Telefon:
+49 (0)241 95 163 153
Fax:
+49 (0)241 95 163 155
E-Mail:
orders@antikoerper-online.de

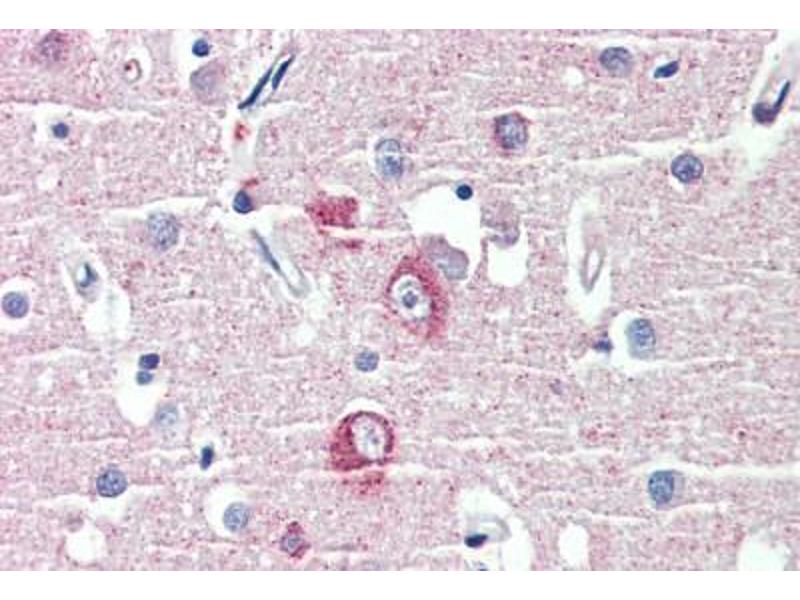
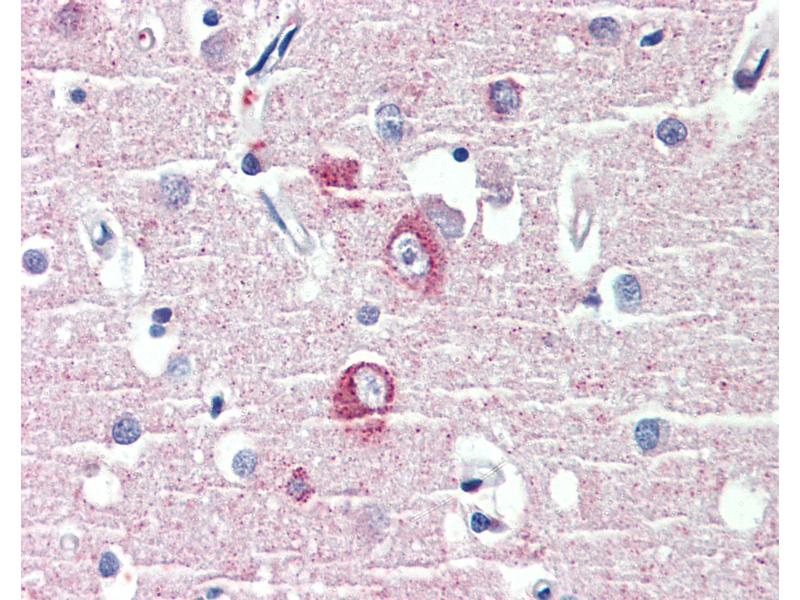
DLGAP1 Antikörper (AA 391-405)

Der Ziege Polyklonal anti-DLGAP1 Antikörper wird verwendet zum Nachweis von DLGAP1 in Proben von Human, Ratte, Maus, Hund, Fledermaus, Rind (Kuh), Hamster, Pferd, Kaninchen und Xenopus laevis. Er wurde validiert für IHC und IHC (p).
Produktnummer ABIN574097
512,07 €
Zzgl. Versandkosten 20,00 € und MwSt
50 μg
Lieferung nach: Deutschland
Lieferung in 15 bis 20 Werktagen

Kurzübersicht für DLGAP1 Antikörper (AA 391-405) (ABIN574097)

Target

Alle DLGAP1 Antikörper anzeigen
DLGAP1 (Discs, Large (Drosophila) Homolog-Associated Protein 1 (DLGAP1))

