Telefon:
+49 (0)241 95 163 153
Fax:
+49 (0)241 95 163 155
E-Mail:
orders@antikoerper-online.de

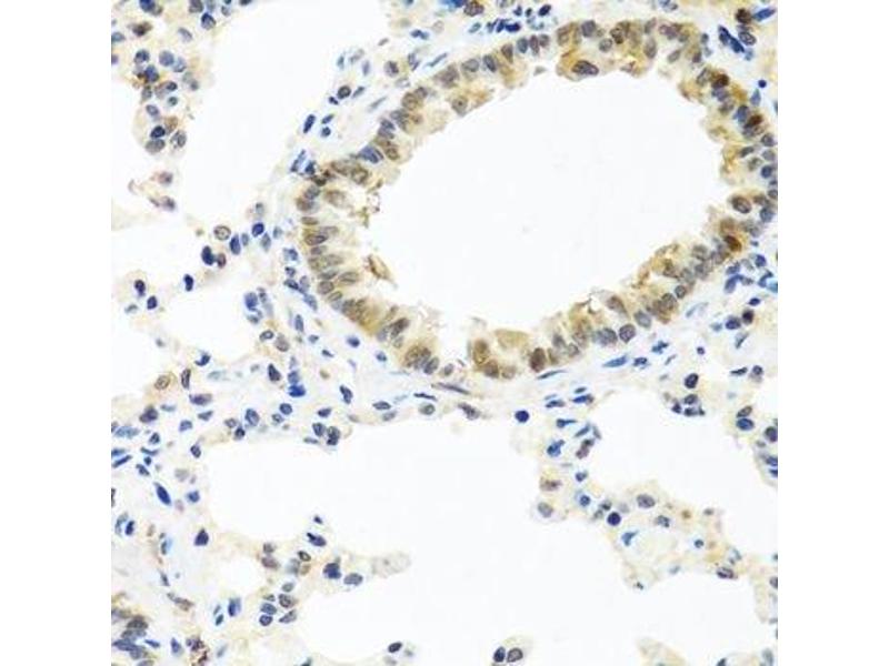
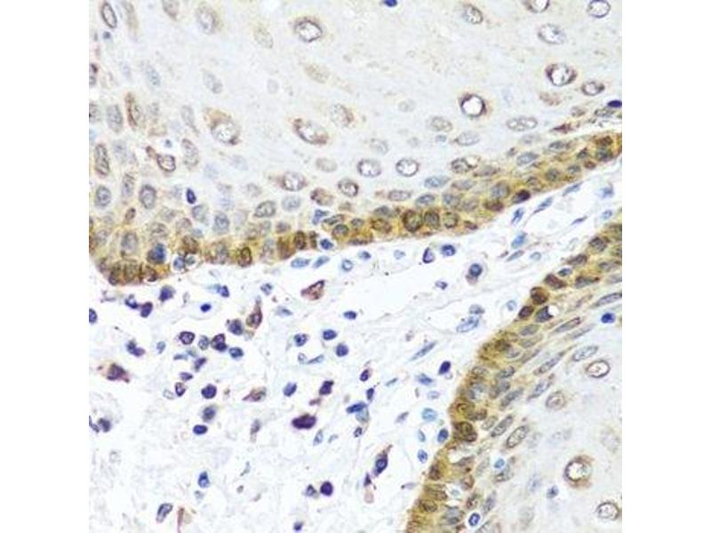
BMP5 Antikörper (AA 317-454)

Der Kaninchen Polyklonal anti-BMP5 Antikörper (ABIN6137604) detektiert spezifisch BMP5 in WB und IHC. Dieser Antikörper reagiert spezifisch mit Proben aus Human.
Produktnummer ABIN6137604
320,00 €
Zzgl. Versandkosten 20,00 € und MwSt
Lieferung nach: Deutschland
Lieferung in 7 bis 9 Werktagen

Kurzübersicht für BMP5 Antikörper (AA 317-454) (ABIN6137604)

