Telefon:
+49 (0)241 95 163 153
Fax:
+49 (0)241 95 163 155
E-Mail:
orders@antikoerper-online.de

STK16 Antikörper (AA 1-306)

Der Maus Monoklonal anti-STK16 Antikörper wird verwendet zum Nachweis von STK16 in Proben von Human. Er wurde validiert für WB, ELISA, IHC, IHC (p) und RNAi.
Produktnummer ABIN574397
512,07 €
Zzgl. Versandkosten 20,00 € und MwSt
50 μg
Lieferung nach: Deutschland
Lieferung in 15 bis 20 Werktagen

Kurzübersicht für STK16 Antikörper (AA 1-306) (ABIN574397)

Target

Alle STK16 Antikörper anzeigen
STK16 (serine/threonine Kinase 16 (STK16))

Reaktivität

  • 39
  • 27
  • 3
  • 2
  • 2
  • 2
  • 1
  • 1
  • 1
  • 1
  • 1
  • 1
  • 1
Human

Wirt

  • 34
  • 5
Maus

Klonalität

  • 37
  • 2
Monoklonal

Konjugat

  • 22
  • 3
  • 2
  • 2
  • 2
  • 2
  • 1
  • 1
  • 1
  • 1
  • 1
  • 1
Dieser STK16 Antikörper ist unkonjugiert

Applikation

  • 32
  • 21
  • 18
  • 6
  • 2
  • 1
  • 1
  • 1
Western Blotting (WB), ELISA, Immunohistochemistry (IHC), Immunohistochemistry (Paraffin-embedded Sections) (IHC (p)), RNA Interference (RNAi)

Klon

M2
  • Bindungsspezifität

    • 8
    • 6
    • 6
    • 4
    • 2
    • 2
    • 1
    • 1
    • 1
    AA 1-306

    Aufreinigung

    Purified from ascites by Protein A

    Immunogen

    STK16 (AAH02618,1 a.a. ~ 306 a.a) full length recombinant protein with GST tag. MW of the GST tag alone is 26 KDa.

    Type of Immunogen: Recombinant protein

    Isotyp

    IgG1 kappa
  • Applikationshinweise

    Approved: ELISA, IHC, IHC-P (5 μg/mL), RNAi, WB

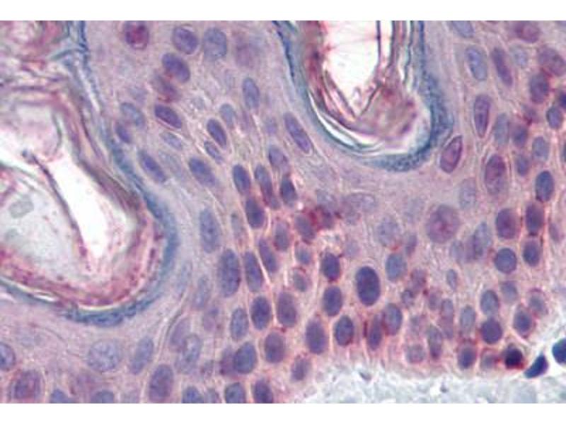
    Usage: Western Blot (Cell lysate) - positive control A-431. Western Blot (Transfected lysate) - positive control transfected 293T cell line. Immunohistochemistry (Formalin/PFA-fixed paraffin-embedded sections, 3 μg/mL) - positive control human tonsil. RNAi Knockdown (Antibody validated).

    Kommentare

    Target Species of Antibody: Human

    Beschränkungen

    Nur für Forschungszwecke einsetzbar
  • Format

    Liquid

    Konzentration

    Lot specific

    Buffer

    PBS,  pH 7.4

    Handhabung

    Aliquot to Avoid freeze/thaw cycles.

    Lagerung

    -20 °C

    Informationen zur Lagerung

    Store at -20°C. Aliquot to avoid freeze/thaw cycles.
  • Target

    STK16 (serine/threonine Kinase 16 (STK16))

    Andere Bezeichnung

    STK16

    Hintergrund

    Name/Gene ID: STK16
    Subfamily: NAK
    Family: Protein Kinase

    Synonyms: STK16, EDPK, HPSK, KRCT, PKL12, Protein kinase PKL12, TGF-beta-stimulated factor 1, Serine/threonine kinase 16, Tyrosine-protein kinase STK16, MPSK, MPSK1, TSF-1

    Gen-ID

    8576

    UniProt

    O75716
Sie sind hier:
Chat with us!