PREX1 Antikörper (Internal Region)
Kurzübersicht für PREX1 Antikörper (Internal Region) (ABIN571037)
Target
Alle PREX1 Antikörper anzeigenReaktivität
Wirt
Klonalität
Konjugat
Applikation
Güteklasse
-
-
Bindungsspezifität
- Internal Region
-
Verwendungszweck
- PREX1
-
Sequenz
- ERSNLPTDAS TTA
-
Kreuzreaktivität
- Rind (Kuh), Hund, Human, Maus, Ratte
-
Aufreinigung
- Purified from goat serum by ammonium sulphate precipitation followed by antigen affinity chromatography using the immunizing peptide.
-
Immunogen
- Peptide with sequence C-ERSNLPTDASTTA, from the internal region of the protein sequence according to NP_065871.2.
-
Isotyp
- IgG
-
-
-
-
Applikationshinweise
-
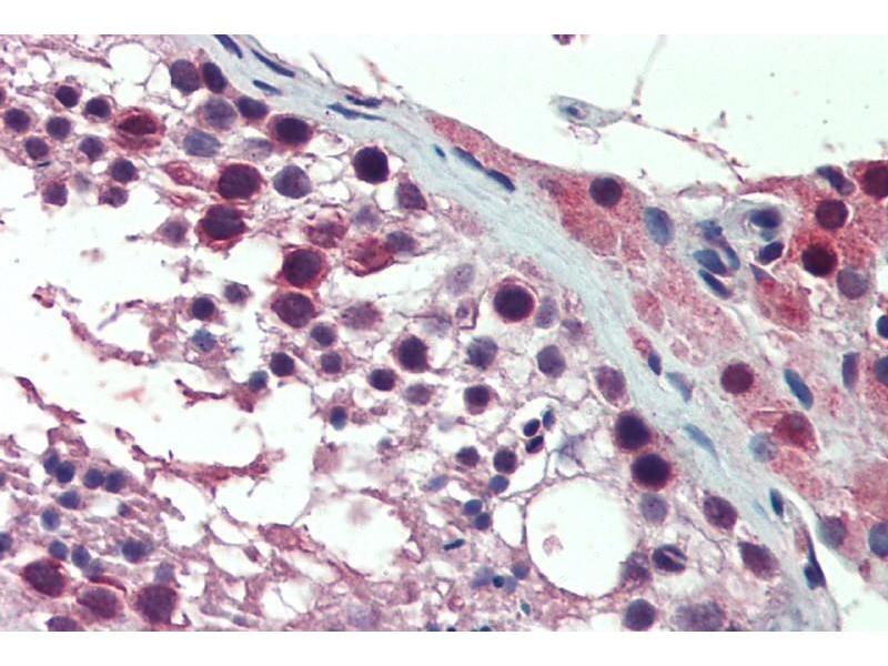
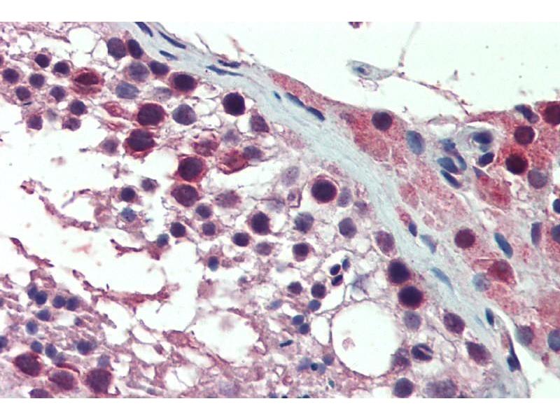
Immunohistochemistry: Paraffin embedded Human Testis. Recommended concentration: 10 μg/mL.
Western Blot: Approx 150 kDa band observed in Human Brain (Temporal Cortex) lysates (calculated MW of 186 kDa according to NP_065871.2). Recommended concentration: 1-3 μg/mL.
Peptide ELISA: antibody detection limit dilution 1:16000.
-
Beschränkungen
- Nur für Forschungszwecke einsetzbar
-
-
-
Format
- Liquid
-
Konzentration
- 0.5 mg/mL
-
Buffer
- Supplied at 0.5 mg/mL in Tris saline, 0.02 % sodium azide, pH 7.3 with 0.5 % bovine serum albumin.
-
Konservierungsmittel
- Sodium azide
-
Vorsichtsmaßnahmen
- This product contains Sodium azide: a POISONOUS AND HAZARDOUS SUBSTANCE which should be handled by trained staff only.
-
Handhabung
- Minimize freezing and thawing.
-
Lagerung
- -20 °C
-
Informationen zur Lagerung
- Aliquot and store at -20°C, with minimal freeze/thawing. A working aliquot may be refrigerated at 4°C for a few weeks and still remain viable.
-
-
- PREX1 (Phosphatidylinositol-3,4,5-Trisphosphate-Dependent Rac Exchange Factor 1 (PREX1))
-
Andere Bezeichnung
- PREX1
-
Hintergrund
- PREX1, phosphatidylinositol-3,4,5-trisphosphate-dependent Rac exchange factor 1, KIAA1415, P-REX1, OTTHUMP00000031228, phosphatidylinositol 3,4,5-trisphosphate-dependent Rac exchanger 1
-
Gen-ID
- 57580, 277360, 311647
-
NCBI Accession
- NP_065871
-
Pathways
- Regulation of Actin Filament Polymerization
Target
-