Telefon:
+49 (0)241 95 163 153
Fax:
+49 (0)241 95 163 155
E-Mail:
orders@antikoerper-online.de

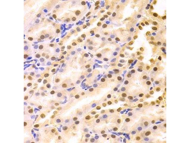
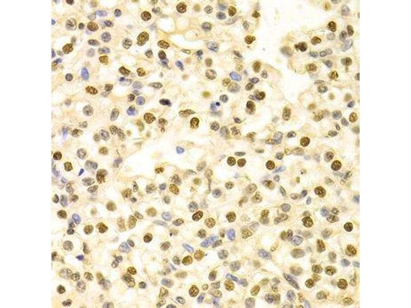
HDGF Antikörper (AA 1-240)

Der Kaninchen Polyklonal anti-HDGF Antikörper (ABIN6141694) detektiert spezifisch HDGF in WB, IHC und IF. Dieser Antikörper reagiert spezifisch mit Proben aus Human.
Produktnummer ABIN6141694
320,00 €
Zzgl. Versandkosten 20,00 € und MwSt
Lieferung nach: Deutschland
Lieferung in 7 bis 9 Werktagen

Kurzübersicht für HDGF Antikörper (AA 1-240) (ABIN6141694)

Target

Alle HDGF Antikörper anzeigen
HDGF (Hepatoma-Derived Growth Factor (HDGF))

Reaktivität

  • 70
  • 24
  • 7
  • 1
  • 1
  • 1
  • 1
  • 1
Human

Wirt

  • 61
  • 11
  • 1
Kaninchen

Klonalität

  • 51
  • 21
  • 1
Polyklonal

Konjugat

  • 38
  • 5
  • 5
  • 3
  • 1
  • 1
  • 1
  • 1
  • 1
  • 1
  • 1
  • 1
  • 1
  • 1
  • 1
  • 1
  • 1
  • 1
  • 1
  • 1
  • 1
  • 1
  • 1
  • 1
  • 1
  • 1
Dieser HDGF Antikörper ist unkonjugiert

Applikation

  • 42
  • 31
  • 24
  • 19
  • 18
  • 17
  • 13
  • 13
  • 12
  • 11
  • 3
  • 3
  • 3
  • 2
  • 2
  • 1
Western Blotting (WB), Immunohistochemistry (IHC), Immunofluorescence (IF)
  • Bindungsspezifität

    • 15
    • 6
    • 5
    • 4
    • 3
    • 2
    • 2
    • 2
    • 2
    • 2
    • 2
    • 1
    • 1
    • 1
    AA 1-240

    Sequenz

    MSRSNRQKEY KCGDLVFAKM KGYPHWPARI DEMPEAAVKS TANKYQVFFF GTHETAFLGP KDLFPYEESK EKFGKPNKRK GFSEGLWEIE NNPTVKASGY QSSQKKSCVE EPEPEPEAAE GDGDKKGNAE GSSDEEGKLV IDEPAKEKNE KGALKRRAGD LLEDSPKRPK EAENPEGEEK EAATLEVERP LPMEVEKNST PSEPGSGRGP PQEEEEEEDE EEEATKEDAE APGIRDHESL

    Kreuzreaktivität

    Human, Maus, Ratte

    Produktmerkmale

    Polyclonal Antibodies

    Aufreinigung

    Affinity purification

    Immunogen

    Recombinant fusion protein containing a sequence corresponding to amino acids 1-240 of human HDGF (NP_004485.1).

    Isotyp

    IgG
  • Applikationshinweise

    WB,1:500 - 1:2000,IHC,1:50 - 1:200,IF,1:50 - 1:200

    Kommentare

    HIGH QUALITY

    Beschränkungen

    Nur für Forschungszwecke einsetzbar
  • Format

    Liquid

    Buffer

    PBS with 0.02 % sodium azide,50 % glycerol, pH 7.3.

    Konservierungsmittel

    Sodium azide

    Vorsichtsmaßnahmen

    This product contains Sodium azide: a POISONOUS AND HAZARDOUS SUBSTANCE which should be handled by trained staff only.

    Lagerung

    -20 °C

    Informationen zur Lagerung

    Store at -20°C. Avoid freeze / thaw cycles.
  • Target

    HDGF (Hepatoma-Derived Growth Factor (HDGF))

    Andere Bezeichnung

    HDGF

    Hintergrund

    This gene encodes a member of the hepatoma-derived growth factor family. The encoded protein has mitogenic and DNA-binding activity and may play a role in cellular proliferation and differentiation. High levels of expression of this gene enhance the growth of many tumors. This gene was thought initially to be located on chromosome X, however, that location has been determined to correspond to a related pseudogene. Alternatively spliced transcript variants encoding distinct isoforms have been described.,HDGF,HMG1L2,Epigenetics & Nuclear Signaling,RNA Binding,Cancer,Tumor biomarkers,Cell Biology & Developmental Biology,Growth factor,HDGF

    Molekulargewicht

    25 kDa/26 kDa/28 kDa

    Gen-ID

    3068

    UniProt

    P51858

    Pathways

    ER-Nucleus Signaling
Sie sind hier:
Chat with us!