Telefon:
+49 (0)241 95 163 153
Fax:
+49 (0)241 95 163 155
E-Mail:
orders@antikoerper-online.de

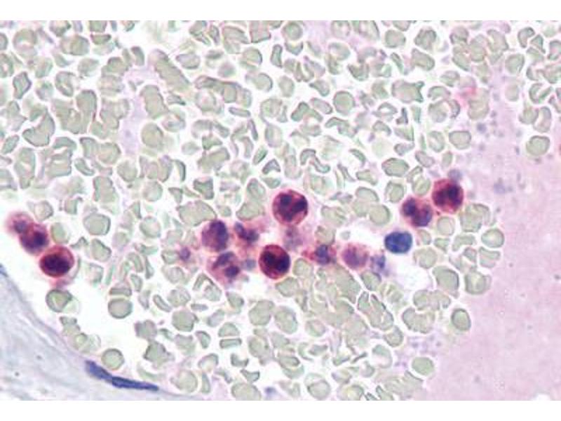
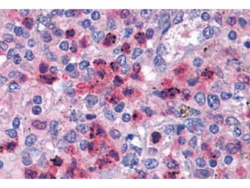
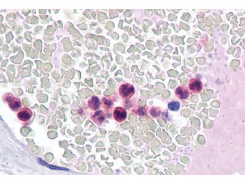
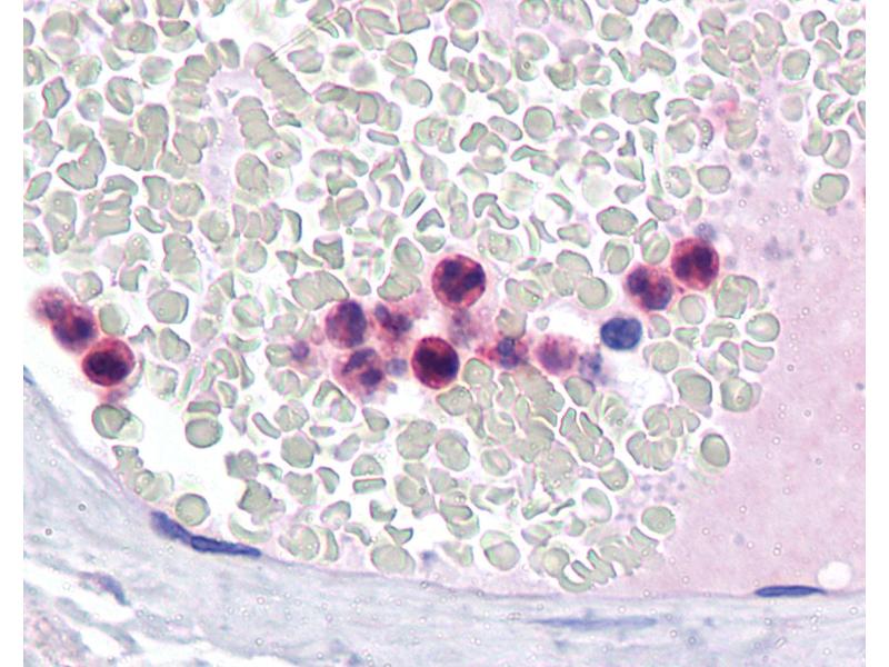
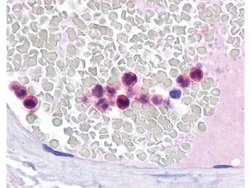
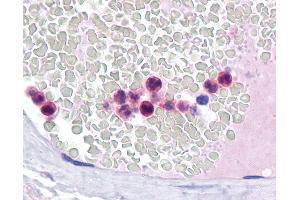
IRF4 Antikörper (AA 342-452)

Der Maus Monoklonal anti-IRF4 Antikörper (Klon 2F2) (ABIN574287) detektiert spezifisch IRF4 in WB, ELISA, IHC und IHC (p). Dieser Antikörper reagiert spezifisch mit Proben aus Human.
Produktnummer ABIN574287
512,07 €
Zzgl. Versandkosten 20,00 € und MwSt
50 μg
Lieferung nach: Deutschland
Lieferung in 15 bis 20 Werktagen

Kurzübersicht für IRF4 Antikörper (AA 342-452) (ABIN574287)

Target

Alle IRF4 Antikörper anzeigen
IRF4 (Interferon Regulatory Factor 4 (IRF4))

Reaktivität

  • 64
  • 30
  • 16
  • 3
  • 3
  • 3
  • 3
  • 3
  • 3
  • 3
  • 2
  • 2
  • 2
  • 2
  • 1
Human

Wirt

  • 51
  • 7
  • 4
  • 2
  • 1
Maus

Klonalität

  • 44
  • 21
Monoklonal

Konjugat

  • 39
  • 4
  • 4
  • 3
  • 3
  • 3
  • 3
  • 3
  • 1
  • 1
  • 1
Dieser IRF4 Antikörper ist unkonjugiert

Applikation

  • 44
  • 24
  • 15
  • 14
  • 10
  • 8
  • 5
  • 4
  • 3
  • 1
  • 1
  • 1
Western Blotting (WB), ELISA, Immunohistochemistry (IHC), Immunohistochemistry (Paraffin-embedded Sections) (IHC (p))

Klon

2F2
  • Bindungsspezifität

    • 8
    • 3
    • 2
    • 2
    • 2
    • 2
    • 1
    • 1
    • 1
    • 1
    • 1
    • 1
    • 1
    • 1
    • 1
    • 1
    • 1
    • 1
    • 1
    • 1
    • 1
    • 1
    AA 342-452

    Aufreinigung

    Purified from ascites by Protein A

    Immunogen

    IRF4 (NP_002451, 342 a.a. ~ 452 a.a) partial recombinant protein with GST tag. MW of the GST tag alone is 26 KDa.

    Type of Immunogen: Recombinant protein

    Isotyp

    IgG2a kappa
  • Applikationshinweise

    Approved: ELISA, IHC, IHC-P (5 μg/mL), WB

    Usage: Western Blot (Transfected lysate) - positive control transfected 293T cell line. Sandwich ELISA (Recombinant protein).

    Kommentare

    Target Species of Antibody: Human

    Beschränkungen

    Nur für Forschungszwecke einsetzbar
  • Format

    Liquid

    Konzentration

    Lot specific

    Buffer

    PBS,  pH 7.4. Sourced in Ascites.

    Handhabung

    Aliquot to Avoid freeze/thaw cycles.

    Lagerung

    -20 °C

    Informationen zur Lagerung

    Store at -20°C. Aliquot to avoid freeze/thaw cycles.
  • Target

    IRF4 (Interferon Regulatory Factor 4 (IRF4))

    Andere Bezeichnung

    IRF4 / IRF-4

    Hintergrund

    Name/Gene ID: IRF4

    Synonyms: IRF4, Interferon regulatory factor 4, NF-EM5, LSIRF, IRF-4, Multiple myeloma oncogene 1

    Gen-ID

    3662

    NCBI Accession

    NP_002451

    UniProt

    Q15306

    Pathways

    Chromatin Binding
Sie sind hier:
Chat with us!