Telefon:
+49 (0)241 95 163 153
Fax:
+49 (0)241 95 163 155
E-Mail:
orders@antikoerper-online.de

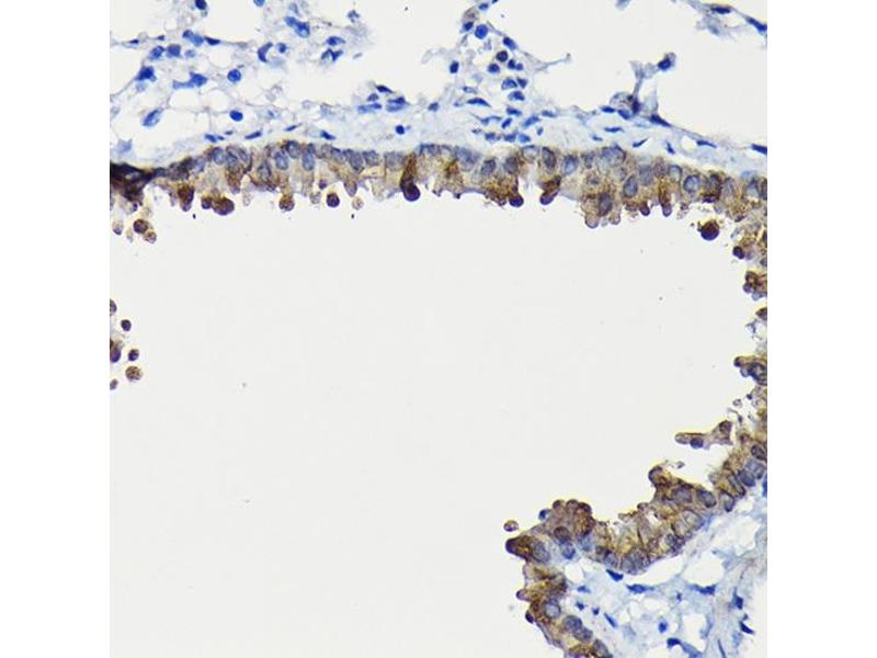
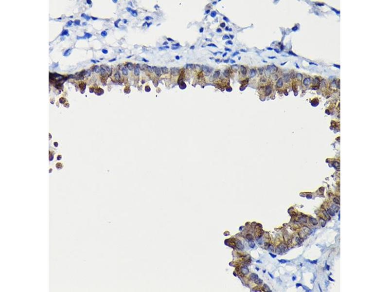
FUCA2 Antikörper (AA 118-467)

Der Kaninchen Polyklonal anti-FUCA2 Antikörper (ABIN6140809) detektiert spezifisch FUCA2 in WB und IHC. Dieser Antikörper reagiert spezifisch mit Proben aus Human.
Produktnummer ABIN6140809
320,00 €
Zzgl. Versandkosten 20,00 € und MwSt
Lieferung nach: Deutschland
Lieferung in 7 bis 9 Werktagen

Kurzübersicht für FUCA2 Antikörper (AA 118-467) (ABIN6140809)

Target

Alle FUCA2 Antikörper anzeigen
FUCA2 (Fucosidase, alpha-L- 2, Plasma (FUCA2))

Reaktivität

  • 54
  • 18
  • 2
  • 1
  • 1
  • 1
  • 1
  • 1
Human

Wirt

  • 42
  • 12
Kaninchen

Klonalität

  • 44
  • 10
Polyklonal

Konjugat

  • 22
  • 5
  • 3
  • 3
  • 2
  • 2
  • 1
  • 1
  • 1
  • 1
  • 1
  • 1
  • 1
  • 1
  • 1
  • 1
  • 1
  • 1
  • 1
  • 1
  • 1
  • 1
  • 1
Dieser FUCA2 Antikörper ist unkonjugiert

Applikation

  • 44
  • 21
  • 13
  • 13
  • 12
  • 6
  • 3
  • 2
  • 2
  • 1
  • 1
Western Blotting (WB), Immunohistochemistry (IHC)
  • Bindungsspezifität

    • 15
    • 5
    • 5
    • 4
    • 3
    • 1
    • 1
    • 1
    • 1
    • 1
    AA 118-467

    Sequenz

    ADIFQASGAK YIVLTSKHHE GFTLWGSEYS WNWNAIDEGP KRDIVKELEV AIRNRTDLRF GLYYSLFEWF HPLFLEDESS SFHKRQFPVS KTLPELYELV NNYQPEVLWS DGDGGAPDQY WNSTGFLAWL YNESPVRGTV VTNDRWGAGS ICKHGGFYTC SDRYNPGHLL PHKWENCMTI DKLSWGYRRE AGISDYLTIE ELVKQLVETV SCGGNLLMNI GPTLDGTISV VFEERLRQMG SWLKVNGEAI YETHTWRSQN DTVTPDVWYT SKPKEKLVYA IFLKWPTSGQ LFLGHPKAIL GATEVKLLGH GQPLNWISLE QNGIMVELPQ LTIHQMPCKW GWALALTNVI

    Kreuzreaktivität

    Human, Maus, Ratte

    Produktmerkmale

    Polyclonal Antibodies

    Aufreinigung

    Affinity purification

    Immunogen

    Recombinant fusion protein containing a sequence corresponding to amino acids 118-467 of human FUCA2 (NP_114409.2).

    Isotyp

    IgG
  • Applikationshinweise

    WB,1:500 - 1:2000,IHC,1:50 - 1:200

    Kommentare

    HIGH QUALITY

    Beschränkungen

    Nur für Forschungszwecke einsetzbar
  • Format

    Liquid

    Buffer

    PBS with 0.02 % sodium azide,50 % glycerol, pH 7.3.

    Konservierungsmittel

    Sodium azide

    Vorsichtsmaßnahmen

    This product contains Sodium azide: a POISONOUS AND HAZARDOUS SUBSTANCE which should be handled by trained staff only.

    Lagerung

    -20 °C

    Informationen zur Lagerung

    Store at -20°C. Avoid freeze / thaw cycles.
  • Target

    FUCA2 (Fucosidase, alpha-L- 2, Plasma (FUCA2))

    Andere Bezeichnung

    FUCA2

    Hintergrund

    This gene encodes a plasma alpha-L-fucosidase, which represents 10-20 % of the total cellular fucosidase activity. The protein is a member of the glycosyl hydrolase 29 family, and catalyzes the hydrolysis of the alpha-1,6-linked fucose joined to the reducing-end N-acetylglucosamine of the carbohydrate moieties of glycoproteins. This enzyme is essential for Helicobacter pylori adhesion to human gastric cancer cells.,FUCA2,dJ20N2.5,Signal Transduction,Endocrine & Metabolism,FUCA2

    Molekulargewicht

    19 kDa/54 kDa

    Gen-ID

    2519

    UniProt

    Q9BTY2
Sie sind hier:
Chat with us!