Telefon:
+49 (0)241 95 163 153
Fax:
+49 (0)241 95 163 155
E-Mail:
orders@antikoerper-online.de

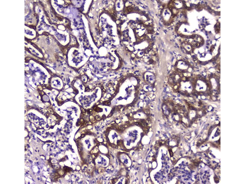
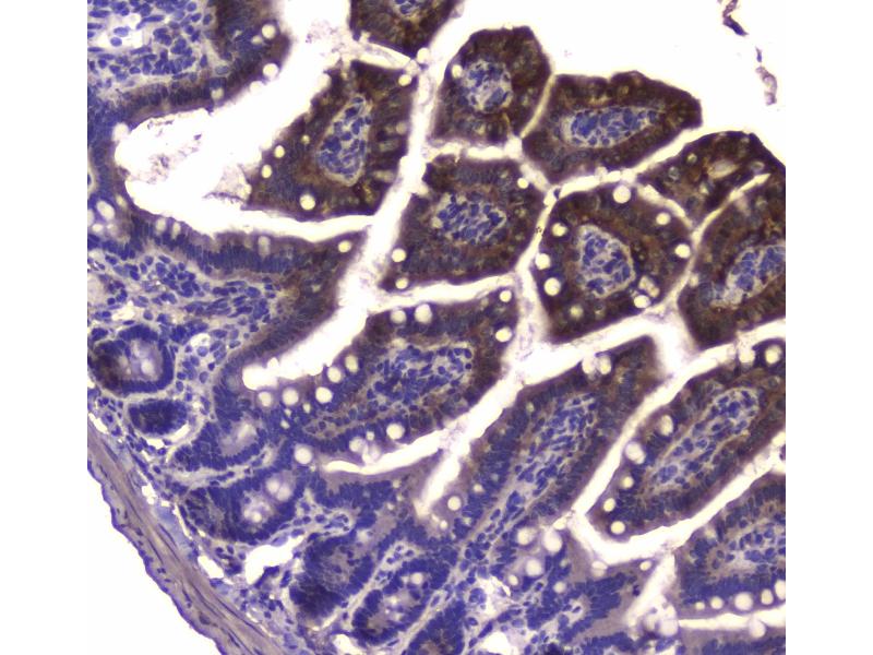
GDA Antikörper (AA 220-446)

Dieser Kaninchen Polyklonal Antikörper detektiert spezifisch GDA in WB, ELISA und IHC. Es zeigt Reaktivität gegenüber Proben von Maus und Ratte.
Produktnummer ABIN5693253
500,50 €
Zzgl. Versandkosten 20,00 € und MwSt
100 μg
Lieferung nach: Deutschland
Lieferung in 8 bis 12 Werktagen

Kurzübersicht für GDA Antikörper (AA 220-446) (ABIN5693253)

Target

Alle GDA Antikörper anzeigen
GDA (Guanine Deaminase (GDA))

Reaktivität

  • 42
  • 7
  • 3
  • 3
  • 3
  • 2
  • 2
  • 1
  • 1
Maus, Ratte

Wirt

  • 40
  • 5
  • 2
Kaninchen

Klonalität

  • 45
  • 2
Polyklonal

Konjugat

  • 22
  • 6
  • 4
  • 3
  • 3
  • 2
  • 1
  • 1
  • 1
  • 1
  • 1
  • 1
  • 1
Dieser GDA Antikörper ist unkonjugiert

Applikation

  • 33
  • 21
  • 15
  • 8
  • 8
  • 4
  • 4
  • 3
  • 3
  • 2
  • 2
  • 1
  • 1
  • 1
Western Blotting (WB), ELISA, Immunohistochemistry (IHC)
  • Bindungsspezifität

    • 8
    • 8
    • 7
    • 5
    • 3
    • 1
    • 1
    • 1
    • 1
    • 1
    • 1
    AA 220-446

    Verwendungszweck

    Anti-GDA Antibody

    Kreuzreaktivität (Details)

    No cross-reactivity with other proteins.

    Produktmerkmale

    Anti-GDA Antibody (ABIN5693253). Tested in ELISA, IHC, WB applications. This antibody reacts with Mouse, Rat. This is a premium antibody that guarantees superior quality, high affinity, and strong signals with minimal background in Western blot applications.

    Aufreinigung

    Immunogen affinity purified.

    Immunogen

    E. coli-derived human GDA recombinant protein (Position: E220-Q446).

    Isotyp

    IgG
  • Applikationshinweise

    Western blot, 0.1-0.5 μg/mL
    Immunohistochemistry (Paraffin-embedded Section), 0.5-1 μg/mL
    ELISA, 0.1-0.5 μg/mL

    Beschränkungen

    Nur für Forschungszwecke einsetzbar
  • Format

    Lyophilized

    Rekonstitution

    Add 0.2 mL of distilled water will yield a concentration of 500 μg/mL.

    Konzentration

    500 μg/mL

    Buffer

    Each vial contains 4 mg Trehalose, 0.9 mg NaCl, 0.2 mg Na2HPO4, 0.05 mg NaN3.

    Konservierungsmittel

    Sodium azide

    Vorsichtsmaßnahmen

    This product contains Sodium azide: a POISONOUS AND HAZARDOUS SUBSTANCE which should be handled by trained staff only.

    Lagerung

    4 °C,-20 °C

    Informationen zur Lagerung

    Store at -20°C for one year from date of receipt. After reconstitution, at 4°C for one month.
    It can also be aliquotted and stored frozen at -20°C for six months. Avoid repeated freeze-thaw cycles.
  • Target

    GDA (Guanine Deaminase (GDA))

    Andere Bezeichnung

    GDA

    Hintergrund

    Synonyms: Guanine deaminase, Guanase, Guanine aminase, Guanine aminohydrolase, GAH, p51-nedasin, GDA, KIAA1258

    Tissue Specificity: Expressed in lung carcinoma cell lines but not in normal lung tissues.

    Background: Guanine deaminase also known as cypin, guanase, guanine aminase, GAH, and guanine aminohydrolase is an aminohydrolase enzyme which converts guanine to xanthine. This gene is mapped to 9q21.13. Studies in rat ortholog suggest this gene plays a role in microtubule assembly. Multiple transcript variants encoding different isoforms have been found for this gene.

    Molekulargewicht

    51 kDa

    Gen-ID

    9615

    UniProt

    Q9Y2T3
Sie sind hier:
Chat with us!