Telefon:
+49 (0)241 95 163 153
Fax:
+49 (0)241 95 163 155
E-Mail:
orders@antikoerper-online.de

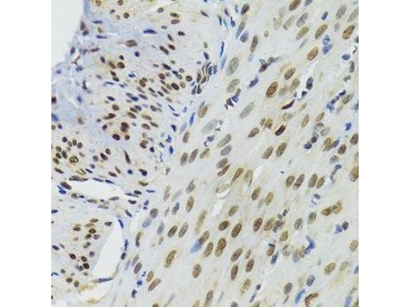
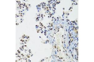
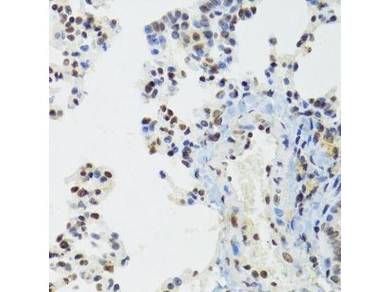
BAZ1B Antikörper (AA 1-260)

Dieser Kaninchen Polyklonal Antikörper detektiert spezifisch BAZ1B in WB und IHC. Es zeigt Reaktivität gegenüber Proben von Human.
Produktnummer ABIN6137461
385,00 €
Zzgl. Versandkosten 20,00 € und MwSt
Lieferung nach: Deutschland
Lieferung in 7 bis 9 Werktagen

Kurzübersicht für BAZ1B Antikörper (AA 1-260) (ABIN6137461)

Target

Alle BAZ1B Antikörper anzeigen
BAZ1B (Bromodomain Adjacent To Zinc Finger Domain, 1B (BAZ1B))

Reaktivität

  • 65
  • 24
  • 24
  • 3
  • 2
  • 2
  • 2
  • 2
  • 1
Human

Wirt

  • 60
  • 5
Kaninchen

Klonalität

  • 41
  • 24
Polyklonal

Konjugat

  • 24
  • 4
  • 3
  • 3
  • 3
  • 3
  • 3
  • 3
  • 2
  • 2
  • 1
  • 1
  • 1
  • 1
  • 1
  • 1
  • 1
  • 1
  • 1
  • 1
  • 1
  • 1
  • 1
  • 1
  • 1
Dieser BAZ1B Antikörper ist unkonjugiert

Applikation

  • 33
  • 16
  • 14
  • 14
  • 13
  • 12
  • 12
  • 7
  • 5
  • 3
  • 3
  • 2
  • 1
  • 1
Western Blotting (WB), Immunohistochemistry (IHC)
  • Bindungsspezifität

    • 15
    • 9
    • 4
    • 2
    • 2
    • 2
    • 1
    • 1
    AA 1-260

    Sequenz

    MAPLLGRKPF PLVKPLPGEE PLFTIPHTQE AFRTREEYEA RLERYSERIW TCKSTGSSQL THKEAWEEEQ EVAELLKEEF PAWYEKLVLE MVHHNTASLE KLVDTAWLEI MTKYAVGEEC DFEVGKEKML KVKIVKIHPL EKVDEEATEK KSDGACDSPS SDKENSSQIA QDHQKKETVV KEDEGRRESI NDRARRSPRK LPTSLKKGER KWAPPKFLPH KYDVKLQNED KIISNVPADS LIRTERPPNK EIVRYFIRHN

    Kreuzreaktivität

    Human, Maus, Ratte

    Produktmerkmale

    Polyclonal Antibodies

    Aufreinigung

    Affinity purification

    Immunogen

    Recombinant fusion protein containing a sequence corresponding to amino acids 1-260 of human WSTF (NP_115784.1).

    Isotyp

    IgG
  • Applikationshinweise

    WB,1:500 - 1:2000,IHC,1:50 - 1:200

    Kommentare

    HIGH QUALITY

    Beschränkungen

    Nur für Forschungszwecke einsetzbar
  • Format

    Liquid

    Buffer

    PBS with 0.02 % sodium azide,50 % glycerol, pH 7.3.

    Konservierungsmittel

    Sodium azide

    Vorsichtsmaßnahmen

    This product contains Sodium azide: a POISONOUS AND HAZARDOUS SUBSTANCE which should be handled by trained staff only.

    Lagerung

    -20 °C

    Informationen zur Lagerung

    Store at -20°C. Avoid freeze / thaw cycles.
  • Target

    BAZ1B (Bromodomain Adjacent To Zinc Finger Domain, 1B (BAZ1B))

    Andere Bezeichnung

    BAZ1B

    Hintergrund

    This gene encodes a member of the bromodomain protein family. The bromodomain is a structural motif characteristic of proteins involved in chromatin-dependent regulation of transcription. This gene is deleted in Williams-Beuren syndrome, a developmental disorder caused by deletion of multiple genes at 7q11.23.,BAZ1B,WBSCR10,WBSCR9,WSTF,Epigenetics & Nuclear Signaling,Chromatin Modifying Enzymes,Phosphorylation,Chromatin Remodeling,Signal Transduction,Kinase,BAZ1B

    Molekulargewicht

    170 kDa

    Gen-ID

    9031

    UniProt

    Q9UIG0

    Pathways

    Nuclear Hormone Receptor Binding, Chromatin Binding
Sie sind hier:
Chat with us!