Telefon:
+49 (0)241 95 163 153
Fax:
+49 (0)241 95 163 155
E-Mail:
orders@antikoerper-online.de

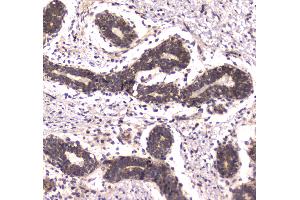
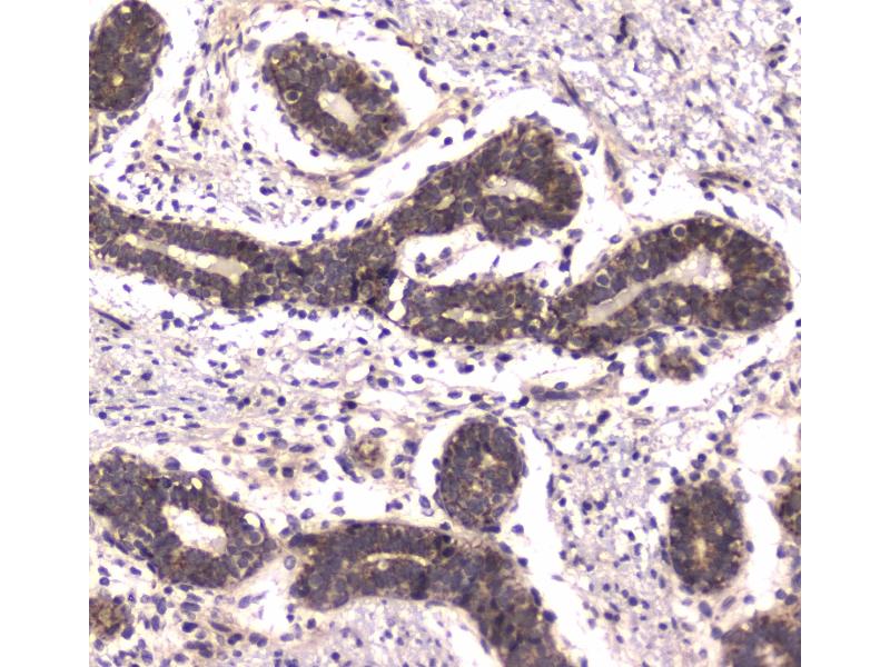
POLR2A/RPB1 Antikörper (AA 1148-1384)

Dieser Kaninchen Polyklonal Antikörper detektiert spezifisch POLR2A/RPB1 in IHC und ELISA. Es zeigt Reaktivität gegenüber Proben von Human, Maus und Ratte.
Produktnummer ABIN5693106
500,50 €
Zzgl. Versandkosten 20,00 € und MwSt
100 μg
Lieferung nach: Deutschland
Lieferung in 8 bis 12 Werktagen

Kurzübersicht für POLR2A/RPB1 Antikörper (AA 1148-1384) (ABIN5693106)

Target

Alle POLR2A/RPB1 (POLR2A) Antikörper anzeigen
POLR2A/RPB1 (POLR2A) (RNA Polymerase II Subunit RPB1 (POLR2A))

Reaktivität

  • 112
  • 70
  • 69
  • 7
  • 6
  • 6
  • 6
  • 5
  • 5
  • 3
  • 3
  • 2
  • 1
  • 1
  • 1
Human, Maus, Ratte

Wirt

  • 94
  • 19
  • 1
  • 1
  • 1
Kaninchen

Klonalität

  • 67
  • 49
Polyklonal

Konjugat

  • 63
  • 7
  • 6
  • 6
  • 6
  • 6
  • 6
  • 6
  • 4
  • 4
  • 1
  • 1
Dieser POLR2A/RPB1 Antikörper ist unkonjugiert

Applikation

  • 94
  • 69
  • 62
  • 47
  • 42
  • 34
  • 28
  • 11
  • 10
  • 4
  • 3
  • 3
  • 2
  • 2
  • 1
  • 1
Immunohistochemistry (IHC), ELISA
  • Bindungsspezifität

    • 31
    • 27
    • 12
    • 4
    • 3
    • 3
    • 2
    • 2
    • 2
    • 1
    • 1
    • 1
    • 1
    • 1
    • 1
    • 1
    • 1
    • 1
    • 1
    • 1
    • 1
    • 1
    • 1
    • 1
    • 1
    • 1
    • 1
    AA 1148-1384

    Verwendungszweck

    Anti-RNA polymerase II RPB1/POLR2A Antibody

    Kreuzreaktivität (Details)

    No cross-reactivity with other proteins.

    Produktmerkmale

    Anti-RNA polymerase II RPB1/POLR2A Antibody (ABIN5693106). Tested in ELISA, IHC applications. This antibody reacts with Human, Mouse, Rat.

    Aufreinigung

    Immunogen affinity purified.

    Immunogen

    E. coli-derived human POLR2A recombinant protein (Position: A1148-H1384).

    Isotyp

    IgG
  • Applikationshinweise

    Immunohistochemistry (Paraffin-embedded Section), 0.5-1 μg/mL
    ELISA, 0.1-0.5 μg/mL

    Beschränkungen

    Nur für Forschungszwecke einsetzbar
  • Format

    Lyophilized

    Rekonstitution

    Add 0.2 mL of distilled water will yield a concentration of 500 μg/mL.

    Konzentration

    500 μg/mL

    Buffer

    Each vial contains 4 mg Trehalose, 0.9 mg NaCl, 0.2 mg Na2HPO4, 0.05 mg NaN3.

    Konservierungsmittel

    Sodium azide

    Vorsichtsmaßnahmen

    This product contains Sodium azide: a POISONOUS AND HAZARDOUS SUBSTANCE which should be handled by trained staff only.

    Lagerung

    4 °C,-20 °C

    Informationen zur Lagerung

    Store at -20°C for one year from date of receipt. After reconstitution, at 4°C for one month.
    It can also be aliquotted and stored frozen at -20°C for six months. Avoid repeated freeze-thaw cycles.
  • Target

    POLR2A/RPB1 (POLR2A) (RNA Polymerase II Subunit RPB1 (POLR2A))

    Andere Bezeichnung

    POLR2A

    Hintergrund

    Synonyms: DNA-ed RNA polymerase II subunit RPB1, RNA polymerase II subunit B1, DNA-ed RNA polymerase II subunit A, DNA-ed RNA polymerase III largest subunit, RNA-ed RNA polymerase II subunit RPB1, POLR2A, POLR2

    Background: DNA-ed RNA polymerase II subunit RPB1, also known as RPB1, is an enzyme that in humans is encoded by the POLR2A gene. This gene encodes the largest subunit of RNA polymerase II, the polymerase responsible for synthesizing messenger RNA in eukaryotes. The product of this gene contains a carboxy terminal domain composed of heptapeptide repeats that are essential for polymerase activity. These repeats contain serine and threonine residues that are phosphorylated in actively transcribing RNA polymerase. In addition, this subunit, in combination with several other polymerase subunits, forms the DNA binding domain of the polymerase, a groove in which the DNA template is transcribed into RNA.

    Molekulargewicht

    120 kDa

    Gen-ID

    5430

    UniProt

    P24928

    Pathways

    Regulatorische RNA Pathways
Sie sind hier:
Chat with us!