VTCN1 Antikörper
Kurzübersicht für VTCN1 Antikörper (ABIN573981)
Target
Alle VTCN1 Antikörper anzeigenReaktivität
Wirt
Klonalität
Konjugat
Applikation
Klon
-
-
Aufreinigung
- Affinity purified
-
Immunogen
- Human VTCN1
-
Isotyp
- IgG1 kappa
-
-
-
-
Applikationshinweise
-
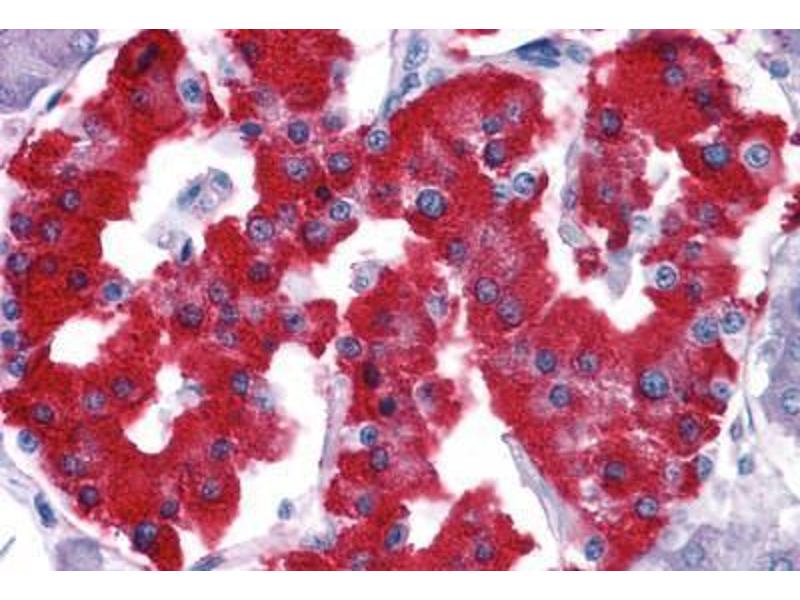
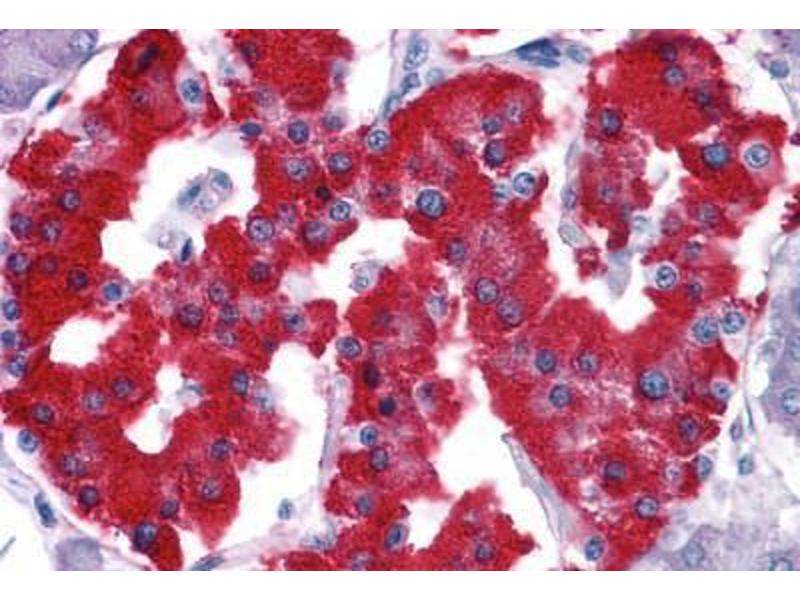
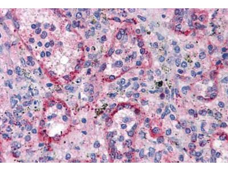
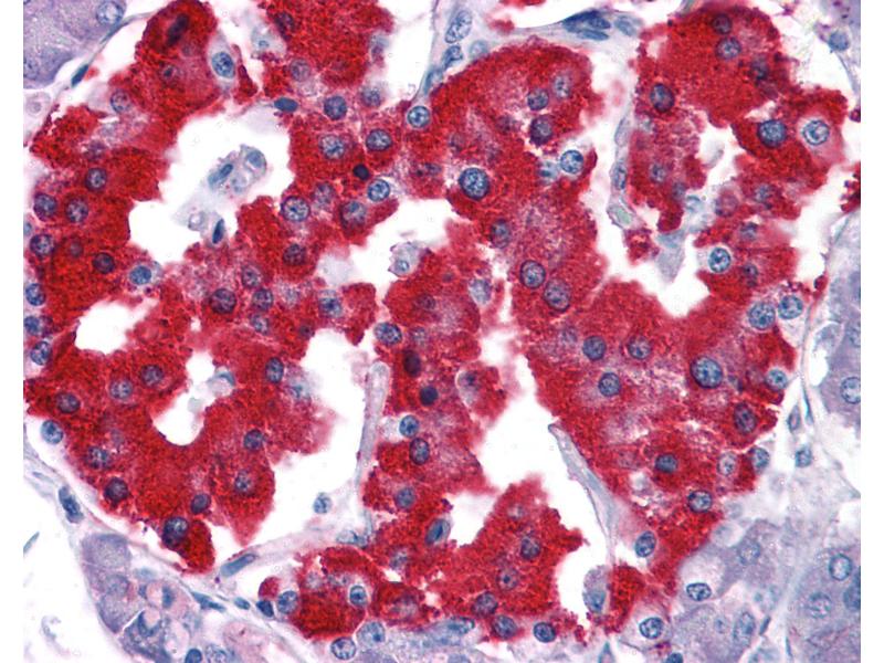
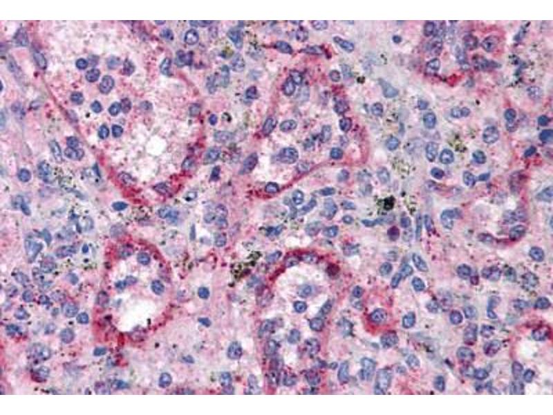
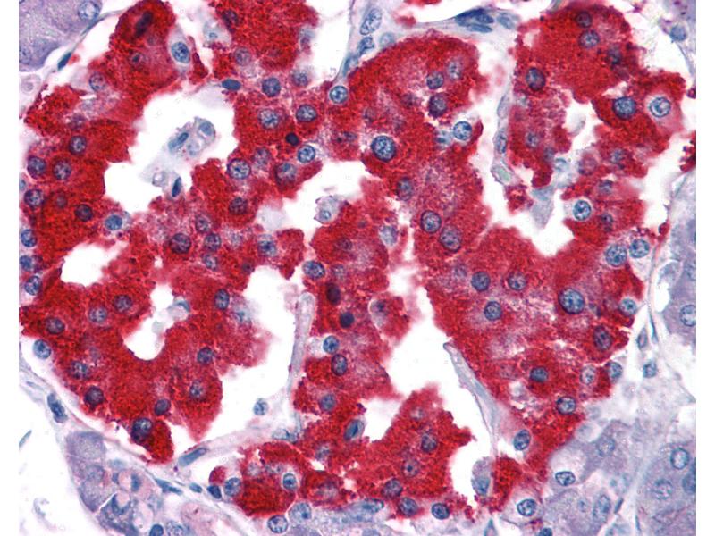
Approved: Flo, IHC, IHC-P (20 μg/mL)
Usage: This H74 antibody has been tested by flow cytometric analysis of transient hB7-H4 transfected cells. This can be used at less than or equal to 0.25 μg per test. A test is defined as the amount (ug) of antibody that will stain a cell sample in a final volume of 100 μL. Cell number should be determined empirically but can range from 10^5 to 10^8 cells/test. It is recommended that the antibody be carefully titrated for optimal performance in the assay of interest. -
