Telefon:
+49 (0)241 95 163 153
Fax:
+49 (0)241 95 163 155
E-Mail:
orders@antikoerper-online.de

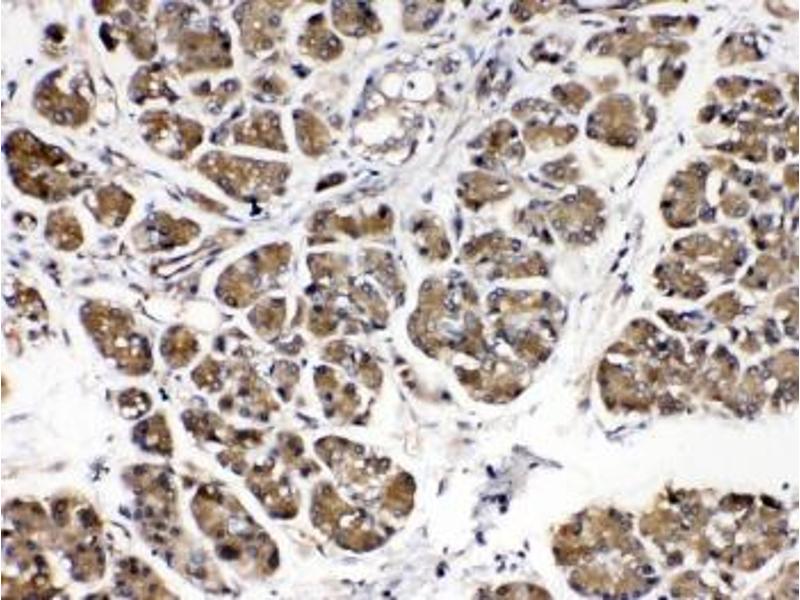
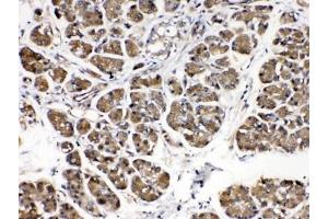
Alpha-amylase 1 Antikörper (AA 20-50)

Der Kaninchen Polyklonal anti-Alpha-amylase 1 Antikörper wird verwendet zum Nachweis von Alpha-amylase 1 in Proben von Human, Maus und Ratte. Er wurde validiert für WB und IHC (p).
Produktnummer ABIN5647969
644,88 €
Zzgl. Versandkosten 20,00 € und MwSt
100 μg
Lieferung nach: Deutschland
Lieferung in 6 bis 9 Werktagen

Kurzübersicht für Alpha-amylase 1 Antikörper (AA 20-50) (ABIN5647969)

Target

Alle Alpha-amylase 1 (AMY1) Antikörper anzeigen
Alpha-amylase 1 (AMY1) (Amylase 1, Salivary (AMY1))

Reaktivität

  • 9
  • 6
  • 2
  • 1
Human, Maus, Ratte

Wirt

  • 9
  • 1
  • 1
Kaninchen

Klonalität

  • 10
  • 1
Polyklonal

Konjugat

  • 7
  • 2
  • 2
Dieser Alpha-amylase 1 Antikörper ist unkonjugiert

Applikation

  • 8
  • 7
  • 5
  • 2
  • 2
  • 2
  • 1
  • 1
  • 1
  • 1
Western Blotting (WB), Immunohistochemistry (Paraffin-embedded Sections) (IHC (p))
  • Bindungsspezifität

    • 1
    • 1
    • 1
    • 1
    • 1
    AA 20-50

    Aufreinigung

    Antigen affinity purified

    Immunogen

    Amino acids 20-50 (NTQQGRTSIVHLFEWRWVDIALECERYLAPK) from the human protein were used as the immunogen for the Alpha Amylase antibody.

    Isotyp

    IgG
  • Applikationshinweise

    Optimal dilution of the Alpha Amylase antibody should be determined by the researcher.\. WB: 0.5-1 μg/mL,IHC (FFPE): 1-2 μg/mL

    Beschränkungen

    Nur für Forschungszwecke einsetzbar
  • Buffer

    0.5 mg/mL if reconstituted with 0.2 mL sterile DI water

    Lagerung

    -20 °C

    Informationen zur Lagerung

    After reconstitution, the Alpha Amylase antibody can be stored for up to one month at 4°C. For long-term, aliquot and store at -20°C. Avoid repeated freezing and thawing.
  • Target

    Alpha-amylase 1 (AMY1) (Amylase 1, Salivary (AMY1))

    Andere Bezeichnung

    Alpha Amylase 1

    Hintergrund

    Amylase is an enzyme that catalyses the breakdown of starch into sugars. Amylase is present in human saliva, where it begins the chemical process of digestion. By in situ hybridization combined with high resolution cytogenetics, the amylase gene is mapped to 1p21. Amylase enzymes find use in bread making and to break down complex sugars such as starch (found in flour) into simple sugars. Yeast then feeds on these simple sugars and converts it into the waste products of alcohol and CO2.

    UniProt

    P04745
Sie sind hier:
Chat with us!