×
Aktivieren Sie Javascript in Ihrem Browser, um unsere Webseite optimal zu nutzen.
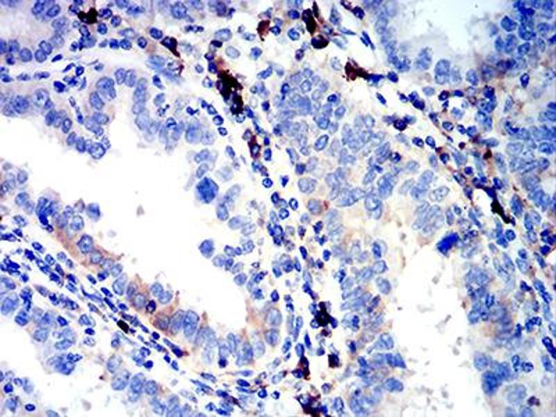
IGLC2 Antikörper (AA 1-106)
Der Maus Monoklonal anti-IGLC2 Antikörper wird verwendet zum Nachweis von IGLC2 in Proben von Human. Er wurde validiert für ELISA und IHC.
Produktnummer ABIN5611341
657,84 €
Zzgl. Versandkosten 20,00 € und MwSt
Lieferung in 7 bis 10 Werktagen
Kurzübersicht für IGLC2 Antikörper (AA 1-106) (ABIN5611341)
Target
IGLC2
(Immunoglobulin lambda Constant 2 (Kern-Oz- Marker) (IGLC2))
Reaktivität
Human
Wirt
Alle Wirte für IGLC2 Antikörper
Maus
Klonalität
Alle Klonalitäten für IGLC2 Antikörper
Monoklonal
Konjugat
Alle Konjugate für IGLC2 Antikörper
Dieser IGLC2 Antikörper ist unkonjugiert
Applikation
ELISA, Immunohistochemistry (IHC)
Klon
5E12B9
Produktdetails anti-IGLC2 Antikörper
(ausblenden)
Bindungsspezifität
AA 1-106
Verwendungszweck
IGLC2 Antibody
Aufreinigung
Purified antibody
Immunogen
Purified recombinant fragment of human IGLC2 (AA: 1-106) expressed in E. Coli.
Isotyp
IgG1
Alternativen
(anzeigen)
Anwendungsinformationen
(ausblenden)
Applikationshinweise
ELISA: 1/10000
Beschränkungen
Nur für Forschungszwecke einsetzbar
Handhabung
(ausblenden)
Format
Liquid
Buffer
Purified antibody in PBS with 0.05 % sodium azide.
Konservierungsmittel
Sodium azide
Vorsichtsmaßnahmen
This product contains Sodium azide: a POISONOUS AND HAZARDOUS SUBSTANCE which should be handled by trained staff only.
Lagerung
4 °C,-20 °C
Informationen zur Lagerung
Store at 4°C short term. Aliquot and store at -20°C long term. Avoid freeze/thaw cycles.
Details zu IGLC2
(ausblenden)
Target
IGLC2
(Immunoglobulin lambda Constant 2 (Kern-Oz- Marker) (IGLC2))
Andere Bezeichnung
IGLC2
Hintergrund
IGLC2 (Immunoglobulin Lambda Constant 2) is a Protein Coding gene. Among its related pathways are Interleukin-3, 5 and GM-CSF signaling and Vesicle-mediated transport. GO annotations related to this gene include antigen binding. An important paralog of this gene is IGLC3.
Molekulargewicht
11.3 kDa
Gen-ID
3538
UniProt
P0DOY2
Zuletzt angesehen
(ausblenden)
Sie sind hier:
Startseite
anti-IGLC2 Antikörper (AA 1-106) (ABIN5611341)
Chat with us , powered by LiveChat