Telefon:
+49 (0)241 95 163 153
Fax:
+49 (0)241 95 163 155
E-Mail:
orders@antikoerper-online.de

KIF6 Antikörper (Internal Region)

Der Ziege Polyklonal anti-KIF6 Antikörper (ABIN570690) detektiert spezifisch KIF6 in ELISA und IHC. Dieser Antikörper reagiert spezifisch mit Proben aus Human.
Produktnummer ABIN570690
488,25 €
Zzgl. Versandkosten 20,00 € und MwSt
100 μg
Lieferung nach: Deutschland
Lieferung in 5 bis 8 Werktagen

Kurzübersicht für KIF6 Antikörper (Internal Region) (ABIN570690)

Target

KIF6 (Kinesin Family Member 6 (KIF6))

Reaktivität

  • 19
  • 11
  • 1
Human

Wirt

  • 16
  • 2
  • 1
Ziege

Klonalität

  • 19
Polyklonal

Konjugat

  • 14
  • 1
  • 1
  • 1
  • 1
  • 1
Dieser KIF6 Antikörper ist unkonjugiert

Applikation

  • 17
  • 11
  • 3
  • 1
ELISA, Immunohistochemistry (IHC)

Güteklasse

Verified
  • Bindungsspezifität

    • 8
    • 4
    • 3
    • 2
    • 1
    • 1
    Internal Region

    Verwendungszweck

    KIF6

    Sequenz

    DPDQNIHLKN LTLH

    Kreuzreaktivität

    Human, Maus

    Aufreinigung

    Purified from goat serum by ammonium sulphate precipitation followed by antigen affinity chromatography using the immunizing peptide.

    Immunogen

    Peptide with sequence C-DPDQNIHLKNLTLH, from the internal region of the protein sequence according to NP_659464.3.

    Isotyp

    IgG
  • Applikationshinweise

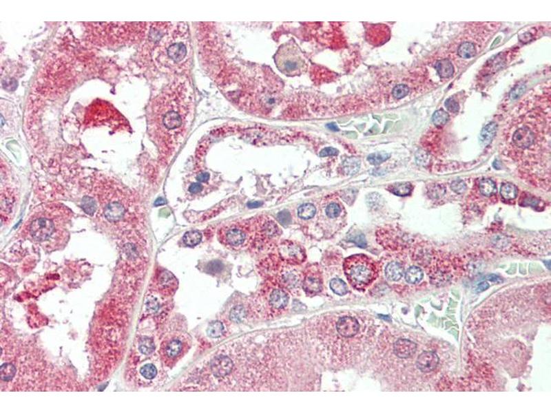
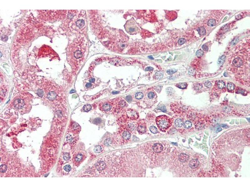
    Immunohistochemistry: Paraffin embedded Human Prostate and Kidney. Recommended concentration: 5 μg/mL.

    Western Blot: Preliminary experiments gave an approx. 140 kDa band in Human Heart lysates after 0.5 μg/mL antibody staining. Please note that currently we cannot find an explanation in the literature for the band we observe given the calculated size of 92.

    Peptide ELISA: antibody detection limit dilution 1:32000.

    Beschränkungen

    Nur für Forschungszwecke einsetzbar
  • Format

    Liquid

    Konzentration

    0.5 mg/mL

    Buffer

    Supplied at 0.5 mg/mL in Tris saline, 0.02 % sodium azide, pH 7.3 with 0.5 % bovine serum albumin.

    Konservierungsmittel

    Sodium azide

    Vorsichtsmaßnahmen

    This product contains Sodium azide: a POISONOUS AND HAZARDOUS SUBSTANCE which should be handled by trained staff only.

    Handhabung

    Minimize freezing and thawing.

    Lagerung

    -20 °C

    Informationen zur Lagerung

    Aliquot and store at -20°C, with minimal freeze/thawing. A working aliquot may be refrigerated at 4°C for a few weeks and still remain viable.
  • Target

    KIF6 (Kinesin Family Member 6 (KIF6))

    Andere Bezeichnung

    KIF6

    Hintergrund

    KIF6, kinesin family member 6, C6orf102, DKFZp451I2418, MGC33317, dJ1043E3.1, dJ137F1.4, dJ188D3.1, OTTHUMP00000016349, OTTHUMP00000039712

    Gen-ID

    221458, 319991

    NCBI Accession

    NP_659464
Sie sind hier:
Chat with us!