Telefon:
+49 (0)241 95 163 153
Fax:
+49 (0)241 95 163 155
E-Mail:
orders@antikoerper-online.de

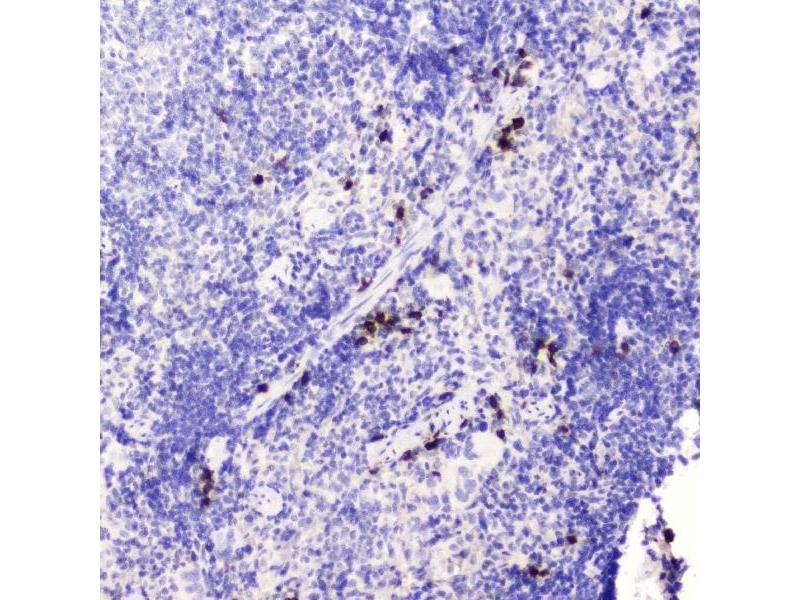
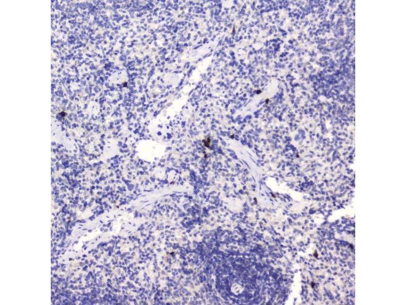
WFDC2 Antikörper (AA 31-124)

Der Kaninchen Polyklonal anti-WFDC2 Antikörper wird verwendet zum Nachweis von WFDC2 in Proben von Human, Maus und Ratte. Er wurde validiert für WB, ELISA und IHC.
Produktnummer ABIN5693137
500,50 €
Zzgl. Versandkosten 20,00 € und MwSt
100 μg
Lieferung nach: Deutschland
Lieferung in 8 bis 12 Werktagen

Kurzübersicht für WFDC2 Antikörper (AA 31-124) (ABIN5693137)

Target

Alle WFDC2 Antikörper anzeigen
WFDC2 (WAP Four-Disulfide Core Domain 2 (WFDC2))

Reaktivität

  • 80
  • 22
  • 4
  • 1
Human, Maus, Ratte

Wirt

  • 55
  • 22
  • 3
  • 2
  • 1
Kaninchen

Klonalität

  • 55
  • 28
Polyklonal

Konjugat

  • 40
  • 12
  • 6
  • 3
  • 3
  • 3
  • 3
  • 3
  • 3
  • 3
  • 2
  • 2
Dieser WFDC2 Antikörper ist unkonjugiert

Applikation

  • 59
  • 44
  • 29
  • 29
  • 22
  • 20
  • 14
  • 3
  • 2
  • 2
  • 1
  • 1
Western Blotting (WB), ELISA, Immunohistochemistry (IHC)
  • Bindungsspezifität

    • 10
    • 5
    • 3
    • 2
    • 2
    • 2
    • 2
    • 1
    • 1
    • 1
    • 1
    • 1
    AA 31-124

    Verwendungszweck

    Anti-HE4/WFDC2 Antibody

    Kreuzreaktivität (Details)

    No cross-reactivity with other proteins.

    Produktmerkmale

    Anti-HE4/WFDC2 Antibody (ABIN5693137). Tested in ELISA, IHC, WB applications. This antibody reacts with Human, Mouse, Rat. This is a premium antibody that guarantees superior quality, high affinity, and strong signals with minimal background in Western blot applications.

    Aufreinigung

    Immunogen affinity purified.

    Immunogen

    E. coli-derived human HE4 recombinant protein (Position: E31-F124).

    Isotyp

    IgG
  • Applikationshinweise

    Western blot, 0.1-0.5 μg/mL
    Immunohistochemistry (Paraffin-embedded Section), 0.5-1 μg/mL
    ELISA, 0.1-0.5 μg/mL

    Beschränkungen

    Nur für Forschungszwecke einsetzbar
  • Format

    Lyophilized

    Rekonstitution

    Add 0.2 mL of distilled water will yield a concentration of 500 μg/mL.

    Konzentration

    500 μg/mL

    Buffer

    Each vial contains 4 mg Trehalose, 0.9 mg NaCl, 0.2 mg Na2HPO4, 0.05 mg NaN3.

    Konservierungsmittel

    Sodium azide

    Vorsichtsmaßnahmen

    This product contains Sodium azide: a POISONOUS AND HAZARDOUS SUBSTANCE which should be handled by trained staff only.

    Lagerung

    4 °C,-20 °C

    Informationen zur Lagerung

    Store at -20°C for one year from date of receipt. After reconstitution, at 4°C for one month.
    It can also be aliquotted and stored frozen at -20°C for six months. Avoid repeated freeze-thaw cycles.
  • Target

    WFDC2 (WAP Four-Disulfide Core Domain 2 (WFDC2))

    Andere Bezeichnung

    WFDC2

    Hintergrund

    Synonyms: WAP four-disulfide core domain protein 2, Epididymal secretory protein E4, Major epididymis-specific protein E4, Putative protease inhibitor WAP5, WFDC2, HE4, WAP5

    Background: WAP four-disulfide core domain protein 2, also known as Human Epididymis Protein 4 (HE4), is a protein that in humans is encoded by the WFDC2 gene. This gene encodes a protein that is a member of the WFDC domain family. The WFDC domain, or WAP Signature motif, contains eight cysteines forming four disulfide bonds at the core of the protein, and functions as a protease inhibitor in many family members. This gene is expressed in pulmonary epithelial cells, and was also found to be expressed in some ovarian cancers. The encoded protein is a small secretory protein, which may be involved in sperm maturation.

    Molekulargewicht

    15 kDa

    Gen-ID

    10406

    UniProt

    Q14508
Sie sind hier:
Chat with us!