Reaktivität

Human, Ratte, Maus, Hund, Fledermaus, Rind (Kuh), Hamster, Pferd, Kaninchen, Xenopus laevis

Wirt

  • 37
  • 24
  • 1
Ziege

Klonalität

  • 38
  • 24
Polyklonal

Konjugat

  • 26
  • 3
  • 2
  • 2
  • 2
  • 2
  • 2
  • 2
  • 2
  • 2
  • 2
  • 2
  • 1
  • 1
  • 1
  • 1
  • 1
  • 1
  • 1
  • 1
  • 1
  • 1
  • 1
  • 1
  • 1
Dieser DLGAP1 Antikörper ist unkonjugiert

Applikation

  • 22
  • 19
  • 17
  • 15
  • 13
  • 13
  • 11
  • 8
  • 3
  • 3
  • 2
Immunohistochemistry (IHC), Immunohistochemistry (Paraffin-embedded Sections) (IHC (p))
  • Bindungsspezifität

    • 16
    • 15
    • 13
    • 3
    • 2
    • 1
    • 1
    • 1
    • 1
    • 1
    • 1
    • 1
    • 1
    • 1
    • 1
    • 1
    AA 391-405

    Spezifität

    Human DLGAP1. This antibody is expected to recognize both reported isoforms (NP_001003809.1, NP_004737.2)

    Homologie

    Percent identity by BLAST analysis: Human, Gorilla, Orangutan, Gibbon, Mouse, Rat, Hamster, Elephant, Panda, Bovine, Dog, Bat, Horse, Rabbit, Opossum, Xenopus (100%) Turkey, Chicken, Seabass, Pufferfish, Zebrafish (93%) Stickleback (87%).

    Aufreinigung

    Immunoaffinity purified

    Immunogen

    Synthetic peptide C-KISNEHSPKLQIRSH from an internal region of human DLGAP1 (NP_004737.2, NP_001003809.1). Percent identity by BLAST analysis: Human, Gorilla, Orangutan, Gibbon, Mouse, Rat, Hamster, Elephant, Panda, Bovine, Dog, Bat, Horse, Rabbit, Opossum, Xenopus (100%), Turkey, Chicken, Seabass, Pufferfish, Zebrafish (93%), Stickleback (87%).

    Type of Immunogen: Synthetic peptide
  • Applikationshinweise

    Approved: IHC, IHC-P (3.75 μg/mL)

    Usage: Immunohistochemistry: This antibody was validated for use in immunohistochemistry on a panel of 21 formalin-fixed, paraffin-embedded (FFPE) human tissues after heat induced antigen retrieval in  pH 6.0 citrate buffer. After incubation with the primary antibody, slides were incubated with biotinylated secondary antibody, followed by alkaline phosphatase-streptavidin and chromogen. The stained slides were evaluated by a pathologist to confirm staining specificity. The optimal working concentration for this antibody was determined to be 3.75 μg/mL

    Kommentare

    Target Species of Antibody: Human

    Beschränkungen

    Nur für Forschungszwecke einsetzbar
  • Format

    Liquid

    Konzentration

    Lot specific

    Buffer

    Tris-buffered saline,  pH 7.3, 0.5 % BSA, 0.02 % sodium azide

    Konservierungsmittel

    Sodium azide

    Vorsichtsmaßnahmen

    This product contains Sodium azide: a POISONOUS AND HAZARDOUS SUBSTANCE which should be handled by trained staff only.

    Handhabung

    Minimize freezing and thawing.

    Lagerung

    -20 °C

    Informationen zur Lagerung

    Store at -20°C. Avoid freeze-thaw cycles.
  • Target

    DLGAP1 (Discs, Large (Drosophila) Homolog-Associated Protein 1 (DLGAP1))

    Andere Bezeichnung

    DLGAP1 / SAPAP1 / GKAP

    Hintergrund

    Name/Gene ID: DLGAP1

    Synonyms: DLGAP1, DAP-1, DAP-1-ALPHA, HGKAP, PSD-95/SAP90 binding protein 1, PSD-95/SAP90-binding protein 1, SAPAP1, DAP-1-BETA, DAP1, GKAP

    Gen-ID

    9229

    NCBI Accession

    NP_004737, NP_001003809

    UniProt

    O14490
Sie sind hier:
Chat with us!