Telefon:
+49 (0)241 95 163 153
Fax:
+49 (0)241 95 163 155
E-Mail:
orders@antikoerper-online.de

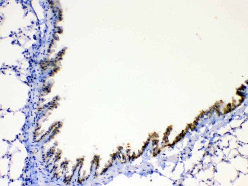
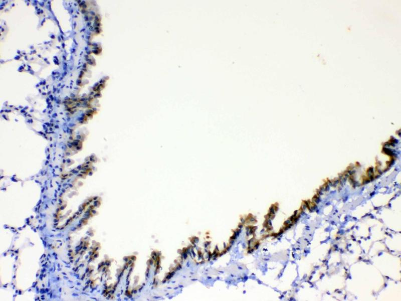
AGRP Antikörper (AA 82-131)

Dieser Kaninchen Polyklonal Antikörper detektiert spezifisch AGRP in IHC und ELISA. Es zeigt Reaktivität gegenüber Proben von Human, Maus und Ratte.
Produktnummer ABIN5693160
500,50 €
Zzgl. Versandkosten 20,00 € und MwSt
100 μg
Lieferung nach: Deutschland
Lieferung in 8 bis 12 Werktagen

Kurzübersicht für AGRP Antikörper (AA 82-131) (ABIN5693160)

Target

Alle AGRP Antikörper anzeigen
AGRP (Agouti Related Protein Homolog (Mouse) (AGRP))

Reaktivität

Human, Maus, Ratte

Wirt

  • 44
  • 4
  • 3
  • 2
Kaninchen

Klonalität

  • 47
  • 6
Polyklonal

Konjugat

  • 30
  • 11
  • 3
  • 2
  • 1
  • 1
  • 1
  • 1
  • 1
  • 1
  • 1
Dieser AGRP Antikörper ist unkonjugiert

Applikation

  • 30
  • 18
  • 15
  • 5
  • 3
  • 3
  • 2
  • 2
  • 1
  • 1
  • 1
  • 1
  • 1
  • 1
  • 1
  • 1
Immunohistochemistry (IHC), ELISA
  • Bindungsspezifität

    • 10
    • 9
    • 5
    • 4
    • 3
    • 3
    • 2
    • 2
    • 1
    • 1
    • 1
    • 1
    AA 82-131

    Verwendungszweck

    Anti-AGRP Antibody

    Kreuzreaktivität (Details)

    No cross-reactivity with other proteins.

    Produktmerkmale

    Anti-AGRP Antibody (ABIN5693160). Tested in ELISA, IHC applications. This antibody reacts with Human, Mouse, Rat.

    Aufreinigung

    Immunogen affinity purified.

    Immunogen

    E. coli-derived mouse AGRP recombinant protein (Position: S82-T131).

    Isotyp

    IgG
  • Applikationshinweise

    Immunohistochemistry (Paraffin-embedded Section), 0.5-1 μg/mL
    ELISA, 0.1-0.5 μg/mL

    Beschränkungen

    Nur für Forschungszwecke einsetzbar
  • Format

    Lyophilized

    Rekonstitution

    Add 0.2 mL of distilled water will yield a concentration of 500 μg/mL.

    Konzentration

    500 μg/mL

    Buffer

    Each vial contains 4 mg Trehalose, 0.9 mg NaCl, 0.2 mg Na2HPO4, 0.05 mg NaN3.

    Konservierungsmittel

    Sodium azide

    Vorsichtsmaßnahmen

    This product contains Sodium azide: a POISONOUS AND HAZARDOUS SUBSTANCE which should be handled by trained staff only.

    Lagerung

    4 °C,-20 °C

    Informationen zur Lagerung

    Store at -20°C for one year from date of receipt. After reconstitution, at 4°C for one month.
    It can also be aliquotted and stored frozen at -20°C for six months. Avoid repeated freeze-thaw cycles.
  • Target

    AGRP (Agouti Related Protein Homolog (Mouse) (AGRP))

    Andere Bezeichnung

    Agrp

    Hintergrund

    Synonyms: Agouti-related protein, Agrp, Agrt, Art

    Tissue Specificity: Expressed in arcuate nucleus and median eminence, adrenal gland (medulla), hypothalamus, testis, and lung.

    Background: Agouti-related protein (AgRP), also called agouti-related peptide, is a neuropeptide produced in the brain by the AgRP/NPY neuron. In humans, the agouti-related peptide is encoded by the AGRP gene. This gene encodes an antagonist of the melanocortin-3 and melanocortin-4 receptor. It appears to regulate hypothalamic control of feeding behavior via melanocortin receptor and/or intracellular calcium regulation, and thus plays a role in weight homeostasis. Mutations in this gene have been associated with late on-set obesity.

    Molekulargewicht

    49 kDa

    Gen-ID

    11604

    UniProt

    P56473

    Pathways

    Feeding Behaviour, Photoperiodism
Sie sind hier:
Chat with us!