Telefon:
+49 (0)241 95 163 153
Fax:
+49 (0)241 95 163 155
E-Mail:
orders@antikoerper-online.de

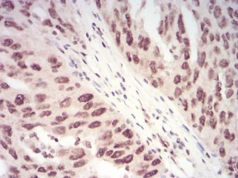
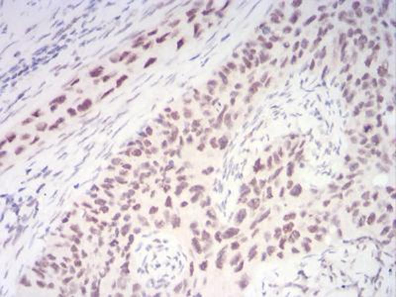
CBX1 Antikörper (AA 1-185)

Der Maus Monoklonal anti-CBX1 Antikörper wird verwendet zum Nachweis von CBX1 in Proben von Human.
Produktnummer ABIN5890956
620,49 €
Zzgl. Versandkosten 20,00 € und MwSt
100 μL
Lieferung nach: Deutschland
Lieferung in 7 bis 13 Werktagen

Kurzübersicht für CBX1 Antikörper (AA 1-185) (ABIN5890956)

Target

Alle CBX1 Antikörper anzeigen
CBX1 (Chromobox Homolog 1 (CBX1))

Reaktivität

  • 49
  • 20
  • 17
  • 7
  • 7
  • 6
  • 5
  • 5
  • 4
  • 3
  • 3
  • 2
  • 2
  • 1
  • 1
Human

Wirt

  • 36
  • 10
  • 2
  • 1
Maus

Klonalität

  • 35
  • 13
  • 1
Monoklonal

Konjugat

  • 36
  • 2
  • 1
  • 1
  • 1
  • 1
  • 1
  • 1
  • 1
  • 1
  • 1
  • 1
  • 1
Dieser CBX1 Antikörper ist unkonjugiert

Applikation

Bitte anfragen
  • Bindungsspezifität

    • 8
    • 7
    • 2
    • 2
    • 2
    • 2
    • 1
    • 1
    • 1
    • 1
    • 1
    • 1
    • 1
    • 1
    • 1
    AA 1-185

    Produktmerkmale

    Isotype: Mouse IgG1

    Immunogen

    Purified recombinant fragment of human CBX1 (AA: 1-185) expressed in E. Coli.

    Isotyp

    IgG1
  • Beschränkungen

    Nur für Forschungszwecke einsetzbar
  • Format

    Liquid

    Buffer

    Purified antibody in PBS with 0.05 % sodium azide.

    Konservierungsmittel

    Sodium azide

    Vorsichtsmaßnahmen

    This product contains Sodium azide: a POISONOUS AND HAZARDOUS SUBSTANCE which should be handled by trained staff only.

    Lagerung

    -20 °C

    Informationen zur Lagerung

    Aliquot and store at -20 °C. Avoid repeated freeze/thaw cycles.
  • Target

    CBX1 (Chromobox Homolog 1 (CBX1))

    Andere Bezeichnung

    CBX1

    Molekulargewicht

    21.4 kDa

    Gen-ID

    10951

    UniProt

    P83916
Sie sind hier:
Chat with us!