Telefon:
+49 (0)241 95 163 153
Fax:
+49 (0)241 95 163 155
E-Mail:
orders@antikoerper-online.de

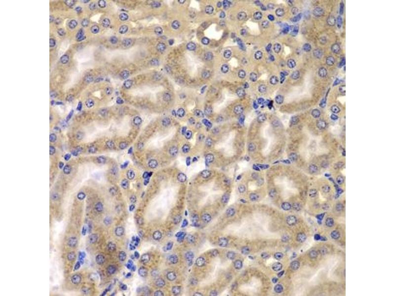
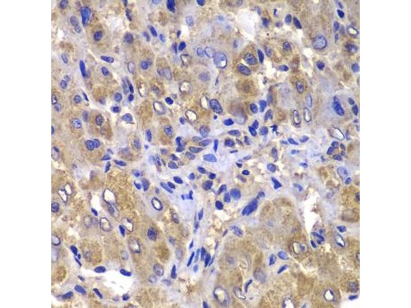
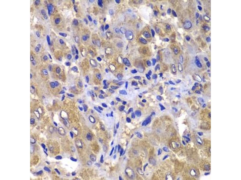
CARD10 Antikörper (AA 863-1032)

Der Kaninchen Polyklonal anti-CARD10 Antikörper wird verwendet zum Nachweis von CARD10 in Proben von Human. Er wurde validiert für WB, IHC und IF.
Produktnummer ABIN6137937
320,00 €
Zzgl. Versandkosten 20,00 € und MwSt
Lieferung nach: Deutschland
Lieferung in 7 bis 9 Werktagen

Kurzübersicht für CARD10 Antikörper (AA 863-1032) (ABIN6137937)

Target

Alle CARD10 Antikörper anzeigen
CARD10 (Caspase Recruitment Domain Family, Member 10 (CARD10))

Reaktivität

  • 33
  • 9
  • 2
  • 2
  • 2
  • 2
  • 1
  • 1
  • 1
  • 1
Human

Wirt

  • 33
  • 1
Kaninchen

Klonalität

  • 33
  • 1
Polyklonal

Konjugat

  • 22
  • 2
  • 1
  • 1
  • 1
  • 1
  • 1
  • 1
  • 1
  • 1
  • 1
  • 1
Dieser CARD10 Antikörper ist unkonjugiert

Applikation

  • 21
  • 17
  • 9
  • 8
  • 6
  • 3
  • 2
  • 1
  • 1
  • 1
Western Blotting (WB), Immunohistochemistry (IHC), Immunofluorescence (IF)
  • Bindungsspezifität

    • 7
    • 3
    • 3
    • 2
    • 2
    • 2
    • 1
    • 1
    • 1
    • 1
    • 1
    • 1
    AA 863-1032

    Sequenz

    LLDLPSSRLD FQVCPAESLS GEELCPSSAP GAPKAQPATP GLGSRIRAIQ ESVGKKHCLL ELGARGVREL VQNEIYPIVI HVEVTEKNVR EVRGLLGRPG WRDSELLRQC RGSEQVLWGL PCSWVQVPAH EWGHAEELAK VVRGRILQEQ ARLVWVECGS SRGCPSSSEA

    Kreuzreaktivität

    Human, Maus, Ratte

    Produktmerkmale

    Polyclonal Antibodies

    Aufreinigung

    Affinity purification

    Immunogen

    Recombinant fusion protein containing a sequence corresponding to amino acids 863-1032 of human CARD10 (NP_055365.2).

    Isotyp

    IgG
  • Applikationshinweise

    WB,1:500 - 1:2000,IHC,1:50 - 1:200,IF,1:50 - 1:200

    Beschränkungen

    Nur für Forschungszwecke einsetzbar
  • Format

    Liquid

    Buffer

    PBS with 0.02 % sodium azide,50 % glycerol, pH 7.3.

    Konservierungsmittel

    Sodium azide

    Vorsichtsmaßnahmen

    This product contains Sodium azide: a POISONOUS AND HAZARDOUS SUBSTANCE which should be handled by trained staff only.

    Lagerung

    -20 °C

    Informationen zur Lagerung

    Store at -20°C. Avoid freeze / thaw cycles.
  • Target

    CARD10 (Caspase Recruitment Domain Family, Member 10 (CARD10))

    Andere Bezeichnung

    CARD10

    Hintergrund

    The caspase recruitment domain (CARD) is a protein module that consists of 6 or 7 antiparallel alpha helices. It participates in apoptosis signaling through highly specific protein-protein homophilic interactions. Like several other CARD proteins, CARD10 belongs to the membrane-associated guanylate kinase (MAGUK) family and activates NF-kappa-B (NFKB, see MIM 164011) through BCL10 (MIM 603517) (Wang et al., 2001 [PubMed 11259443]).[supplied by OMIM, Mar 2008],CARD10,BIMP1,CARMA3,Cell Biology & Developmental Biology,Apoptosis,Caspases,CARD10

    Molekulargewicht

    82 kDa/115 kDa

    Gen-ID

    29775

    UniProt

    Q9BWT7

    Pathways

    S100 Proteine
Sie sind hier:
Chat with us!