SOX9 Antikörper (AA 400-510)
Kurzübersicht für SOX9 Antikörper (AA 400-510) (ABIN574346)
Target
Alle SOX9 Antikörper anzeigenReaktivität
Wirt
Klonalität
Konjugat
Applikation
Klon
-
-
Bindungsspezifität
- AA 400-510
-
Aufreinigung
- Purified from ascites by Protein A
-
Immunogen
-
SOX9 (NP_000337, 400 a.a. ~ 510 a.a) partial recombinant protein with GST tag. MW of the GST tag alone is 26 KDa.
Type of Immunogen: Recombinant protein -
Isotyp
- IgG1 kappa
-
-
-
-
Applikationshinweise
-
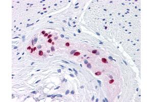
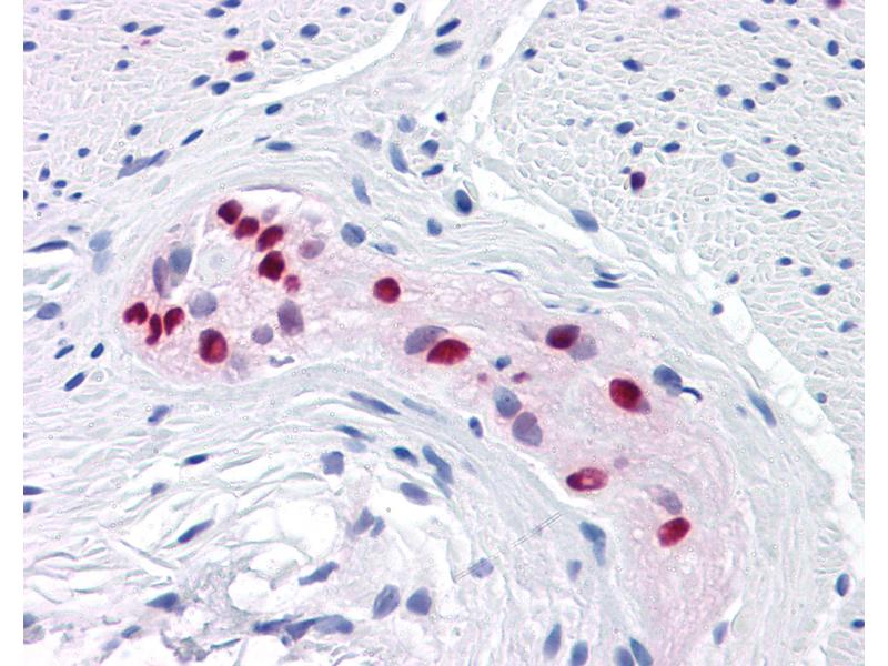
Approved: ELISA, IF (10 μg/mL), IHC, IHC-P (5 μg/mL), WB
Usage: Western Blot (Cell lysate) - positive control HepG2. Immunofluorescence (10 μg/mL) - positive control HepG2 cells. -
Kommentare
-
Target Species of Antibody: Human
-
Beschränkungen
- Nur für Forschungszwecke einsetzbar
-
-
-
Format
- Liquid
-
Konzentration
- Lot specific
-
Buffer
- PBS, pH 7.4.
-
Handhabung
- Aliquot to Avoid freeze/thaw cycles.
-
Lagerung
- -20 °C
-
Informationen zur Lagerung
- Store at -20°C. Aliquot to avoid freeze/thaw cycles.
-
-
- SOX9 (SRY (Sex Determining Region Y)-Box 9 (SOX9))
-
Andere Bezeichnung
- SOX9
-
Hintergrund
-
Name/Gene ID: SOX9
Family: Transcription factor
Synonyms: SOX9, CMD1, CMPD1, SRY-related HMG-box, gene 9, Transcription factor SOX-9 -
Gen-ID
- 6662
-
NCBI Accession
- NP_000337
-
UniProt
- P48436
-
Pathways
- EGFR Signaling Pathway, Stem Cell Maintenance, Regulation of Muscle Cell Differentiation, Tube Formation, Skeletal Muscle Fiber Development
Target
-