Telefon:
+49 (0)241 95 163 153
Fax:
+49 (0)241 95 163 155
E-Mail:
orders@antikoerper-online.de

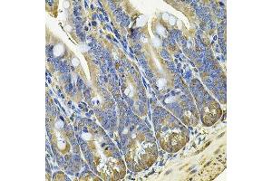
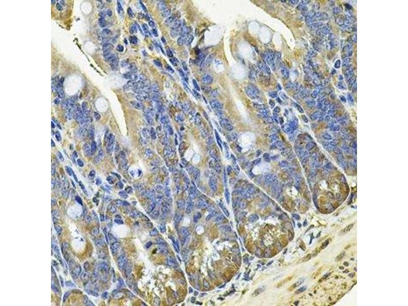
EIF3C Antikörper (AA 694-913)

Der Kaninchen Polyklonal anti-EIF3C Antikörper wird verwendet zum Nachweis von EIF3C in Proben von Human. Er wurde validiert für WB, IHC und IF.
Produktnummer ABIN6140055
320,00 €
Zzgl. Versandkosten 20,00 € und MwSt
Lieferung nach: Deutschland
Lieferung in 7 bis 9 Werktagen

Kurzübersicht für EIF3C Antikörper (AA 694-913) (ABIN6140055)

Target

Alle EIF3C Antikörper anzeigen
EIF3C (Eukaryotic Translation Initiation Factor 3 Subunit C (EIF3C))

Reaktivität

  • 35
  • 26
  • 15
  • 3
  • 3
  • 3
  • 3
  • 3
  • 1
Human

Wirt

  • 42
  • 1
Kaninchen

Klonalität

  • 43
Polyklonal

Konjugat

  • 22
  • 4
  • 4
  • 3
  • 2
  • 2
  • 1
  • 1
  • 1
  • 1
  • 1
  • 1
Dieser EIF3C Antikörper ist unkonjugiert

Applikation

  • 30
  • 21
  • 13
  • 8
  • 4
  • 2
  • 2
  • 2
Western Blotting (WB), Immunohistochemistry (IHC), Immunofluorescence (IF)
  • Bindungsspezifität

    • 9
    • 7
    • 5
    • 2
    • 2
    • 2
    • 2
    • 1
    • 1
    • 1
    • 1
    • 1
    • 1
    • 1
    AA 694-913

    Sequenz

    EIPYMAAHES DARRRMISKQ FHHQLRVGER QPLLGPPESM REHVVAASKA MKMGDWKTCH SFIINEKMNG KVWDLFPEAD KVRTMLVRKI QEESLRTYLF TYSSVYDSIS METLSDMFEL DLPTVHSIIS KMIINEELMA SLDQPTQTVV MHRTEPTAQQ NLALQLAEKL GSLVENNERV FDHKQGTYGG YFRDQKDGYR KNEGYMRRGG YRQQQSQTAY

    Kreuzreaktivität

    Human, Maus, Ratte

    Produktmerkmale

    Polyclonal Antibodies

    Aufreinigung

    Affinity purification

    Immunogen

    Recombinant fusion protein containing a sequence corresponding to amino acids 694-913 of human EIF3C (NP_003743.1).

    Isotyp

    IgG
  • Applikationshinweise

    WB,1:500 - 1:2000,IHC,1:50 - 1:200,IF,1:50 - 1:100

    Kommentare

    HIGH QUALITY

    Beschränkungen

    Nur für Forschungszwecke einsetzbar
  • Format

    Liquid

    Buffer

    PBS with 0.02 % sodium azide,50 % glycerol, pH 7.3.

    Konservierungsmittel

    Sodium azide

    Vorsichtsmaßnahmen

    This product contains Sodium azide: a POISONOUS AND HAZARDOUS SUBSTANCE which should be handled by trained staff only.

    Lagerung

    -20 °C

    Informationen zur Lagerung

    Store at -20°C. Avoid freeze / thaw cycles.
  • Target

    EIF3C (Eukaryotic Translation Initiation Factor 3 Subunit C (EIF3C))

    Andere Bezeichnung

    EIF3C

    Hintergrund

    Component of the eukaryotic translation initiation factor 3 (eIF-3 complex, which is required for several steps in the initiation of protein synthesis. The eIF-3 complex associates with the 40S ribosome and facilitates the recruitment of eIF-1, eIF-1A, eIF-2:GTP:methionyl-tRNAi and eIF-5 to form the 43S pre-initiation complex (43S PIC. The eIF-3 complex stimulates mRNA recruitment to the 43S PIC and scanning of the mRNA for AUG recognition. The eIF-3 complex is also required for disassembly and recycling of post-termination ribosomal complexes and subsequently prevents premature joining of the 40S and 60S ribosomal subunits prior to initiation. The eIF-3 complex specifically targets and initiates translation of a subset of mRNAs involved in cell proliferation, including cell cycling, differentiation and apoptosis, and uses different modes of RNA stem-loop binding to exert either translational activation or repression.,EIF3C,EIF3CL,EIF3S8,eIF3-p110,Epigenetics & Nuclear Signaling,RNA Binding,Translation Control,EIF3C

    Molekulargewicht

    104 kDa/105 kDa

    Gen-ID

    8663

    UniProt

    Q99613

    Pathways

    Ribonucleoprotein Complex Subunit Organization
Sie sind hier:
Chat with us!