Kommentare
-
Target Species of Antibody: Human
-
Beschränkungen
- Nur für Forschungszwecke einsetzbar
-
-
-
Format
- Liquid
-
Konzentration
- Lot specific
-
Buffer
- Aqueous buffer, 0.09 % sodium azide. Sourced from ascites.
-
Konservierungsmittel
- Sodium azide
-
Vorsichtsmaßnahmen
- This product contains Sodium azide: a POISONOUS AND HAZARDOUS SUBSTANCE which should be handled by trained staff only.
-
Lagerung
- 4 °C
-
Informationen zur Lagerung
- Store at 2°C to 8°C.
-
-
-
: "The prognostic impact of B7-H3 and B7-H4 in head and neck squamous cell carcinoma." in: Journal of cancer research and clinical oncology, (2022) (PubMed).
-
-
- VTCN1 (V-Set Domain Containing T Cell Activation Inhibitor 1 (VTCN1))
-
Andere Bezeichnung
- VTCN1 / B7-H4
-
Hintergrund
-
Name/Gene ID: VTCN1
Synonyms: VTCN1, B7 superfamily member 1, B7 Superfamily, member 1, B7h.5, B7S1, B7H4, PRO1291, VCTN1, RP11-229A19.4, B7 family member, H4, B7-H4, B7X, Protein B7S1 -
Gen-ID
- 79679
-
UniProt
- Q7Z7D3
Target
-