Telefon:
+49 (0)241 95 163 153
Fax:
+49 (0)241 95 163 155
E-Mail:
orders@antikoerper-online.de

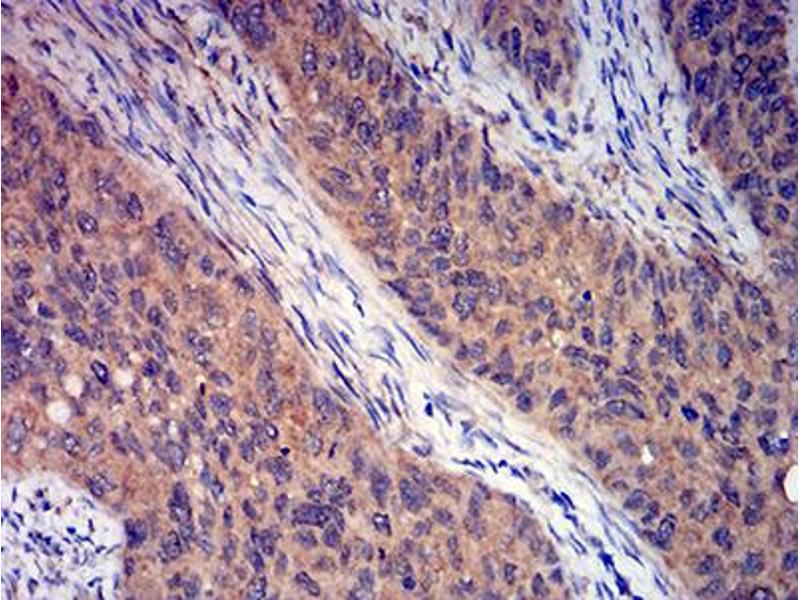
Metabotropic Glutamate Receptor 3 Antikörper (AA 433-576)

Der Maus Monoklonal anti-Metabotropic Glutamate Receptor 3 Antikörper (Klon 7A5A6) (ABIN5611177) detektiert spezifisch Metabotropic Glutamate Receptor 3 in ELISA, IHC, FACS und ICC. Dieser Antikörper reagiert spezifisch mit Proben aus Human.
Produktnummer ABIN5611177
657,84 €
Zzgl. Versandkosten 20,00 € und MwSt
100 μL
Lieferung nach: Deutschland
Lieferung in 7 bis 10 Werktagen

Kurzübersicht für Metabotropic Glutamate Receptor 3 Antikörper (AA 433-576) (ABIN5611177)

Target

Alle Metabotropic Glutamate Receptor 3 (GRM3) Antikörper anzeigen
Metabotropic Glutamate Receptor 3 (GRM3) (Glutamate Receptor, Metabotropic 3 (GRM3))

Reaktivität

  • 34
  • 32
  • 15
  • 8
  • 5
  • 4
  • 4
  • 3
  • 3
  • 2
  • 2
  • 2
Human

Wirt

  • 49
  • 1
  • 1
Maus

Klonalität

  • 48
  • 3
Monoklonal

Konjugat

  • 25
  • 3
  • 3
  • 3
  • 2
  • 1
  • 1
  • 1
  • 1
  • 1
  • 1
  • 1
  • 1
  • 1
  • 1
  • 1
  • 1
  • 1
  • 1
  • 1
Dieser Metabotropic Glutamate Receptor 3 Antikörper ist unkonjugiert

Applikation

  • 44
  • 18
  • 16
  • 11
  • 6
  • 4
  • 3
  • 3
  • 2
  • 1
ELISA, Immunohistochemistry (IHC), Flow Cytometry (FACS), Immunocytochemistry (ICC)

Klon

7A5A6
  • Bindungsspezifität

    • 16
    • 9
    • 5
    • 4
    • 2
    • 1
    • 1
    • 1
    • 1
    • 1
    • 1
    • 1
    • 1
    • 1
    • 1
    AA 433-576

    Verwendungszweck

    GRM3 Antibody

    Aufreinigung

    Purified antibody

    Immunogen

    Purified recombinant fragment of human GRM3 (AA: 433-576) expressed in E. Coli.

    Isotyp

    IgG2a
  • Applikationshinweise

    ELISA: 1/10000

    FCM: 1/200 - 1/400

    ICC: 1/200 - 1/1000

    Beschränkungen

    Nur für Forschungszwecke einsetzbar
  • Format

    Liquid

    Buffer

    Purified antibody in PBS with 0.05 % sodium azide.

    Konservierungsmittel

    Sodium azide

    Vorsichtsmaßnahmen

    This product contains Sodium azide: a POISONOUS AND HAZARDOUS SUBSTANCE which should be handled by trained staff only.

    Lagerung

    4 °C,-20 °C

    Informationen zur Lagerung

    Store at 4°C short term. Aliquot and store at -20°C long term. Avoid freeze/thaw cycles.
  • Target

    Metabotropic Glutamate Receptor 3 (GRM3) (Glutamate Receptor, Metabotropic 3 (GRM3))

    Andere Bezeichnung

    GRM3

    Hintergrund

    L-glutamate is the major excitatory neurotransmitter in the central nervous system and activates both ionotropic and metabotropic glutamate receptors. Glutamatergic neurotransmission is involved in most aspects of normal brain function and can be perturbed in many neuropathologic conditions. The metabotropic glutamate receptors are a family of G protein-coupled receptors, that have been divided into 3 groups on the basis of sequence homology, putative signal transduction mechanisms, and pharmacologic properties. Group I includes GRM1 and GRM5 and these receptors have been shown to activate phospholipase C. Group II includes GRM2 and GRM3 while Group III includes GRM4, GRM6, GRM7 and GRM8. Group II and III receptors are linked to the inhibition of the cyclic AMP cascade but differ in their agonist selectivities.

    Molekulargewicht

    99 kDa

    Gen-ID

    2913

    UniProt

    Q14832

    Pathways

    cAMP Metabolic Process, Synaptic Membrane
Sie sind hier:
Chat with us!