ATR Antikörper (AA 2545-2645)
Kurzübersicht für ATR Antikörper (AA 2545-2645) (ABIN574213)
Target
Alle ATR Antikörper anzeigenReaktivität
Wirt
Klonalität
Konjugat
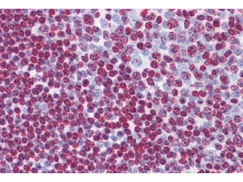
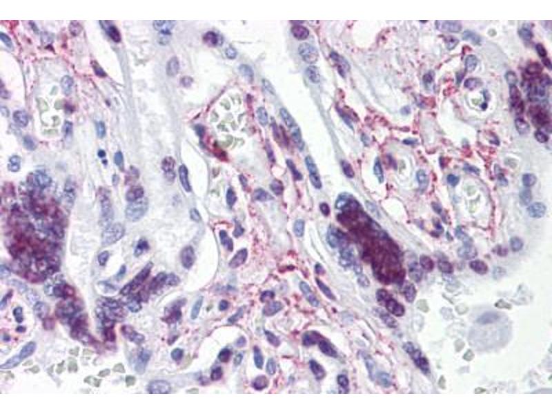
Applikation
Klon
-
-
Bindungsspezifität
- AA 2545-2645
-
Aufreinigung
- Purified from ascites by Protein A
-
Immunogen
-
ATR (NP_001175, 2545 a.a. ~ 2645 a.a) partial recombinant protein with GST tag. MW of the GST tag alone is 26 KDa.
Type of Immunogen: Recombinant protein -
Isotyp
- IgG1 kappa
-
-
-
-
Applikationshinweise
- Approved: ELISA, IHC, IHC-P (5 μg/mL)
-
Kommentare
-
Target Species of Antibody: Human
-
Beschränkungen
- Nur für Forschungszwecke einsetzbar
-
-
-
Format
- Liquid
-
Konzentration
- Lot specific
-
Buffer
- PBS, pH 7.4.
-
Handhabung
- Aliquot to Avoid freeze/thaw cycles.
-
Lagerung
- -20 °C
-
Informationen zur Lagerung
- Store at -20°C. Aliquot to avoid freeze/thaw cycles.
-
-
- ATR (ATR serine/threonine kinase (ATR))
-
Andere Bezeichnung
- ATR
-
Hintergrund
-
Name/Gene ID: ATR
Subfamily: PI3/PI4
Family: Protein Kinase
Synonyms: ATR, FRAP-related protein-1, FCTCS, SCKL1, MEC1, Protein kinase ATR, Rad3 related protein, SCKL, FRAP-related protein 1, FRP1 -
Gen-ID
- 545
-
NCBI Accession
- NP_001175
-
UniProt
- Q13535
-
Pathways
- Positive Regulation of Response to DNA Damage Stimulus
Target
-