Target

Alle BMP5 Antikörper anzeigen
BMP5 (Bone Morphogenetic Protein 5 (BMP5))

Reaktivität

  • 63
  • 23
  • 5
  • 1
  • 1
  • 1
  • 1
  • 1
  • 1
  • 1
  • 1
Human

Wirt

  • 61
  • 10
  • 1
Kaninchen

Klonalität

  • 63
  • 9
Polyklonal

Konjugat

  • 34
  • 10
  • 4
  • 2
  • 2
  • 2
  • 1
  • 1
  • 1
  • 1
  • 1
  • 1
  • 1
  • 1
  • 1
  • 1
  • 1
  • 1
  • 1
  • 1
  • 1
  • 1
  • 1
  • 1
Dieser BMP5 Antikörper ist unkonjugiert

Applikation

  • 55
  • 26
  • 25
  • 13
  • 13
  • 10
  • 6
  • 6
  • 5
  • 4
  • 3
  • 3
  • 3
  • 2
  • 1
Western Blotting (WB), Immunohistochemistry (IHC)
  • Bindungsspezifität

    • 15
    • 9
    • 8
    • 4
    • 3
    • 3
    • 2
    • 2
    • 2
    • 2
    • 2
    • 1
    • 1
    • 1
    • 1
    • 1
    • 1
    • 1
    AA 317-454

    Sequenz

    AANKRKNQNR NKSSSHQDSS RMSSVGDYNT SEQKQACKKH ELYVSFRDLG WQDWIIAPEG YAAFYCDGEC SFPLNAHMNA TNHAIVQTLV HLMFPDHVPK PCCAPTKLNA ISVLYFDDSS NVILKKYRNM VVRSCGCH

    Kreuzreaktivität

    Human, Maus, Ratte

    Produktmerkmale

    Polyclonal Antibodies

    Aufreinigung

    Affinity purification

    Immunogen

    Recombinant fusion protein containing a sequence corresponding to amino acids 317-454 of human BMP5 (NP_066551.1).

    Isotyp

    IgG
  • Applikationshinweise

    WB,1:500 - 1:2000,IHC,1:50 - 1:100

    Kommentare

    HIGH QUALITY

    Beschränkungen

    Nur für Forschungszwecke einsetzbar
  • Format

    Liquid

    Buffer

    PBS with 0.02 % sodium azide,50 % glycerol, pH 7.3.

    Konservierungsmittel

    Sodium azide

    Vorsichtsmaßnahmen

    This product contains Sodium azide: a POISONOUS AND HAZARDOUS SUBSTANCE which should be handled by trained staff only.

    Lagerung

    -20 °C

    Informationen zur Lagerung

    Store at -20°C. Avoid freeze / thaw cycles.
  • Target

    BMP5 (Bone Morphogenetic Protein 5 (BMP5))

    Andere Bezeichnung

    BMP5

    Hintergrund

    This gene encodes a member of the bone morphogenetic protein family which is part of the transforming growth factor-beta superfamily. The superfamily includes large families of growth and differentiation factors. Bone morphogenetic proteins were originally identified by an ability of demineralized bone extract to induce endochondral osteogenesis in vivo in an extraskeletal site. These proteins are synthesized as prepropeptides, cleaved, and then processed into dimeric proteins. This protein may act as an important signaling molecule within the trabecular meshwork and optic nerve head, and may play a potential role in glaucoma pathogenesis. This gene is differentially regulated during the formation of various tumors.,BMP5,Signal Transduction,Cell Biology & Developmental Biology,Cytoskeleton,Extracellular Matrix,Collagen,Bone,Growth factor,Wnt/β-Catenin Signaling Pathway,Immunology & Inflammation,Cytokines,NF-kB Signaling Pathway,Stem Cells,Cardiovascular,Angiogenesis,BMP5

    Molekulargewicht

    47 kDa/51 kDa

    Gen-ID

    653

    UniProt

    P22003

    Pathways

    Regulation of Hormone Metabolic Process, Regulation of Hormone Biosynthetic Process
Sie sind hier:
Chat with us!