Telefon:
+49 (0)241 95 163 153
Fax:
+49 (0)241 95 163 155
E-Mail:
orders@antikoerper-online.de

CD166 Antikörper (AA 227-381)

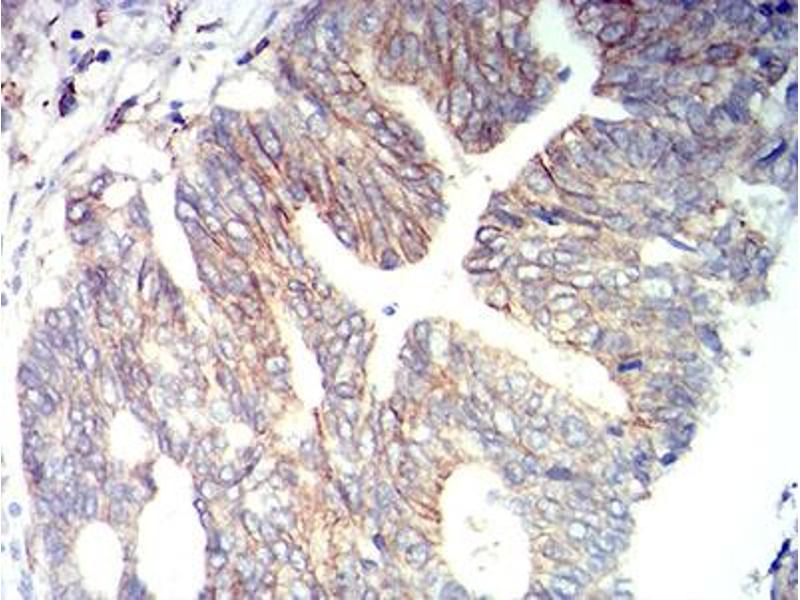
Der Maus Monoklonal anti-CD166 Antikörper (Klon 2F1B12) (ABIN5611126) detektiert spezifisch CD166 in WB, IHC, FACS und ELISA. Dieser Antikörper reagiert spezifisch mit Proben aus Human.
Produktnummer ABIN5611126
657,84 €
Zzgl. Versandkosten 20,00 € und MwSt
100 μL
Lieferung nach: Deutschland
Lieferung in 7 bis 10 Werktagen

Kurzübersicht für CD166 Antikörper (AA 227-381) (ABIN5611126)

Target

Alle CD166 (ALCAM) Antikörper anzeigen
CD166 (ALCAM) (Activated Leukocyte Cell Adhesion Molecule (ALCAM))

Reaktivität

  • 122
  • 43
  • 37
  • 20
  • 3
  • 1
  • 1
  • 1
Human

Wirt

  • 87
  • 49
  • 4
  • 3
  • 3
Maus

Klonalität

  • 77
  • 65
  • 2
Monoklonal

Konjugat

  • 68
  • 18
  • 12
  • 5
  • 4
  • 3
  • 3
  • 3
  • 3
  • 3
  • 3
  • 2
  • 1
  • 1
  • 1
  • 1
  • 1
  • 1
  • 1
  • 1
  • 1
  • 1
  • 1
  • 1
  • 1
  • 1
  • 1
  • 1
  • 1
Dieser CD166 Antikörper ist unkonjugiert

Applikation

  • 91
  • 52
  • 51
  • 37
  • 31
  • 20
  • 19
  • 13
  • 13
  • 7
  • 6
  • 6
  • 2
  • 2
  • 1
  • 1
  • 1
  • 1
  • 1
Western Blotting (WB), Immunohistochemistry (IHC), Flow Cytometry (FACS), ELISA

Klon

2F1B12
  • Bindungsspezifität

    • 16
    • 13
    • 5
    • 4
    • 4
    • 4
    • 4
    • 3
    • 3
    • 3
    • 2
    • 2
    • 2
    • 2
    • 1
    • 1
    • 1
    • 1
    • 1
    AA 227-381

    Verwendungszweck

    CD166 Antibody

    Aufreinigung

    Purified antibody

    Immunogen

    Purified recombinant fragment of human CD166 (AA: 227-381) expressed in E. Coli.

    Isotyp

    IgG1
  • Applikationshinweise

    ELISA: 1/10000

    FCM: 1/200 - 1/400

    Beschränkungen

    Nur für Forschungszwecke einsetzbar
  • Format

    Liquid

    Buffer

    Purified antibody in PBS with 0.05 % sodium azide.

    Konservierungsmittel

    Sodium azide

    Vorsichtsmaßnahmen

    This product contains Sodium azide: a POISONOUS AND HAZARDOUS SUBSTANCE which should be handled by trained staff only.

    Lagerung

    4 °C,-20 °C

    Informationen zur Lagerung

    Store at 4°C short term. Aliquot and store at -20°C long term. Avoid freeze/thaw cycles.
  • Target

    CD166 (ALCAM) (Activated Leukocyte Cell Adhesion Molecule (ALCAM))

    Andere Bezeichnung

    CD166

    Hintergrund

    This gene encodes activated leukocyte cell adhesion molecule (ALCAM), also known as CD166 (cluster of differentiation 166), which is a member of a subfamily of immunoglobulin receptors with five immunoglobulin-like domains (VVC2C2C2) in the extracellular domain. This protein binds to T-cell differentiation antigene CD6, and is implicated in the processes of cell adhesion and migration. Multiple alternatively spliced transcript variants encoding different isoforms have been found.

    Molekulargewicht

    65 kDa

    Gen-ID

    214

    UniProt

    Q13740
Sie sind hier:
Chat with us!