Telefon:
+49 (0)241 95 163 153
Fax:
+49 (0)241 95 163 155
E-Mail:
orders@antikoerper-online.de

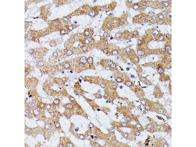
HDLBP Antikörper (AA 1035-1268)

Der Kaninchen Polyklonal anti-HDLBP Antikörper (ABIN6141701) detektiert spezifisch HDLBP in WB, IHC und IF. Dieser Antikörper reagiert spezifisch mit Proben aus Human.
Produktnummer ABIN6141701
320,00 €
Zzgl. Versandkosten 20,00 € und MwSt
Lieferung nach: Deutschland
Lieferung in 7 bis 9 Werktagen

Kurzübersicht für HDLBP Antikörper (AA 1035-1268) (ABIN6141701)

Target

Alle HDLBP Antikörper anzeigen
HDLBP (High Density Lipoprotein Binding Protein (HDLBP))

Reaktivität

  • 45
  • 28
  • 21
  • 4
  • 3
  • 3
  • 3
  • 2
  • 2
  • 2
  • 2
  • 1
  • 1
  • 1
  • 1
Human

Wirt

  • 43
  • 2
Kaninchen

Klonalität

  • 30
  • 15
Polyklonal

Konjugat

  • 26
  • 2
  • 2
  • 2
  • 2
  • 2
  • 2
  • 2
  • 1
  • 1
  • 1
  • 1
  • 1
Dieser HDLBP Antikörper ist unkonjugiert

Applikation

  • 37
  • 22
  • 10
  • 5
  • 5
  • 4
  • 4
  • 3
  • 2
  • 1
  • 1
  • 1
  • 1
Western Blotting (WB), Immunohistochemistry (IHC), Immunofluorescence (IF)
  • Bindungsspezifität

    • 5
    • 3
    • 2
    • 2
    • 2
    • 2
    • 1
    • 1
    • 1
    • 1
    • 1
    • 1
    • 1
    AA 1035-1268

    Sequenz

    LERVKELQAE QEDRALRSFK LSVTVDPKYH PKIIGRKGAV ITQIRLEHDV NIQFPDKDDG NQPQDQITIT GYEKNTEAAR DAILRIVGEL EQMVSEDVPL DHRVHARIIG ARGKAIRKIM DEFKVDIRFP QSGAPDPNCV TVTGLPENVE EAIDHILNLE EEYLADVVDS EALQVYMKPP AHEEAKAPSR GFVVRDAPWT ASSSEKAPDM SSSEEFPSFG AQVAPKTLPW GPKR

    Kreuzreaktivität

    Human, Maus, Ratte

    Produktmerkmale

    Polyclonal Antibodies

    Aufreinigung

    Affinity purification

    Immunogen

    Recombinant fusion protein containing a sequence corresponding to amino acids 1035-1268 of human HDLBP (NP_976221.1).

    Isotyp

    IgG
  • Applikationshinweise

    WB,1:500 - 1:2000,IHC,1:50 - 1:100,IF,1:50 - 1:100

    Beschränkungen

    Nur für Forschungszwecke einsetzbar
  • Format

    Liquid

    Buffer

    PBS with 0.02 % sodium azide,50 % glycerol, pH 7.3.

    Konservierungsmittel

    Sodium azide

    Vorsichtsmaßnahmen

    This product contains Sodium azide: a POISONOUS AND HAZARDOUS SUBSTANCE which should be handled by trained staff only.

    Lagerung

    -20 °C

    Informationen zur Lagerung

    Store at -20°C. Avoid freeze / thaw cycles.
  • Target

    HDLBP (High Density Lipoprotein Binding Protein (HDLBP))

    Andere Bezeichnung

    HDLBP

    Hintergrund

    The protein encoded by this gene binds high density lipoprotein (HDL) and may function to regulate excess cholesterol levels in cells. The encoded protein also binds RNA and can induce heterochromatin formation.,HDLBP,HBP,PRO2900,VGL,vigilin,Epigenetics & Nuclear Signaling,RNA Binding,Cancer,Signal Transduction,Endocrine & Metabolism,Lipid Metabolism,Cholesterol Metabolism,Cardiovascular,Heart,Lipids,Cardiovascular diseases,Heart disease,HDLBP

    Molekulargewicht

    137 kDa/141 kDa

    Gen-ID

    3069

    UniProt

    Q00341
Sie sind hier:
Chat with us!