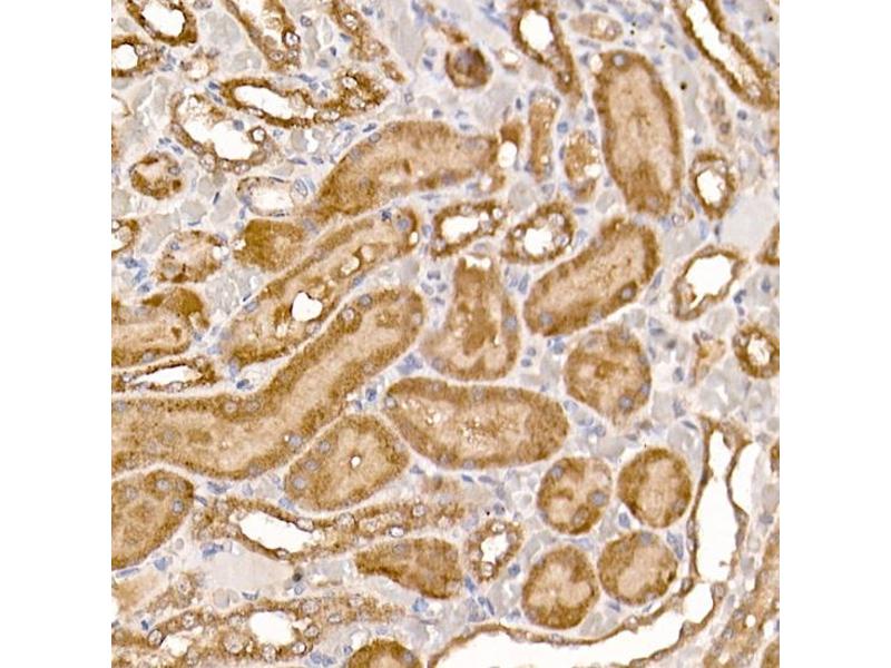
NUMB Antikörper (AA 521-640)

Der Kaninchen Polyklonal anti-NUMB Antikörper wird verwendet zum Nachweis von NUMB in Proben von Human. Er wurde validiert für WB, IHC und IF.
Produktnummer ABIN6144943
416,00 €
Zzgl. Versandkosten 20,00 € und MwSt
Lieferung nach: Deutschland
Lieferung in 7 bis 9 Werktagen

Kurzübersicht für NUMB Antikörper (AA 521-640) (ABIN6144943)

Target

Alle NUMB Antikörper anzeigen
NUMB (Numb Homolog (NUMB))

Reaktivität

  • 70
  • 57
  • 30
  • 6
  • 4
  • 4
  • 4
  • 3
  • 2
  • 1
  • 1
  • 1
  • 1
  • 1
  • 1
  • 1
  • 1
Human

Wirt

  • 75
  • 10
  • 2
  • 1
Kaninchen

Klonalität

  • 57
  • 31
Polyklonal

Konjugat

  • 51
  • 4
  • 3
  • 3
  • 3
  • 3
  • 3
  • 3
  • 1
  • 1
  • 1
  • 1
  • 1
  • 1
  • 1
  • 1
  • 1
  • 1
  • 1
  • 1
  • 1
  • 1
  • 1
Dieser NUMB Antikörper ist unkonjugiert

Applikation

  • 72
  • 24
  • 17
  • 14
  • 14
  • 13
  • 13
  • 9
  • 9
  • 7
  • 3
  • 2
  • 1
  • 1
Western Blotting (WB), Immunohistochemistry (IHC), Immunofluorescence (IF)
  • Bindungsspezifität

    • 15
    • 6
    • 5
    • 4
    • 4
    • 4
    • 3
    • 2
    • 2
    • 1
    • 1
    • 1
    • 1
    • 1
    • 1
    • 1
    • 1
    • 1
    • 1
    AA 521-640

    Sequenz

    SQMVANVFGT AGHPQAAHPH QSPSLVRQQT FPHYEASSAT TSPFFKPPAQ HLNGSAAFNG VDDGRLASAD RHTEVPTGTC PVDPFEAQWA ALENKSKQRT NPSPTNPFSS DLQKTFEIEL

    Kreuzreaktivität

    Human, Maus, Ratte

    Produktmerkmale

    Polyclonal Antibodies

    Immunogen

    Recombinant fusion protein containing a sequence corresponding to amino acids 521-640 of human NUMB (NP_003735.3).

    Isotyp

    IgG
  • Applikationshinweise

    WB,1:500 - 1:2000,IHC,1:50 - 1:200,IF,1:50 - 1:200

    Kommentare

    HIGH QUALITY

    Beschränkungen

    Nur für Forschungszwecke einsetzbar
  • Format

    Liquid

    Buffer

    PBS with 0.02 % sodium azide,50 % glycerol, pH 7.3.

    Konservierungsmittel

    Sodium azide

    Vorsichtsmaßnahmen

    This product contains Sodium azide: a POISONOUS AND HAZARDOUS SUBSTANCE which should be handled by trained staff only.

    Lagerung

    -20 °C

    Informationen zur Lagerung

    Store at -20°C. Avoid freeze / thaw cycles.
  • Target

    NUMB (Numb Homolog (NUMB))

    Andere Bezeichnung

    NUMB

    Hintergrund

    The protein encoded by this gene plays a role in the determination of cell fates during development. The encoded protein, whose degradation is induced in a proteasome-dependent manner by MDM2, is a membrane-bound protein that has been shown to associate with EPS15, LNX1, and NOTCH1. Alternative splicing results in multiple transcript variants.,NUMB,C14orf41,S171,c14_5527,Signal Transduction,Cell Biology & Developmental Biology,Notch Signaling Pathway,Neuroscience,Stem Cells,NUMB

    Molekulargewicht

    37 kDa/48-70 kDa

    Gen-ID

    8650

    UniProt

    P49757

    Pathways

    Cell-Cell Junction Organization
Sie sind hier:
Chat with us!