SKA3 Antikörper (C-Term)
Kurzübersicht für SKA3 Antikörper (C-Term) (ABIN605122)
Target
Alle SKA3 Antikörper anzeigenReaktivität
Wirt
Klonalität
Konjugat
Applikation
-
-
Bindungsspezifität
- C-Term
-
Aufreinigung
- Immunoaffinity purified
-
Isotyp
- IgG
-
-
-
-
Applikationshinweise
-
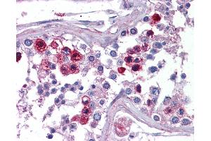
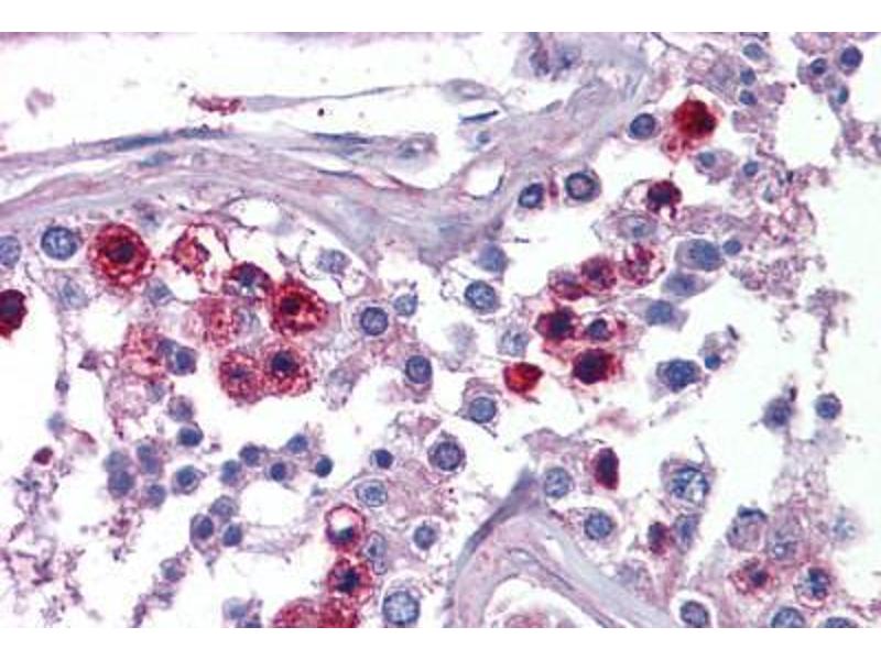
Approved: ELISA, IHC, IHC-P (5 μg/mL), WB (0.5 - 1 μg/mL)
Usage: SKA3 antibody can be used for detection of SKA3 by Western blot at 0.5-1 μg/mL. -
Kommentare
-
Target Species of Antibody: Human
-
Beschränkungen
- Nur für Forschungszwecke einsetzbar
-
-
-
Format
- Liquid
-
Konzentration
- Lot specific
-
Buffer
- PBS, 0.02 % sodium azide
-
Konservierungsmittel
- Sodium azide
-
Vorsichtsmaßnahmen
- This product contains Sodium azide: a POISONOUS AND HAZARDOUS SUBSTANCE which should be handled by trained staff only.
-
Handhabung
- avoid freeze thaw cycles. Store undiluted.
-
Lagerung
- 4 °C,-20 °C
-
Informationen zur Lagerung
- Store at 4°C for 3 months and -20°C, stable for up to 1 year. Avoid repeated freeze-thaw cycles.
-
Haltbarkeit
- 12 months
-
-
- SKA3 (Spindle and Kinetochore Associated Complex Subunit 3 (SKA3))
-
Andere Bezeichnung
- RAMA1 / SKA3
-
Hintergrund
-
Name/Gene ID: SKA3
Synonyms: SKA3, C13orf3, RAMA1 -
Gen-ID
- 221150
-
UniProt
- Q8IX90
Target
-