Telefon:
+49 (0)241 95 163 153
Fax:
+49 (0)241 95 163 155
E-Mail:
orders@antikoerper-online.de

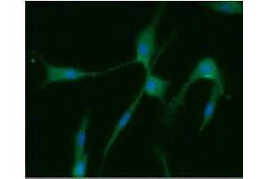
HOMER1 Antikörper (AA 1-354)

Der Maus Monoklonal anti-HOMER1 Antikörper (Klon AT1F3) (ABIN5776220) detektiert spezifisch HOMER1 in WB, ELISA, ICC und IF. Dieser Antikörper reagiert spezifisch mit Proben aus Human.
Produktnummer ABIN5776220
642,31 €
Zzgl. Versandkosten 20,00 € und MwSt
Lieferung nach: Deutschland
Lieferung in 10 bis 13 Werktagen

Kurzübersicht für HOMER1 Antikörper (AA 1-354) (ABIN5776220)

Target

Alle HOMER1 Antikörper anzeigen
HOMER1 (Homer Homolog 1 (HOMER1))

Reaktivität

  • 53
  • 39
  • 24
  • 6
  • 4
  • 4
  • 4
  • 3
  • 2
  • 2
  • 2
  • 1
  • 1
  • 1
Human

Wirt

  • 49
  • 12
  • 1
Maus

Klonalität

  • 40
  • 22
Monoklonal

Konjugat

  • 35
  • 4
  • 3
  • 2
  • 2
  • 2
  • 2
  • 2
  • 2
  • 2
  • 1
  • 1
  • 1
  • 1
  • 1
  • 1
Dieser HOMER1 Antikörper ist unkonjugiert

Applikation

  • 45
  • 29
  • 17
  • 14
  • 9
  • 5
  • 4
  • 4
  • 1
  • 1
  • 1
Western Blotting (WB), ELISA, Immunocytochemistry (ICC), Immunofluorescence (IF)

Klon

AT1F3
  • Bindungsspezifität

    • 12
    • 7
    • 6
    • 5
    • 2
    • 2
    • 2
    • 2
    • 1
    • 1
    • 1
    • 1
    AA 1-354

    Verwendungszweck

    Human HOMER1 antibody

    Aufreinigung

    Purified

    Immunogen

    Recombinant human Homer1 (1-354aa) purified from E. coli

    Isotyp

    IgG2b kappa
  • Beschränkungen

    Nur für Forschungszwecke einsetzbar
  • Format

    Liquid

    Konzentration

    1 mg/mL

    Buffer

    Phosphate-Buffered Saline ( pH 7.4) with 0.02 % Sodium Azide, 10 % glycerol

    Konservierungsmittel

    Sodium azide

    Vorsichtsmaßnahmen

    This product contains Sodium azide: a POISONOUS AND HAZARDOUS SUBSTANCE which should be handled by trained staff only.

    Handhabung

    Avoid repeated freezing and thawing cycles

    Lagerung

    4 °C,-20 °C,-80 °C

    Informationen zur Lagerung

    Can be stored at +2C to +8C for 1 week. For long term storage, aliquot and store at -20C to -80C. Avoid repeated freezing and thawing cycles.
  • Target

    HOMER1 (Homer Homolog 1 (HOMER1))

    Andere Bezeichnung

    HOMER1

    Hintergrund

    Homer1 (Homer protein homolog 1) belongs to Homer family of proteins that regulate signal transduction through, and the trafficking of, glutamate receptors, as well as maintain and regulate extracellular glutamate levels in corticolimbic brain regions. The Homer1 is enriched at excitatory synapses and binds group 1 metabotropic glutamate receptors (mGluRs).

    NCBI Accession

    NP_004263

    Pathways

    Skeletal Muscle Fiber Development
Sie sind hier:
Chat with us!