Telefon:
+49 (0)241 95 163 153
Fax:
+49 (0)241 95 163 155
E-Mail:
orders@antikoerper-online.de

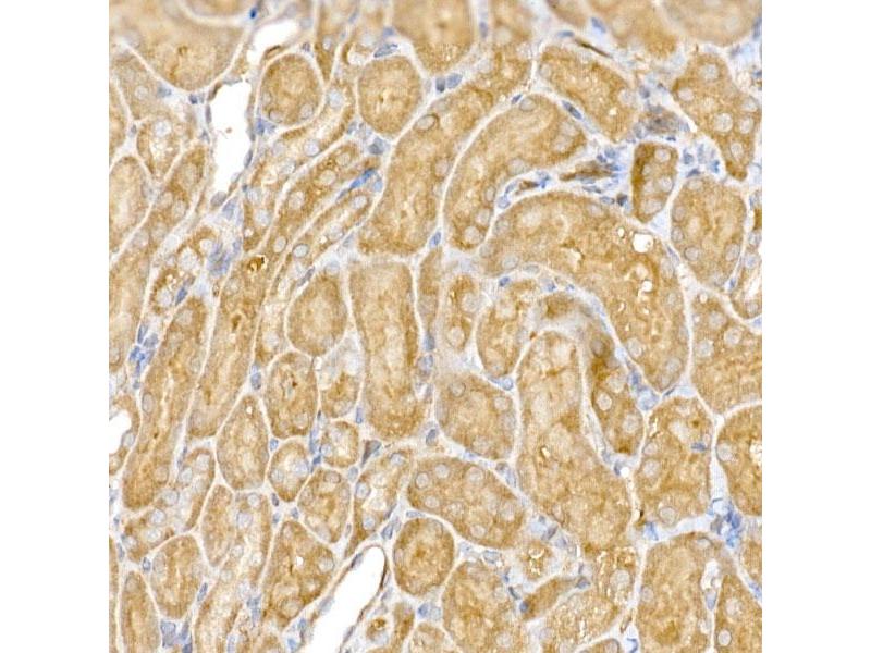
CLIC4 Antikörper (AA 1-253)

Dieser Kaninchen Polyklonal Antikörper detektiert spezifisch CLIC4 in WB, IHC und IF. Es zeigt Reaktivität gegenüber Proben von Human.
Produktnummer ABIN6138723
320,00 €
Zzgl. Versandkosten 20,00 € und MwSt
Lieferung nach: Deutschland
Lieferung in 7 bis 9 Werktagen

Kurzübersicht für CLIC4 Antikörper (AA 1-253) (ABIN6138723)

Target

Alle CLIC4 Antikörper anzeigen
CLIC4 (Chloride Intracellular Channel 4 (CLIC4))

Reaktivität

  • 60
  • 35
  • 26
  • 2
  • 1
  • 1
  • 1
  • 1
Human

Wirt

  • 66
  • 2
  • 1
Kaninchen

Klonalität

  • 55
  • 14
Polyklonal

Konjugat

  • 32
  • 10
  • 2
  • 2
  • 2
  • 2
  • 2
  • 2
  • 1
  • 1
  • 1
  • 1
  • 1
  • 1
  • 1
  • 1
  • 1
  • 1
  • 1
  • 1
  • 1
  • 1
  • 1
Dieser CLIC4 Antikörper ist unkonjugiert

Applikation

  • 46
  • 32
  • 19
  • 15
  • 14
  • 13
  • 13
  • 9
  • 9
  • 5
  • 3
  • 3
  • 1
  • 1
Western Blotting (WB), Immunohistochemistry (IHC), Immunofluorescence (IF)
  • Bindungsspezifität

    • 15
    • 6
    • 6
    • 2
    • 1
    • 1
    • 1
    • 1
    • 1
    • 1
    • 1
    AA 1-253

    Sequenz

    MALSMPLNGL KEEDKEPLIE LFVKAGSDGE SIGNCPFSQR LFMILWLKGV VFSVTTVDLK RKPADLQNLA PGTHPPFITF NSEVKTDVNK IEEFLEEVLC PPKYLKLSPK HPESNTAGMD IFAKFSAYIK NSRPEANEAL ERGLLKTLQK LDEYLNSPLP DEIDENSMED IKFSTRKFLD GNEMTLADCN LLPKLHIVKV VAKKYRNFDI PKEMTGIWRY LTNAYSRDEF TNTCPSDKEV EIAYSDVAKR LTK

    Kreuzreaktivität

    Human, Maus, Ratte

    Produktmerkmale

    Polyclonal Antibodies

    Aufreinigung

    Affinity purification

    Immunogen

    Recombinant fusion protein containing a sequence corresponding to amino acids 1-253 of human CLIC4 (NP_039234.1).

    Isotyp

    IgG
  • Applikationshinweise

    WB,1:500 - 1:2000,IHC,1:50 - 1:200,IF,1:50 - 1:100

    Kommentare

    HIGH QUALITY

    Beschränkungen

    Nur für Forschungszwecke einsetzbar
  • Format

    Liquid

    Buffer

    PBS with 0.02 % sodium azide,50 % glycerol, pH 7.3.

    Konservierungsmittel

    Sodium azide

    Vorsichtsmaßnahmen

    This product contains Sodium azide: a POISONOUS AND HAZARDOUS SUBSTANCE which should be handled by trained staff only.

    Lagerung

    -20 °C

    Informationen zur Lagerung

    Store at -20°C. Avoid freeze / thaw cycles.
  • Target

    CLIC4 (Chloride Intracellular Channel 4 (CLIC4))

    Andere Bezeichnung

    CLIC4

    Hintergrund

    Chloride channels are a diverse group of proteins that regulate fundamental cellular processes including stabilization of cell membrane potential, transepithelial transport, maintenance of intracellular pH , and regulation of cell volume. Chloride intracellular channel 4 (CLIC4) protein, encoded by the CLIC4 gene, is a member of the p64 family, the gene is expressed in many tissues and exhibits a intracellular vesicular pattern in Panc-1 cells (pancreatic cancer cells).,CLIC4,CLIC4L,H1,MTCLIC,huH1,p64H1,Epigenetics & Nuclear Signaling,Cancer,Signal Transduction,Cell Biology & Developmental Biology,Apoptosis,Cell Cycle,Endocrine & Metabolism,Mitochondrial metabolism,Mitochondrial markers,CLIC4

    Molekulargewicht

    28 kDa

    Gen-ID

    25932

    UniProt

    Q9Y696
Sie sind hier:
Chat with us!