Telefon:
+49 (0)241 95 163 153
Fax:
+49 (0)241 95 163 155
E-Mail:
orders@antikoerper-online.de

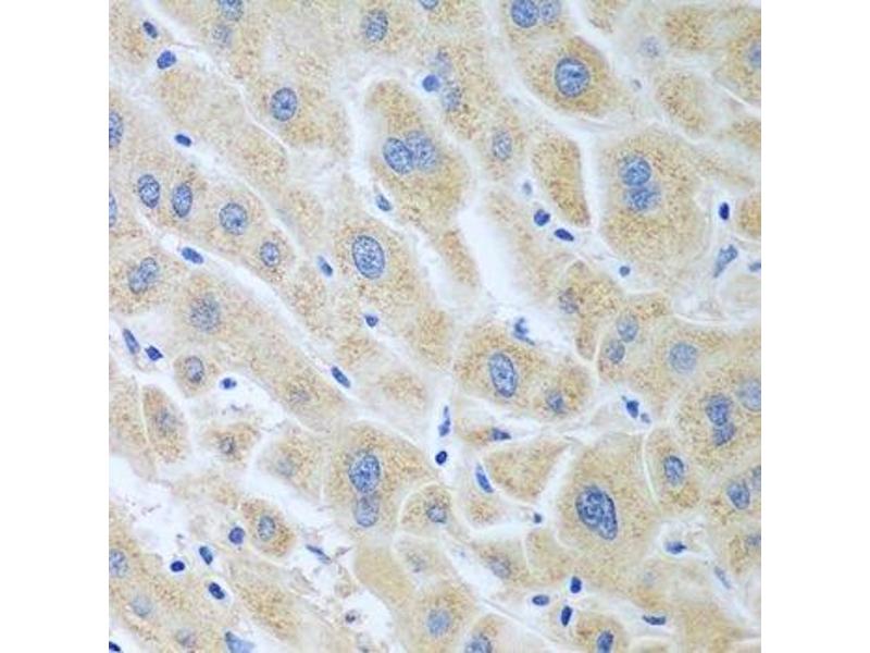
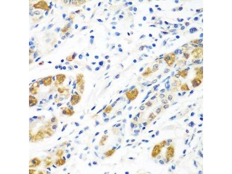
BLVRB Antikörper (AA 1-206)

Der Kaninchen Polyklonal anti-BLVRB Antikörper (ABIN6137582) detektiert spezifisch BLVRB in WB und IHC. Dieser Antikörper reagiert spezifisch mit Proben aus Human.
Produktnummer ABIN6137582
320,00 €
Zzgl. Versandkosten 20,00 € und MwSt
Lieferung nach: Deutschland
Lieferung in 7 bis 9 Werktagen

Kurzübersicht für BLVRB Antikörper (AA 1-206) (ABIN6137582)

Target

Alle BLVRB Antikörper anzeigen
BLVRB (Flavin Reductase (BLVRB))

Reaktivität

  • 39
  • 18
  • 8
  • 4
  • 2
  • 2
  • 2
  • 2
  • 1
  • 1
Human

Wirt

  • 35
  • 5
  • 2
  • 2
Kaninchen

Klonalität

  • 40
  • 4
Polyklonal

Konjugat

  • 26
  • 4
  • 3
  • 3
  • 1
  • 1
  • 1
  • 1
  • 1
  • 1
  • 1
  • 1
Dieser BLVRB Antikörper ist unkonjugiert

Applikation

  • 29
  • 21
  • 7
  • 3
  • 3
  • 2
  • 1
  • 1
Western Blotting (WB), Immunohistochemistry (IHC)
  • Bindungsspezifität

    • 7
    • 7
    • 4
    • 4
    • 2
    • 2
    • 1
    • 1
    • 1
    • 1
    • 1
    AA 1-206

    Sequenz

    MAVKKIAIFG ATGQTGLTTL AQAVQAGYEV TVLVRDSSRL PSEGPRPAHV VVGDVLQAAD VDKTVAGQDA VIVLLGTRND LSPTTVMSEG ARNIVAAMKA HGVDKVVACT SAFLLWDPTK VPPRLQAVTD DHIRMHKVLR ESGLKYVAVM PPHIGDQPLT GAYTVTLDGR GPSRVISKHD LGHFMLRCLT TDEYDGHSTY PSHQYQ

    Kreuzreaktivität

    Human, Maus, Ratte

    Produktmerkmale

    Polyclonal Antibodies

    Aufreinigung

    Affinity purification

    Immunogen

    Recombinant fusion protein containing a sequence corresponding to amino acids 1-206 of human BLVRB (NP_000704.1).

    Isotyp

    IgG
  • Applikationshinweise

    WB,1:500 - 1:2000,IHC,1:50 - 1:100

    Kommentare

    HIGH QUALITY

    Beschränkungen

    Nur für Forschungszwecke einsetzbar
  • Format

    Liquid

    Buffer

    PBS with 0.02 % sodium azide,50 % glycerol, pH 7.3.

    Konservierungsmittel

    Sodium azide

    Vorsichtsmaßnahmen

    This product contains Sodium azide: a POISONOUS AND HAZARDOUS SUBSTANCE which should be handled by trained staff only.

    Lagerung

    -20 °C

    Informationen zur Lagerung

    Store at -20°C. Avoid freeze / thaw cycles.
  • Target

    BLVRB (Flavin Reductase (BLVRB))

    Andere Bezeichnung

    BLVRB

    Hintergrund

    The final step in heme metabolism in mammals is catalyzed by the cytosolic biliverdin reductase enzymes A and B (EC 1.3.1.24).[supplied by OMIM, Jul 2009],BLVRB,BVRB,FLR,HEL-S-10,SDR43U1,Signal Transduction,Endocrine & Metabolism,BLVRB

    Molekulargewicht

    22 kDa

    Gen-ID

    645

    UniProt

    P30043
Sie sind hier:
Chat with us!