Telefon:
+49 (0)241 95 163 153
Fax:
+49 (0)241 95 163 155
E-Mail:
orders@antikoerper-online.de

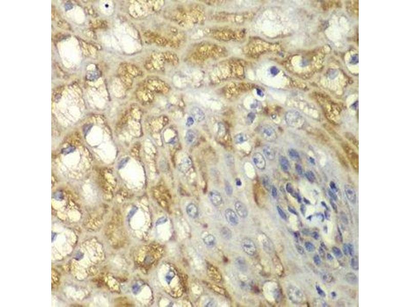
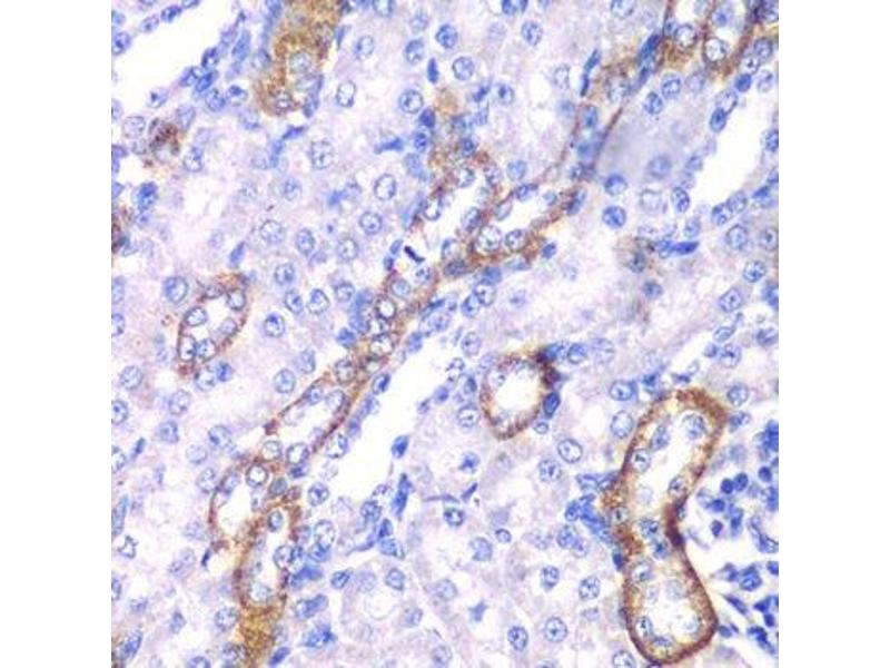
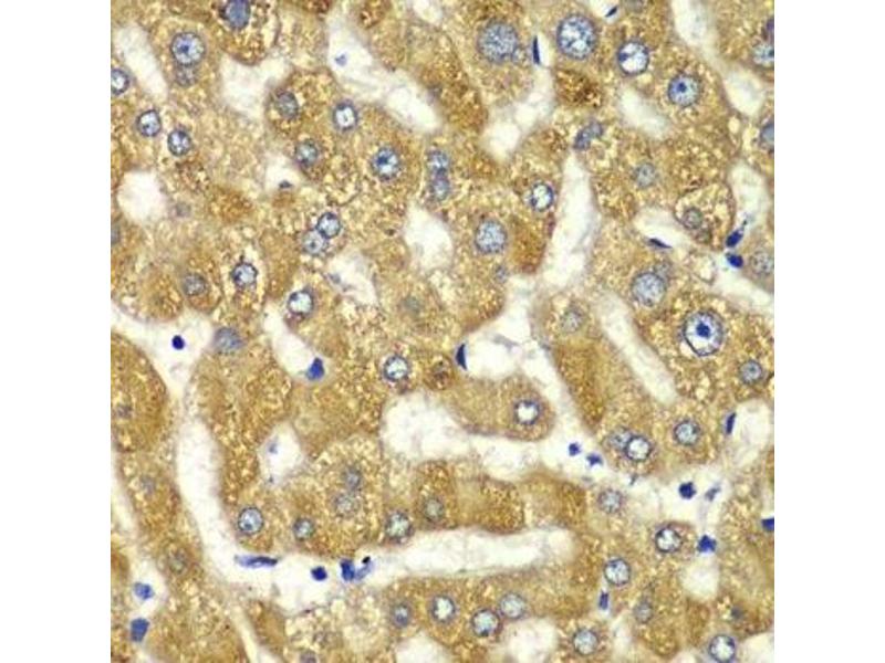
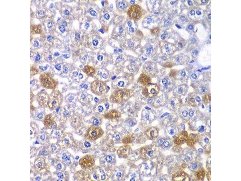
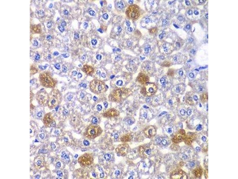
Myosin IC Antikörper (AA 769-1028)

