Telefon:
+49 (0)241 95 163 153
Fax:
+49 (0)241 95 163 155
E-Mail:
orders@antikoerper-online.de

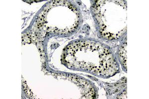
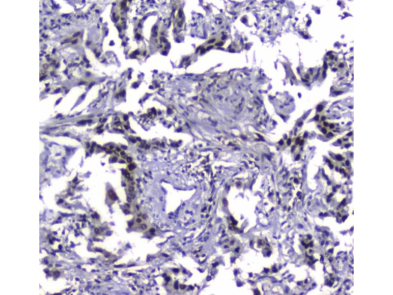
MDC1 Antikörper (AA 534-626)

Dieser Kaninchen Polyklonal Antikörper detektiert spezifisch MDC1 in ELISA, IHC, IF, ICC und FACS. Es zeigt Reaktivität gegenüber Proben von Human.
Produktnummer ABIN5693232
500,50 €
Zzgl. Versandkosten 20,00 € und MwSt
100 μg
Lieferung nach: Deutschland
Lieferung in 8 bis 12 Werktagen

Kurzübersicht für MDC1 Antikörper (AA 534-626) (ABIN5693232)

Target

Alle MDC1 Antikörper anzeigen
MDC1 (Mdc1 (MDC1))

Reaktivität

  • 57
  • 45
  • 16
  • 12
  • 11
  • 2
  • 1
  • 1
Human

Wirt

  • 47
  • 28
Kaninchen

Klonalität

  • 47
  • 28
Polyklonal

Konjugat

  • 27
  • 6
  • 6
  • 4
  • 3
  • 3
  • 3
  • 2
  • 2
  • 2
  • 1
  • 1
  • 1
  • 1
  • 1
  • 1
  • 1
  • 1
  • 1
  • 1
  • 1
  • 1
  • 1
  • 1
  • 1
  • 1
  • 1
Dieser MDC1 Antikörper ist unkonjugiert

Applikation

  • 57
  • 21
  • 13
  • 13
  • 12
  • 12
  • 10
  • 10
  • 9
  • 6
  • 3
  • 2
  • 1
  • 1
ELISA, Immunohistochemistry (IHC), Immunofluorescence (IF), Immunocytochemistry (ICC), Flow Cytometry (FACS)
  • Bindungsspezifität

    • 21
    • 15
    • 10
    • 9
    • 5
    • 3
    • 2
    • 2
    • 1
    • 1
    • 1
    • 1
    • 1
    • 1
    • 1
    AA 534-626

    Verwendungszweck

    Anti-MDC1 Antibody

    Kreuzreaktivität (Details)

    No cross-reactivity with other proteins.

    Produktmerkmale

    Anti-MDC1 Antibody (ABIN5693232). Tested in ELISA, Flow Cytometry, IF, IHC, ICC applications. This antibody reacts with Human.

    Aufreinigung

    Immunogen affinity purified.

    Immunogen

    E. coli-derived human MDC1 recombinant protein (Position: A534-Q626).

    Isotyp

    IgG
  • Applikationshinweise

    Immunohistochemistry (Paraffin-embedded Section), 0.5-1 μg/mL
    Immunocytochemistry/Immunofluorescence, 2 μg/mL
    Flow Cytometry (Fixed), 1-3 μg/1x106 cells
    ELISA, 0.1-0.5 μg/mL

    Beschränkungen

    Nur für Forschungszwecke einsetzbar
  • Format

    Lyophilized

    Rekonstitution

    Add 0.2 mL of distilled water will yield a concentration of 500 μg/mL.

    Konzentration

    500 μg/mL

    Buffer

    Each vial contains 4 mg Trehalose, 0.9 mg NaCl, 0.2 mg Na2HPO4, 0.05 mg NaN3.

    Konservierungsmittel

    Sodium azide

    Vorsichtsmaßnahmen

    This product contains Sodium azide: a POISONOUS AND HAZARDOUS SUBSTANCE which should be handled by trained staff only.

    Lagerung

    4 °C,-20 °C

    Informationen zur Lagerung

    Store at -20°C for one year from date of receipt. After reconstitution, at 4°C for one month.
    It can also be aliquotted and stored frozen at -20°C for six months. Avoid repeated freeze-thaw cycles.
  • Target

    MDC1 (Mdc1 (MDC1))

    Andere Bezeichnung

    MDC1

    Hintergrund

    Synonyms: Mediator of DNA damage checkpoint protein 1, Nuclear factor with BRCT domains 1, MDC1, KIAA0170, NFBD1

    Tissue Specificity: Highly expressed in testis.

    Background: Mediator of DNA damage checkpoint protein 1 is a 2080 amino acid long protein that in humans is encoded by the MDC1 gene. The protein encoded by this gene contains an N-terminal forkhead domain, two BRCA1 C-terminal (BRCT) motifs and a central domain with 13 repetitions of an approximately 41-amino acid sequence. The encoded protein is required to activate the intra-S phase and G2/M phase cell cycle checkpoints in response to DNA damage. This nuclear protein interacts with phosphorylated histone H2AX near sites of DNA double-strand breaks through its BRCT motifs, and facilitates recruitment of the ATM kinase and meiotic recombination 11 protein complex to DNA damage foci.

    Molekulargewicht

    50 kDa

    Gen-ID

    9656

    UniProt

    Q14676
Sie sind hier:
Chat with us!