Telefon:
+49 (0)241 95 163 153
Fax:
+49 (0)241 95 163 155
E-Mail:
orders@antikoerper-online.de

PTMA Antikörper (C-Term)

Der Ziege Polyklonal anti-PTMA Antikörper wird verwendet zum Nachweis von PTMA in Proben von Human. Er wurde validiert für ELISA und IHC.
Produktnummer ABIN570704
488,25 €
Zzgl. Versandkosten 20,00 € und MwSt
100 μg
Lieferung nach: Deutschland
Lieferung in 5 bis 8 Werktagen

Kurzübersicht für PTMA Antikörper (C-Term) (ABIN570704)

Target

Alle PTMA Antikörper anzeigen
PTMA (Prothymosin, alpha (PTMA))

Reaktivität

  • 35
  • 12
  • 10
  • 1
  • 1
Human

Wirt

  • 30
  • 5
Ziege

Klonalität

  • 30
  • 5
Polyklonal

Konjugat

  • 16
  • 4
  • 3
  • 3
  • 2
  • 1
  • 1
  • 1
  • 1
  • 1
  • 1
  • 1
Dieser PTMA Antikörper ist unkonjugiert

Applikation

  • 22
  • 19
  • 14
  • 10
  • 3
  • 2
  • 2
  • 1
  • 1
  • 1
ELISA, Immunohistochemistry (IHC)

Güteklasse

Verified
  • Bindungsspezifität

    • 7
    • 5
    • 4
    • 3
    • 1
    • 1
    • 1
    C-Term

    Verwendungszweck

    PTMA

    Sequenz

    DVDTKKQKTD EDD

    Spezifität

    This antibody is expected to recognize both reported isoforms (NP_001092755.1, NP_002814.3).

    Kreuzreaktivität

    Hund, Human, Ratte

    Aufreinigung

    Purified from goat serum by ammonium sulphate precipitation followed by antigen affinity chromatography using the immunizing peptide.

    Immunogen

    Peptide with sequence C-DVDTKKQKTDEDD, from the C Terminus of the protein sequence according to NP_001092755.1, NP_002814.3.

    Isotyp

    IgG
  • Applikationshinweise

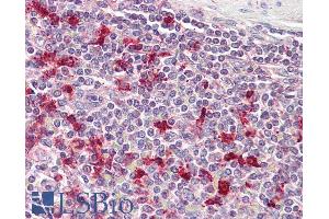
    Immunohistochemistry: Paraffin embedded Human Spleen. Recommended concentration: 3.75 μg/mL.

    Western Blot: Preliminary experiments gave an approx. 38 kDa band in lysates of cell line A431 after 0.2 μg/mL antibody staining. Please note that currently we cannot find an explanation in the literature for the band we observe given the calculated size o

    Peptide ELISA: antibody detection limit dilution 1:1000.

    Beschränkungen

    Nur für Forschungszwecke einsetzbar
  • Format

    Liquid

    Konzentration

    0.5 mg/mL

    Buffer

    Supplied at 0.5 mg/mL in Tris saline, 0.02 % sodium azide, pH 7.3 with 0.5 % bovine serum albumin.

    Konservierungsmittel

    Sodium azide

    Vorsichtsmaßnahmen

    This product contains Sodium azide: a POISONOUS AND HAZARDOUS SUBSTANCE which should be handled by trained staff only.

    Handhabung

    Minimize freezing and thawing.

    Lagerung

    -20 °C

    Informationen zur Lagerung

    Aliquot and store at -20°C, with minimal freeze/thawing. A working aliquot may be refrigerated at 4°C for a few weeks and still remain viable.
  • Target

    PTMA (Prothymosin, alpha (PTMA))

    Andere Bezeichnung

    PTMA

    Hintergrund

    PTMA, prothymosin, alpha, MGC104802, TMSA, gene sequence 28, prothymosin alpha protein, prothymosin, alpha (gene sequence 28), region containing prothymosin, alpha (gene sequence 28), prothymosin, alpha (gene sequence 28), prothymosin, alpha (gene sequenc

    Gen-ID

    5757, 500448

    NCBI Accession

    NP_001092755, NP_002814
Sie sind hier:
Chat with us!