Der Kaninchen Polyklonal anti-Myosin IC Antikörper wird verwendet zum Nachweis von Myosin IC in Proben von Human. Er wurde validiert für WB und IHC.
Produktnummer ABIN6144280
320,00 €
Zzgl. Versandkosten 20,00 € und MwSt
Lieferung nach: Deutschland
Lieferung in 7 bis 9 Werktagen

Kurzübersicht für Myosin IC Antikörper (AA 769-1028) (ABIN6144280)

Target

Alle Myosin IC (MYO1C) Antikörper anzeigen
Myosin IC (MYO1C)

Reaktivität

  • 21
  • 9
  • 8
  • 2
  • 2
  • 2
  • 2
  • 2
  • 2
  • 1
  • 1
  • 1
  • 1
  • 1
Human

Wirt

  • 22
  • 1
Kaninchen

Klonalität

  • 21
  • 2
Polyklonal

Konjugat

  • 18
  • 1
  • 1
  • 1
  • 1
  • 1
Dieser Myosin IC Antikörper ist unkonjugiert

Applikation

  • 20
  • 16
  • 10
  • 4
  • 4
  • 3
  • 1
  • 1
Western Blotting (WB), Immunohistochemistry (IHC)
  • Bindungsspezifität

    • 6
    • 2
    • 2
    • 1
    • 1
    • 1
    • 1
    AA 769-1028

    Sequenz

    ENAFFLDHVR TSFLLNLRRQ LPQNVLDTSW PTPPPALREA SELLRELCIK NMVWKYCRSI SPEWKQQLQQ KAVASEIFKG KKDNYPQSVP RLFISTRLGT DEISPRVLQA LGSEPIQYAV PVVKYDRKGY KPRSRQLLLT PNAVVIVEDA KVKQRIDYAN LTGISVSSLS DSLFVLHVQR ADNKQKGDVV LQSDHVIETL TKTALSANRV NSININQGSI TFAGGPGRDG TIDFTPGSEL LITKAKNGHL AVVAPRLNSR

    Kreuzreaktivität

    Human, Maus, Ratte

    Produktmerkmale

    Polyclonal Antibodies

    Immunogen

    Recombinant fusion protein containing a sequence corresponding to amino acids 769-1028 of human MYO1C (NP_203693.3).

    Isotyp

    IgG
  • Applikationshinweise

    WB,1:500 - 1:2000,IHC,1:50 - 1:200

    Kommentare

    HIGH QUALITY

    Beschränkungen

    Nur für Forschungszwecke einsetzbar
  • Format

    Liquid

    Buffer

    PBS with 0.02 % sodium azide,50 % glycerol, pH 7.3.

    Konservierungsmittel

    Sodium azide

    Vorsichtsmaßnahmen

    This product contains Sodium azide: a POISONOUS AND HAZARDOUS SUBSTANCE which should be handled by trained staff only.

    Lagerung

    -20 °C

    Informationen zur Lagerung

    Store at -20°C. Avoid freeze / thaw cycles.
  • Target

    Myosin IC (MYO1C)

    Andere Bezeichnung

    MYO1C

    Hintergrund

    This gene encodes a member of the unconventional myosin protein family, which are actin-based molecular motors. The protein is found in the cytoplasm, and one isoform with a unique N-terminus is also found in the nucleus. The nuclear isoform associates with RNA polymerase I and II and functions in transcription initiation. The mouse ortholog of this protein also functions in intracellular vesicle transport to the plasma membrane. Multiple transcript variants encoding different isoforms have been found for this gene. The related gene myosin IE has been referred to as myosin IC in the literature, but it is a distinct locus on chromosome 19.,MYO1C,MMI-beta,MMIb,NMI,myr2,myosin IC,Signal Transduction,Cell Biology & Developmental Biology,Cytoskeleton,Motor Proteins,MYO1C

    Molekulargewicht

    117 kDa/119 kDa/121 kDa

    Gen-ID

    4641

    UniProt

    O00159

    Pathways

    Platelet-derived growth Factor Receptor Signaling
Sie sind hier:
Chat with us!