HFM1 Antikörper (AA 1-240)
Kurzübersicht für HFM1 Antikörper (AA 1-240) (ABIN6141741)
Target
Reaktivität
Wirt
Klonalität
Konjugat
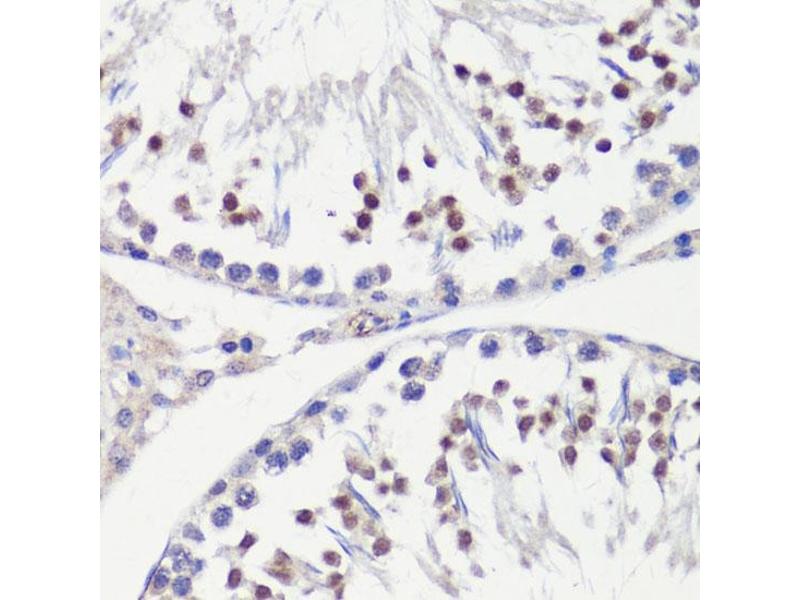
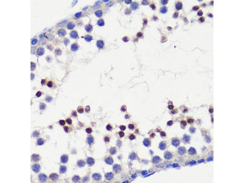
Applikation
-
-
Bindungsspezifität
- AA 1-240
-
Sequenz
- MLKSNDCLFS LENLFFEKPD EVENHPDNEK SLDWFLPPAP LISEIPDTQE LEEELESHKL LGQEKRPKML TSNLKITNED TNYISLTQKF QFAFPSDKYE QDDLNLEGVG NNDLSHVAGK LTYASQKYKN HIGTEIAPEK SVPDDTKLVN FAEDKGESTS VFRKRLFKIS DNIHGSAYSN DNELDSHIGS VKIVQTEMNK GKSRNYSNSK QKFQYSANVF TANNAFSASE IGEGMFKAPS
-
Kreuzreaktivität
- Human, Maus, Ratte
-
Produktmerkmale
- Polyclonal Antibodies
-
Aufreinigung
- Affinity purification
-
Immunogen
- Recombinant fusion protein containing a sequence corresponding to amino acids 1-240 of human HFM1 (NP_001017975.4).
-
Isotyp
- IgG
-
-
-
-
Applikationshinweise
- WB,1:500 - 1:2000,IHC,1:50 - 1:100
-
Kommentare
-
HIGH QUALITY
-
Beschränkungen
- Nur für Forschungszwecke einsetzbar
-
-
-
Format
- Liquid
-
Buffer
- PBS with 0.02 % sodium azide,50 % glycerol, pH 7.3.
-
Konservierungsmittel
- Sodium azide
-
Vorsichtsmaßnahmen
- This product contains Sodium azide: a POISONOUS AND HAZARDOUS SUBSTANCE which should be handled by trained staff only.
-
Lagerung
- -20 °C
-
Informationen zur Lagerung
- Store at -20°C. Avoid freeze / thaw cycles.
-
-
- HFM1 (HFM1, ATP-Dependent DNA Helicase Homolog (HFM1))
-
Andere Bezeichnung
- HFM1
-
Hintergrund
- The protein encoded by this gene is thought to be an ATP-dependent DNA helicase and is expressed mainly in germ-line cells. Defects in this gene are a cause of premature ovarian failure 9 (POF9).,HFM1,MER3,POF9,SEC63D1,Si-11,Si-11-6,helicase,Epigenetics & Nuclear Signaling,Cell Biology & Developmental Biology,HFM1
-
Molekulargewicht
- 62 kDa/162 kDa
-
Gen-ID
- 164045
-
UniProt
- A2PYH4
Target
-